ps:本文会着重解答磁共振在脑出血中的影像诊断价值,欢迎收藏学习。
出血在中枢神经系统疾病中常见,按出血部位可分为硬膜下、蛛网膜下腔、脑内及脑室内出血,它们均有一个基础疾病,如:外伤、变性血管病、血管畸形、肿瘤或炎症。

MRI在显示出血、判断出血原因以及估计出血时间方面有独特作用,其中以脑内血肿MRI信号演变最具有特征性。
较多血液由血管内溢出后,在局部脑组织内形成血肿。随着血肿内血红蛋白的演变以及血肿的液化、吸收,MRI信号也发生一系列变化。
脑出血在MRI上表现为4期,即超急性期、急性期、亚急性期和慢性期。

(1)超急性期:出血时间不超过24小时。
由于氧合血红蛋白内电子成对,不具顺磁性,故在T1加权像上为等信号或稍低信号,T2加权像上为稍高信号,说明新鲜出血为抗磁性,它不引起T2弛豫时间缩短。
注意:考虑急性出血患者优先选择CT检查(因为磁共振检查时间较长)。
(2)急性期:一般为1-3天。
该期红细胞内为去氧血红蛋白,它有4个不成对电子,具有顺磁性,局部场强不均,T1加权像仍成稍低信号。

脑出血急性期
(3)亚急性期:4天至2周内,出血后3-7天为亚急性早期,7-14天为亚急性晚期。
在亚急性早期,去氧血红蛋白被氧化成正铁血红蛋白,它具有5个不成对电子,有很强的顺磁性。脑血肿内正铁血红蛋白首先出现在血肿的周围,并逐渐向血肿内发展。

脑出血亚急性早期
亚急性早期由于正铁血红蛋白形成,T1加权像呈高信号,T2加权像因顺磁性物质的磁敏感效应而呈低信号。

脑出血亚急性晚期
亚急性晚期红细胞开始溶解,在T1或T2加权像上均呈高信号。
红细胞溶解使红细胞对正铁血红蛋白的分隔作用消失,水含量增加是T2加权像信号增高的主要原因。
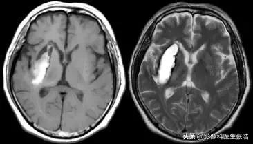
(4)慢性期:为2周以上。
含铁血黄素和铁蛋白形成并进一步氧化为氧化铁,同时由于巨噬细胞的吞噬作用使含铁血黄素沉着于血肿周边部,其使T2弛豫时间缩短,因此在血肿的周边部出现低信号的影像环带,其余仍为高强度信号表现。

脑出血慢性期
所以血肿中心T1加权为等信号,T2加权为高信号。血肿周边T1加权像为稍低信号,T2加权像为低信号。
部分脑出血体积比较大时,或非急诊来时需要与以下疾病鉴别:
(1)脑梗塞:
梗塞后由于血供中断,组织表现为缺血缺氧、继发水肿、变性、坏死和囊变等病理变化,晚期以纤维化、钙化而修复。

(1)急性期:由于水肿使T1和T2均延长,所以MR图像上在T1加权像上呈低信号,在T2像上呈高信号;
(2)亚急性期:在T1加权像上表现为高信号,多为不规则脑回状,可能是由于缺血使小动脉壁破坏,梗塞后如血管再通或侧支循环建立,产生出血性变化,导致T1加权像出像高信号。

并且脑梗塞可以通过MRA血管序列观察是否有血管闭塞。
后期纤维组织增生修复,水肿消退,则呈长T1和短T2信号改变,即在T1WI和T2WI图像上均呈低信号。
(2)囊 变:
囊内容物一种为纯水,另一种为含蛋白的结合水。
含液囊肿MR图像上呈边缘光滑的长T1和长T2信号特征,故在T1加权像上为低信号,T2加权像上为高信号。

囊肿内含丰富的蛋白质或脂类物质时,在T1加权像上表现为中等信号,在T2加权像上为高信号特征,故MR图像上有助于分辨囊腔内容物的性质。
(3)肿 瘤:
MR图像上信号特征与肿瘤的组织结构类型相关。
例如:含脂类肿瘤,像脂肪瘤、胆脂瘤、畸胎瘤等呈短T1和长T2高信号特征;钙化和骨化性肿瘤呈长T1和短T2的低信号肿块;含顺磁性物质的肿瘤,如:黑色素瘤则呈短T1和短T2的信号特征;

而一般性肿瘤多数呈长T1和长T2的信号特征。富血管性肿瘤肿块内及附近可见扭曲扩张的流空血管影。
#科普一下# #真相来了# #清风计划# #滚蛋吧肿瘤君# #春季养生正当时#
感谢阅读,欢迎收藏学习。