点击关注不迷路 ↑ ↑普及科学知识,传播科学精神

皮肤过敏、身上出现红疹大概是皮肤科较常见的症状。那如果双腿长满了红疹,还伴有关节和腹部疼痛呢?
近期,浙江大学第一附属医院肾脏疾病中心陈江华教授团队在《英国医学杂志》(BMJ)发表一篇病例,记录、探讨了一位双腿长红疹、还伴有其它系统不适的诊疗过程。

截图来源:BMJ
患者男、十几岁。
因腿部出现非瘙痒性皮疹、腹部和双侧膝关节疼痛一周,到皮肤科就诊。
男孩自述:在症状发作前4周内无上呼吸道感染史。
查体:双腿可触及紫红色丘疹,自踝部延伸至大腿(如下图)。其他检查结果无异常。

▲ 双腿可触及紫癜。(图片来源:参考资料[1])
辅助检查
血液和尿液检查结果如下表。其中大便隐血试验阳性,24小时尿蛋白定量指标高出了正常值。

▲ 相关血液及尿液检查结果。(图片来源:参考资料[1])
因辅助检查可排除的诊断:
- 脑膜炎球菌败血症:因为没有发热、神经症状和细菌感染的生物标志物;
- 血小板减少:因为血小板计数在正常范围内;
- 凝血病:因为凝血生物标志物水平在正常范围内。
由于皮疹分布广泛、不典型,采集丘疹的皮肤活检,以区分血管炎、血管病变和栓塞。
活检显示:白细胞碎裂性血管炎。
由于患者的蛋白尿水平异常高(2.36g), 采集肾活检样本 。
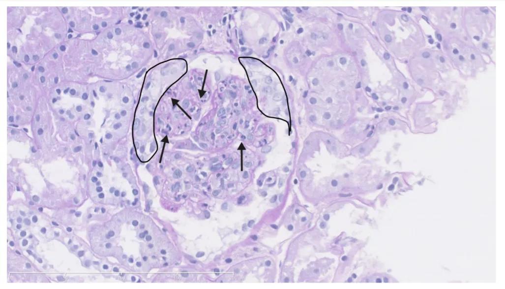
活检显示:毛细血管和肾小球周围出现新月体,淋巴细胞和中性粒细胞浸润 (如下图)。活检样本免疫荧光染色显示:毛细血管后小静脉IgA沉积。

▲ 肾活检标本的病理学检查,显示新月状(黑色圆圈);淋巴细胞和中性粒细胞浸润于毛细血管周围肾小球(黑色箭头)。(图片来源:参考资料[1])
诊断
免疫球蛋白A相关性血管炎(过敏性紫癜)
治疗和随访
- 给予泼尼松每日40mg。一周后,皮肤紫癜、腹痛和关节痛显著改善。粪便检查显示无红细胞。
- 四周后尿常规检查显示未检出血细胞和蛋白尿。皮质类固醇剂量逐渐减量,4个月后停药。
- 患者由肾病科随访,每月尿液分析一次,直至尿蛋白结果阴性。
病例学习要点
当患者出现多器官症状(即皮肤、肾脏、关节和胃肠道系统症状)时,考虑免疫球蛋白A相关性血管炎。
免疫球蛋白A相关性血管炎是一种系统性小血管炎,主要累及皮肤、肾脏、胃肠道和关节;可触及紫癜、肾损害、关节痛(80%)和腹痛(70%)。其特征是免疫球蛋白A在毛细血管后小静脉沉积,并伴有白细胞碎裂。
紫癜很快由粉红色发展为红色丘疹,呈对称性分布,常发生在腿部和臀部,偶尔在手臂和躯干。一般为自限性,平均四周内可消退,丘疹可能演变为大疱和坏死性皮疹。
儿童年发病率为326.7/10万,16岁及以上的年发病率为0.8/10万—1.8/10万。上呼吸道感染常在症状出现前一至两周出现。至少一半的患者血清免疫球蛋白A水平可能升高。粪便潜血试验阳性,表明胃肠道受累。
鉴别诊断
排除脑膜炎球菌败血症、严重血小板减少和凝血病。
伴有肾损害的紫癜也见于冷球蛋白血症性血管炎、系统性红斑狼疮、华氏巨球蛋白血症、韦格纳肉芽肿病、Churg-Strauss综合征、显微镜下多血管炎和结节性多动脉炎。
如果患者出现重度蛋白尿(>250mg/mmol)、持续性中度蛋白尿(100~250mg/mmol)或肾小球滤过率受损。在非典型皮疹病例中考虑皮肤活检,以排除其他诊断。
参考资料
[1] Song, Y., Zhou, Q., Qiao, J., & Chen, J. (2021). A boy with purpura on the legs. bmj, 372.
免责声明:药明康德内容团队专注介绍全球生物医药健康研究进展。本文仅作信息交流之目的,文中观点不代表药明康德立场,亦不代表药明康德支持或反对文中观点。本文也不是治疗方案推荐。如需获得治疗方案指导,请前往正规医院就诊。
版权说明:本文来自药明康德内容团队,欢迎个人转发至朋友圈,谢绝媒体或机构未经授权以任何形式转载至其他平台。