【提要】今天的患儿为继发性胸廓畸形,病因为胸骨的粉碎性骨折。术中将坏死的胸骨骨折段彻底清除,然后用MatrixRIB重建胸骨,获得了满意效果。

今天的手术患儿3岁,一月前开始诉前胸壁疼痛,哭闹时加重,前胸壁正中局部隆起,外观异常,前往当地医院就诊,经检查胸骨形状异常,为进一步治疗入我院。
入院查体:前胸壁正中隆起,具有有明显压痛,胸骨局部活动。X线检查提示胸骨角与胸骨体之间骨折。局部骨骼与胸骨体成角。胸壁骨骼三维重建提示胸骨局部离断,离断部位为胸骨体上段。术前诊断为继发性胸廓畸形,胸骨粉碎性骨折。经充分术前准备,今日上午实施手术治疗。术中采用正中切口,游离胸骨。术中见胸骨角下方胸骨离断,离断长度约1CM,与胸骨体完全分离,局部无明显活性。将离断胸骨部分清除,以MatrixRIB重建胸骨。术野留置引流管,关闭切口,手术结束。

(前胸壁正中局部突起)

(X线提示胸骨局部离断)

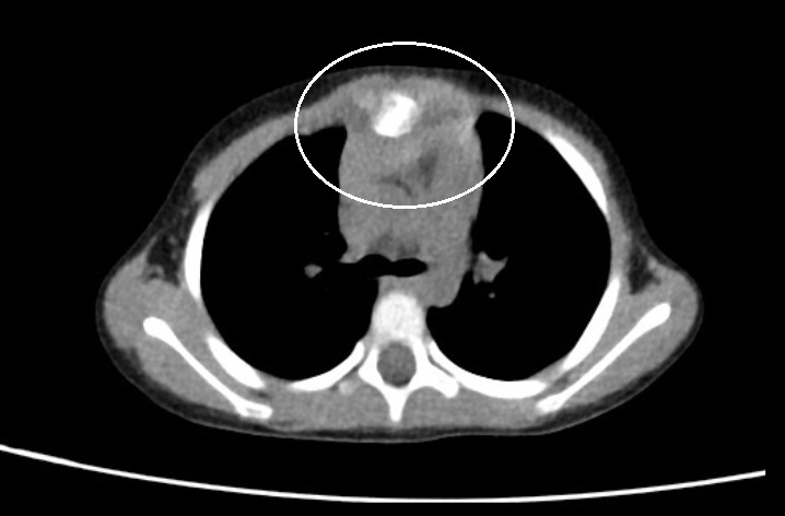
(CT提示胸骨局部病变)

(三维重建显示胸骨离断)

(MatrixRIB重建胸骨)
患者诊断明确,为继发性胸廓畸形,但患儿年纪较小,无法明确叙述病史。考虑可能为外伤所致陈旧性骨折。由于骨折段完全离断,无足够血运,导致骨骼坏死。必须给予清除。术中为了恢复胸骨的完整性,我们使用MatrixRIB进行重建,获得了满意效果。
本患儿因继发性胸廓畸形就诊,造成畸形的原因在于胸骨的骨折。胸骨骨折是一种较少见的骨折,而低龄患儿出现粉碎性骨折的病例以往未见报道。骨折早期如果能及时固定,局部将不会发生坏死,骨折可以完全愈合。本病例未及时发现并手术,导致骨折愈合出现问题,最终不得不将坏死骨折段清除。患儿为此付出了沉重的代价。