此前跟大家介绍过我专科引入的三维彩超床边引导宫腔镜手术,今天用一个实例给大家展示一下其威力。
本文所介绍的手术,由SONOSCAPE S9引导完成;

超声引导由刘春霞医生执行;
宫腔镜手术操作由郭仲杰医生完成。
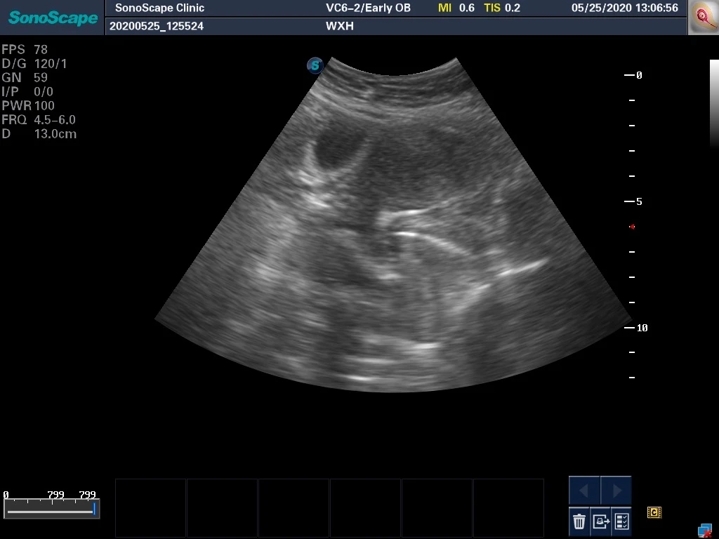
本例患者是“既往胎停后继发不孕,试管婴儿助孕后再次胎停后2个月月经不复潮”来诊,使用孕激素后月经有来潮,但月经量显著减少,彩超检查发现内膜薄。术前外院彩超没有电子版,在这里直接提供一份手术开始前的超声所见。

在上面这个图片中,我们可以大约看到子宫的轮廓以及微弱的内膜回声,标注呈现如下图:

我们开始进入宫腔镜:看到宫颈管上段接近宫颈内口处中央型粘连带。

处理了该粘连带之后,我们看到的是一个盲端,进入一个无路可走的状态,但是,这显然不是子宫腔,因为宫腔不会这么小。

我们只好再次借助彩超的力量。

在这个超声上面,悍然出现两个“眼睛”,彩超见原“内膜仅存之处”呈现一个被膨宫液撑起的腔,而与宫腔镜末端紧邻之处则也呈现出一个腔隙,那个就是我们宫腔镜下所看到的小空间。将两个腔隙之间的部分打通,即可恢复宫腔结构。上图进行辅助线标记如下:

得益于彩超的方向引导,我们这么做:使用小剪刀在彩超监视下从宫颈内口的腔向宫底部的腔进行“进攻”,行程过半后,直接使用宫腔镜镜体沿着刚才操作形成的通道进行钝性分离,直达宫底部腔隙。以下视频展现的是分离过程以及宫腔镜进入宫底部腔隙之后所看到的内膜情况。

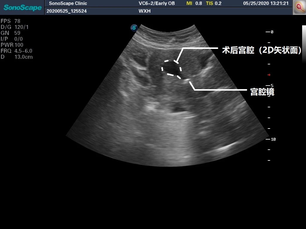
返回彩超,看看术后的情况。下图展示的是宫腔恢复后的容积,显然远远大于手术前两个小空间的面积。


这台彩超还允许我们在手术中直接进行3D重建成像。


上图白线所标记部位就是恢复后的整体子宫腔,与正常的宫腔相比已经无明显差异。
通过2D手术引导及床边3D彩超重建,我们可以大大提高手术的效率及安全性,在过去,类似的手术可能就要借助腹腔镜引导、临时球囊扩张后二期分粘等其他手段,而使用彩超引导技术,既可以完成手术中引导,避免进入“假腔”或者“子宫穿孔”,还可以手术结束立即评估,如果觉得手术没到位可以及时补救,大大减少各种手术并发症的可能性。