来自河北的曹先生,
怎么也想不到,
工作中的一次意外摔伤,
竟让他经历了开颅的大手术
这惊魂一刻,
回想起来至今仍心有余悸....
双侧脑疝、重度颅脑损伤、脑内血肿、创伤性蛛网膜下腔出血、多发性颅骨骨折……生死边缘,日照心脏病医院多学科协作,成功为37岁重型颅脑损伤合并双侧脑疝的曹先生紧急行双侧颅内血肿清除、去骨瓣减压手术,挽救了患者生命,目前,患者恢复良好,现已康复出院。

飞来横祸,生命危在旦夕
“一名37岁的患者从高处坠落摔伤,目前无昏迷、腹部头部等全身多处疼痛、口鼻流血,请求转往日照心脏病医院救治……”近日,日照心脏病医院120调度室接到紧急电话,急诊科立即派出救护车。
时间就是生命,医院立即启动绿色通道,脑科中心、急诊科、影像科、手术室、麻醉科、重症医学科……相关科室人员早已做好准备,等候患者。
大约半小时后,救护车飞驰到日照心脏病医院急诊楼门前,患者被迅速推进抢救室,医护人员第一时间进行检查、救治。
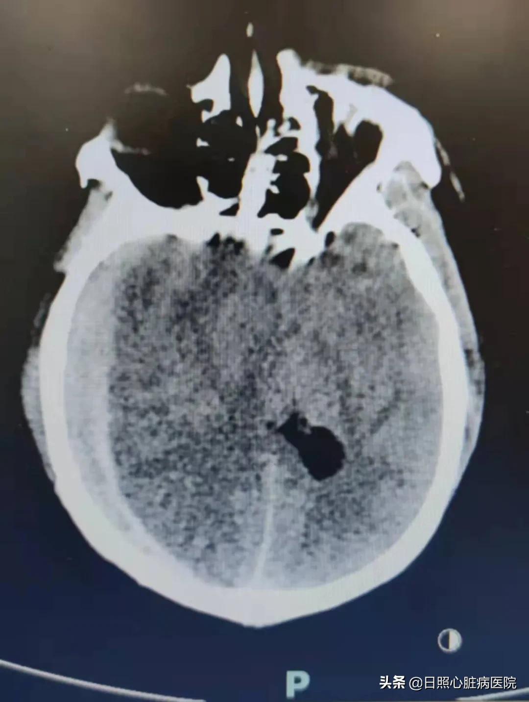
经影像检查提示曹先生的颅骨硬膜下存在血肿,脑科中心副主任医师厉宗祥意识到患者的病情在逐步加重,颅内血肿有向对侧发展的趋势,已经形成脑疝,随时会有生命危险,需要立即手术。

命悬一线,脑科中心专家争分夺秒抢救
“时间就是生命,用来形容急性脑疝患者再合适不过,因该类患者发病突然且进展快,会对脑组织造成不可逆的损伤,早期手术不但可以及时清除血肿,解决颅内高压,而且能够减轻血液分解物对脑组织的进一步损害,对降低病死率及致残率具有重要的临床意义。”厉宗祥说道。
时间就是大脑,一切都在为生命让路,由于曹先生老家是河北,常年在日照务工,家属无法及时赶到,也无法正常缴纳住院押金,依托于医院的急诊救治体系与急救绿色通道,经过与家属的视频交流,得到家属的手术许可后,医院脑科中心紧急召开多学科联合会诊并制定手术方案,立即为曹先生进行开颅手术治疗。
与此同时,医院工作人员也为曹先生办理好了住院手续,脑科中心的医护人员也开始了术前准备,一切准备就绪后,曹先生被迅速送往手术室。
手术室中,无影灯下,脑科中心副主任医师厉宗祥手持柳叶刀,将颅内厚厚血肿一点点清除,同时移去骨瓣减轻颅内压力,可是,术中明显膨出的脑组织让他意识到,左侧血肿也在进一步增大。于是,立即在DSA机器的辅助下行颅脑CT检查,结果正如他所料,左侧脑疝已形成。

左侧血肿清除手术也在有条不紊地进行着,手术历经四个多小时顺利结束,整个手术过程患者出血约800毫升。
术后,曹先生被送往ICU,进行进一步治疗。复查CT显示,脑部血肿完全清除干净;术后第二天,曹先生意识清醒,能自动睁眼并遵医嘱活动肢体;在ICU医护人员的精心护理下,进行预防感染、预防压疮、预防下肢静脉血等治疗后,曹先生的生命体征平稳,转入脑科中心病房进行恢复期的治疗。
术后第5天,曹先生已经可以下地行走、正常进食,肢体活动、语言都也在慢慢恢复正常。

遭遇意外是不幸的,但遇到你们是幸运的
住院期间,曹先生的家人向小编讲述了这次在日照就医的真实感受......
陌生的城市,感受到“家”的温暖和关怀
“由于一直在外地工作,去过的医院也比较多,这家医院就医流程的顺畅、服务的周到、医护人员的耐心和细致,设身处地为患者着想,让第一次来日照的我们,心里暖暖的”。曹先生的弟弟说道。
“当得知哥哥突发意外住院时,我紧急从北京赶往日照,到医院后,工作人员第一时间带我做核酸检测,术后转入ICU后,我看到了护理人员的对待患者的细心和耐心,转到病房后,护士每天换药、打针、宣教,无数次的穿梭于病房和护士站,工作之余帮忙买饭......医生对病情细致耐心的讲解以及对我哥康复的指导,让我们虽在异乡就医,确能感受到‘家’的温暖和关怀。”
一位爱笑的护士小姐姐的关爱
由于刚做完开颅手术,曹先生的脑部需要用纱网固定,医生建议买双宽松的*袜丝**,但由于是第一次来日照,人生地不熟,全家人都犯了难。晚上十点多,一位护士拿着一双崭新的*袜丝**送到曹先生家人的手里,还没来得及问她的名字,那位护士早已到了其他病房,曹先生的妻子说忘不了那双爱笑的眼睛。那一夜,外边的天格外冷,而曹先生一家人心里确暖意融融。
“感谢医院的紧急抢救治疗……争分夺秒,与生命赛跑,我的丈夫从命悬一线到脱离生命危险;医生们不仅救了我丈夫,更是精心制定后期治疗方案,住院这么长时间,没少给医生出难题、添麻烦,但他们从来都是不愠不恼,耐心讲解,尽力满足我们的要求,感谢医院的医护人员、感谢送给我们*袜丝**的护士、感谢给我们买饭的护士、还有太多不知道名字的医护人员需要感谢,千言万语汇成一句话:真心地谢谢你们!” 出院之前,曹先生一家表达了对医院的感谢。