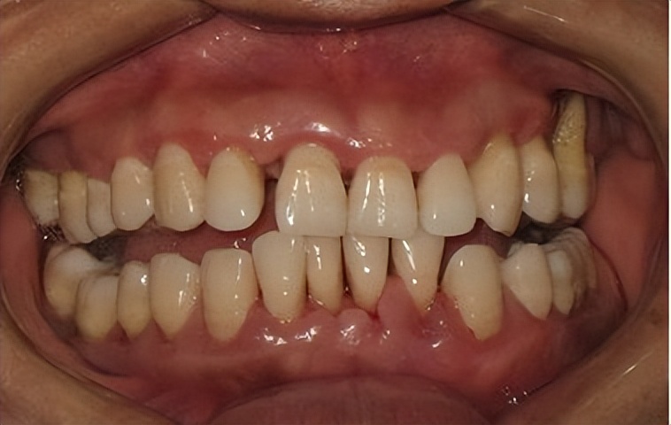
我的牙齿从小就不好,爱吃糖不说刷牙也是草草了事,出现刷牙出血的问题已经两年多了,因为不疼不痒,也没重视过,前段时间牙疼实在严重,去检查才知道已经患上了严重的牙周炎。
后来我在牙医的指导下进行了长时间的治疗和口腔护理,牙周慢慢恢复了,功夫不负有心人,前段时间牙周炎终于痊愈了!其实患有牙周炎时的口腔护理难度不大,主要就是一个坚持,下面我就在这里分享一下口腔护理注意事项。

首先 牙刷要定期更换。 如果长时间不换牙刷,牙刷刷头易出现炸毛、软塌等情况,严重影响清洁效果,同时牙刷是一个很容易滋生细菌和污迹的地方,长时间使用,易使口腔感染,导致牙周炎的出现。
学会有效刷牙的方式。 很多人都在使用横向刷牙,这样的刷牙方式会有很多清洁死角,而且易划伤牙龈,建议大家学习巴氏刷牙法,就是竖向刷牙,让牙刷刷毛能深入牙缝,上下挥动牙刷,可以有效祛除牙缝、牙龈沟等处的有害细菌,这个也是我治疗期间牙医教我的方法。

辛辣酸冷的食物也要少吃甚至不吃。 牙周炎要避免食用过热、过冷、辛辣的食物,避免牙齿受到刺激。
建议大家定期前往专业口腔医院或诊所进行口腔检查。 专业医师推荐每半年或者一年进行一次较为全面的口腔检查,便于及早的发现牙周疾病的发生,这样可以早发现,早治疗。
适当按摩牙龈很有必要 ,用拇指和食指顺着一定的方向按摩牙龈,每次10分钟,可促进牙龈、牙槽和牙髓的血液循环,可以改善牙周炎问题。
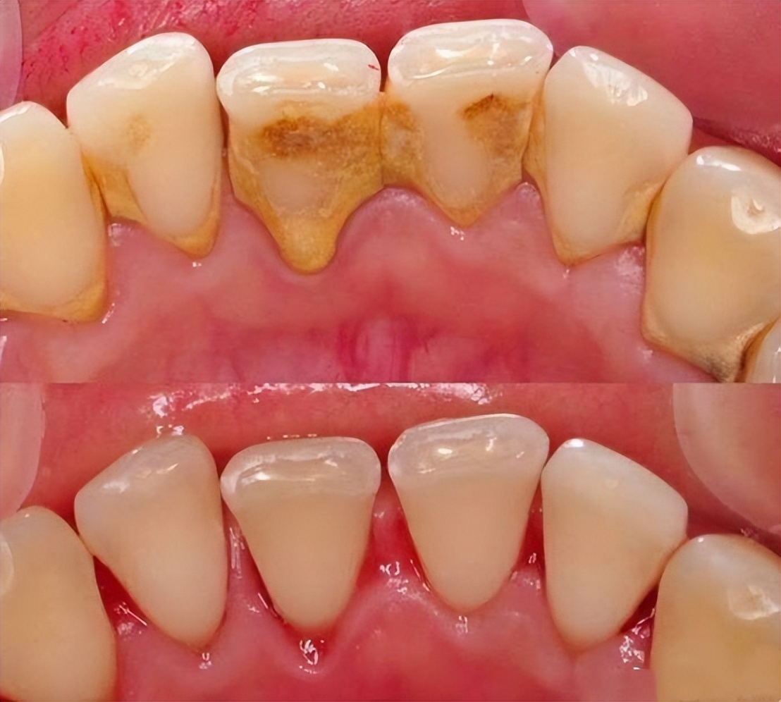
洗牙可以有效缓解牙周炎 ,每年进行一次就可以了,可以彻底清洁口腔中和的牙垢和牙菌斑,可以有效预防和改善牙周炎问题。

注意饮食的营养均衡, 我们在日常饮食中可以多食用牛奶、水果、粗粮、含纤维素多的蔬菜,同时也应多补充丰富的蛋白质,比如鱼类、肉类等食物,保证营养均衡搭配可以促进人体对这些矿物元素的吸收。
上文为大家分享了日常口腔护理的注意事项,下面为大家介绍我在口腔护理过程中使用过的护理好物,如电动牙刷、冲牙器、牙线等,都是亲测好用的产品,良心安利给大家。
要想改善牙周炎问题,日常清洁做好很关键 ,尤其是牙齿间隙、牙龈沟、牙窝、智齿等位位置一般都是牙病高发区,使用手动牙刷难以刷净,牙菌斑残留就会不断腐蚀牙齿,而电动牙刷、冲牙器的清洁力比较强、清洁范围广、没有死角,省时省力,长时间使用还可以美白牙齿、清新口气,牙医也建议牙周炎患者使用电动牙刷和冲牙器,来预防改善牙周炎

彻底清洁口腔能在极大程度上预防和改善牙周炎,根据调查显示,国人90%以上都有口腔疾病,手动牙刷清洁力比较差,很难改善牙周炎问题,所以专业牙医普遍推荐大家使用冲牙器与电动牙刷。

可但要注意很多品牌也会有伤牙风险! 尽量选择震感均匀、频率跨度大、不伤牙的专业品牌, 比较推荐的是飞利浦、洁碧和扉乐,但飞利浦、洁碧力度太强,不太适合牙周炎人群。
扉乐是公认最专业的“不伤牙”品牌 ,被众多权威媒体列为“性能排行榜首”, 清洁力一流伤牙率最低,其性能媲美多款千元产品,经国家级权威检测机构检测高效清洁下降低80%摩擦伤害! 之所以强悍,源于专注死磕!不搞花里胡哨的功能,没有多余型号,多年来死磕一款产品,升级迭代二十多次,从不做广告,靠着牙医推荐火了。

定期清洁舌苔。 舌苔也是细菌沉积区,使用舌苔刷清洁起来很方便。但不能太频繁的使用,避免味觉受到影响,舌苔刷可以考虑 参半 家的。
不要跟风购买网红产品。 比如最近几年很火的牙结石去除器,没有作用不说,还把牙龈弄出血了,这种产品刚出被研发出来,没有太多群众基础和临床实验,还是慎用为好。
要选择软毛的牙刷。 患有牙周炎时,要选择质地较软的牙刷,硬毛牙刷容易导致炎症部位出血,加重牙周炎问题。

牙线也要用起来 。牙线可以去除牙缝间隙之间的食物残渣,避免牙菌斑的滋生,进而避免牙周炎、口臭等不良口腔疾病的发生。牙线最宜用大品牌的,比如 欧乐、舒克、小鹿妈妈 等品牌。

漱口水不宜频繁使用。 漱口水中含有广谱抑菌剂、表面活性剂、氯化锶等物质,使用过于频繁会破坏口腔环境,易导致牙周炎更加严重。
关于牙周炎的治愈指南就分享就到这里了,出现牙周炎问题大家要做好口腔清洁,强化自己使用的洁牙工具,才能有效预防改善牙周炎,及时就医,避免牙病越拖越重。