
脾动脉栓塞术
脾功能亢进简称脾亢,指各种原因造成的伴随脾脏肿大及血细胞过度消耗的临床综合症。脾功能亢进是一种综合症,并不是一种独立疾病的诊断名称。血细胞、血小板等在过度肿大的脾脏滤过时被毁损,从而造成相应的临床表现,如贫血、粒细胞减少、血小板减少及骨髓造血活跃。

部分性脾栓塞术(PSE)适应证:
- 肝硬化门静脉高压并脾功能亢进
- α-地中海贫血
- 遗传性球形红细胞增多症
- 遗传性椭圆形红细胞增多症
- 特发性血小板减少性紫癜(ITP)
- 自身免疫性溶血性贫血,β+/β+地中海贫血,霍奇金病,慢性白血病,戈谢病患者,如血细胞在脾脏破坏可以使用PSE治疗
经典病例
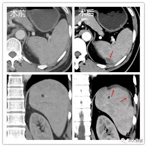
中年男性,肝硬化合并脾功能亢进。CT检查示巨脾,血常规检查示重度贫血及重度血小板减少症,应用PVA颗粒行部分性脾栓塞。
- DSA下行部分性脾动脉栓塞治疗。

PSE
- 术后复查CT显示脾脏部分梗死。

术后复查CT显示脾脏部分梗死
- 术后患者三系细胞明显回升,临床症状得到明显改善,且疗效持续。

脾动脉栓塞治疗