分享人:周坚红、罗洁
撰写人:朱颖帆、张弢
一、病例简介
患者,女,23岁,未婚,0-0-0-0,有*生活性**史,因“发现盆腔包块6天”入院。
现病史:患者平素月经规则,量中,色暗红,无痛经,末次月经2019年6月23日,量与性状同前。6天前患者至外院体检,查超声提示“盆腔巨大囊性肿物,上至剑突下五指,下至自耻骨联合上缘,两侧分别至两侧腋前线”,无腹胀腹痛,无异常阴道流血流液,诊断“卵巢囊肿?”,建议进一步检查。5天前患者至我院门诊就诊,我院超声提示“子宫上方见一巨大囊性回声,上达脐上五指,双侧达腋前线,内液尚清,囊壁上见数个稍强回声,较大5.3*0.9cm,内未及明显血流信号”,全腹CT提示“子宫上方囊性包块,大小约19.1*10.2*23cm,考虑左卵巢良性病变,囊腺瘤可能”,无月经改变,无腹痛腹胀,无尿频尿急,无肛门坠胀感,无异常阴道流血等不适,诊断“卵巢囊肿”,建议住院手术。今患者无畏寒发热,无胸闷气促,无腹胀腹痛,无肛门坠胀感,为进一步手术,收住入院。
既往史:既往体健,无重大外伤、手术史。
月经史:初潮12岁,经期5天,周期28天,末次月经2019年6月23日,经量中,色暗红,无痛经。
妇科检查:外阴:已婚未产式;阴道:阴道畅,未见异常分泌物;宫颈:光,未见明显赘生物,无接触性出血,无举痛及摇摆痛;子宫:子宫后位,常大,质中,活动可,无压痛;双侧附件:触诊不满意,盆腹腔可及巨大囊性块,上缘达脐上5指,两侧缘达腋中线,无压痛。
辅助检查:2019-07-05肿瘤标记物:CA125 46.1 U/mL;生殖激素:LH 17.20 IU/L,FSH 9.99 IU/L,E2153.7 pmol/L,P 1.29 nmol/L;抗缪勒氏管激素(AMH)2.980 ng/ml;血常规、血凝、血生化未见明显异常。
2019-06-30本院经腹子宫附件超声检查示:子宫后位,正常大,内膜厚0.64cm(双层)。宫壁回声均匀。右卵巢正常大,回声无殊。左卵巢显示不清。子宫上方见一巨大囊性回声,上达脐上五指,双侧达腋前线,内液尚清,囊壁上见数个稍强回声,较大5.3*0.9cm,内未及明显血流信号。诊断结果:子宫正常大,子宫上方巨大囊性块,建议进一步检查。

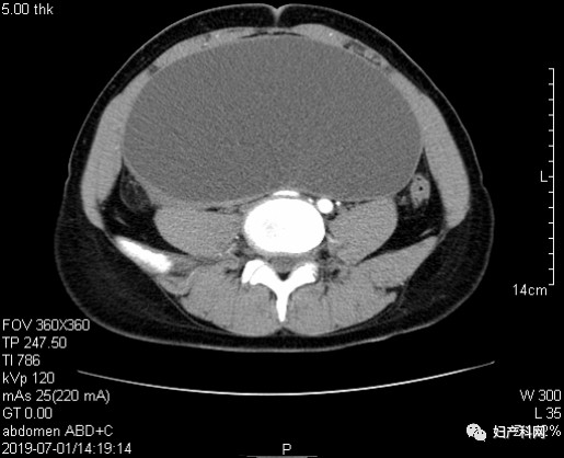
2019-07-01本院全腹部CT平扫+增强示:子宫后倾,正常大小,轮廓清楚,宫腔显示规则。子宫上方见一类椭圆形囊性块,大小约19.1x10.2x23cm,囊液较粘稠,CT值约16Hu,囊壁稍厚尚光整,未见明显分隔,囊壁上未见明显乳头,增强扫描囊壁强化。右侧卵巢可及,正常大小。盆腔淋巴结未见肿大,盆底少许腹水。中上腹扫描示:肝、脾、肾、胰等脏器未见明显占位灶或异常密度影,胆囊无殊,大网膜、肠系膜、壁腹膜未见明显结节灶,腹主动脉旁淋巴结无肿大。诊断结果:1、子宫上方囊性包块,考虑左卵巢良性病变,囊腺瘤可能;内异囊肿待排;2、中上腹扫描未见明显异常。

初步诊断:盆腔肿块:卵巢囊肿?
诊疗计划:积极完善相关检查,排除手术禁忌后行剖腹探查术。
二、手术及预后
患者2019-07-09因“盆腔肿块:卵巢囊肿?”在硬膜外麻醉下行“经腹左侧卵巢囊肿剔除术,左卵巢成形术,盆腔内异病灶电凝术”。术中见:盆腔内未见明显游离液体。盆腔内见一巨大囊性包块,占据手术野,探查大小约25*20*10cm,来源于左侧卵巢,表面光滑,与周围组织无粘连。子宫后位,常大,表面光滑,质软,未及明显肌瘤样凸起。左侧输卵管匍匐于巨大左侧卵巢囊肿上,管壁柔软,伞端粘膜存在。右卵巢常大,外观无殊;右输卵管质地柔软,走行自然,伞端粘膜存在。子宫直肠陷窝存在。探查双侧宫旁组织无增厚,双侧宫骶韧带处见散在紫蓝色内异病灶,余盆腔腹膜未见紫蓝色内异病灶。探查盆腹腔:大网膜外观无殊,未见明显结节及病灶。盆腔腹膜表面、肝脏、脾脏、胃、阑尾、肠管表面及横隔未见明显病灶,盆腔淋巴结及腹主动脉旁淋巴结未及明显肿大。
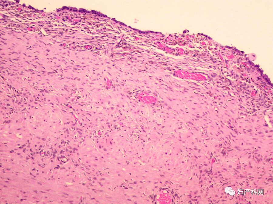
操作:予生理盐水冲洗盆腔,吸净液体并留取腹水冲洗液备检。两把Allis钳钳夹并提起包块,盐水巾包围包块及切口周围,予彭氏电刀穿刺左卵巢囊肿,吸去大部分囊液,见囊液呈暗褐色,质稀薄,共约3000ml。血管钳夹闭穿刺口,提出左侧卵巢至腹部切口外,沿卵巢长轴环形切开卵巢皮质至囊肿表面,钝性+锐性分离,逐步剔除囊肿,完整剥离囊肿。标本剖检:囊内壁光滑,未见明显乳头状突起。标本送快速冰冻切片,结果回报:(左)卵巢子宫内膜囊肿。囊肿剔除后剩余左卵巢皮质予3-0可吸收线荷包及连续缝合成形,成形后左侧卵巢大小约6.0*4.0*1.0cm。电凝上述盆腔内异病灶。再次检查盆腹腔内无活动性出血,于生理盐水冲洗盆腔,盆腔予透明质酸钠1支预防粘连。术毕,吸气撤镜,2-0可吸收线常规缝合腹部穿刺口。
术后常规病理:(左)卵巢子宫内膜囊肿

术后诊断:盆腔子宫内膜异位症III期(卵巢型、腹膜型)
术后处置:
2019-07-10复查CA125 36.9 U/mL
2019-07-15予抑那通3.75mg皮下注射1次后出院
出院医嘱:
1.加强营养,注意休息,避免感染。2.禁盆浴、游泳及*生活性**1个月;3.如有腹痛、阴道流血多、发热等不适及时随诊。4.患者2019-07-15予(抑那通)注射用醋酸亮丙瑞林微球/3.75mg 皮下注射1次,每28注射1次,建议3-6个周期。5.术后3月门诊复查。6.出院带药:无。
三、病例分析
知识点1
1、什么是子宫内膜异位症?
子宫内膜异位症是指子宫内膜组织(腺体和间质)在子宫腔被覆内膜及子宫以外的部位出现、生长、浸润,反复出血,继而引发疼痛(70%-80%)、不孕(40%-50%)及结节或包块(17%-44%)等。内异症是生育年龄妇女的多发病、常见病。内异症病变广泛、形态多样、极具侵袭性和复发性,具有性激素依赖的特点。内异症在形态学上呈良性表现,但在临床行为学上具有类似恶性肿瘤的特点。内异症临床病理类型包括腹膜型内异症、卵巢型内异症、深部浸润性内异症及其他部位的内异症。
2、子宫内膜异位症的诊断
生育期女性有继发性痛经且进行性加重、不孕或慢性盆腔痛,妇科检查扪及与子宫相连的囊性包块或盆腔内有触痛性结节,即可初步诊断为子宫内膜异位症。超声检查是诊断卵巢异位囊肿和膀胱、直肠内异的重要方法,其诊断敏感性和特异性均在96%以上。血清CA125诊断内异症的敏感性和特异性均较低,不作为独立的诊断依据,但有助于监测病情变化、评估疗效和预测复发。经腹腔镜检查的盆腔可见病灶和病灶的活组织病理检查是确诊依据,但病理学检查结果阴性并不能排除内异症的诊断。
分析1
本例患者,23岁,生育期女性,月经正常,无痛经,无生育要求,无定期体检,术前囊肿尚未造成盆腹腔脏器的压迫症状,因此未引起患者的重视,从而导致囊肿逐渐生长至如此巨大。卵巢最易被异位内膜侵犯,约80%病变累及一侧卵巢,累计双侧占50%。卵巢子宫内膜异位囊肿大小不一,一般直径多在5cm左右,很少超过10cm。卵巢子宫内膜异位囊肿的张力大,囊壁厚薄不均,易反复形成小的破裂,破裂后囊内容物刺激局部腹膜及卵巢呈炎症反应,导致卵巢破裂处与周围组织粘连。本例患者卵巢内异囊肿巨大,直径达20cm,囊肿与周围组织无明显粘连,较为罕见,故术前易于其他卵巢肿瘤混淆。
知识点2
1、子宫内膜异位症的发病率
生育期是内异症的高发时段,其中76%在25-45岁。生育少、生育晚的妇女发病率明显高于生育多、生育早者。在慢性盆腔痛及痛经患者中的发病率为20%-90%,25%-35%不孕患者与内异症有关,妇科手术中有5%-15%患者被发现有内异症存在。
2、子宫内膜异位症的发病机制
以Sampson经血逆流种植为主导理论,逆流至盆腔的子宫内膜需经黏附、侵袭、血管性形成等过程得以种植、生长、发生病变;在位内膜的特质起决定作用,即“在位内膜决定论”;其他发病机制包括体腔上皮化生、血管及淋巴转移学说以及干细胞理论等。相关基因的表达和调控异常、免疫炎症反应以及性激素受体表达异常等与内异症的发生密切相关。内异症有家族聚集性。一级亲属中有内异症患者的妇女发生内异症的风险升高7-10倍。
知识点3
1、子宫内膜异位症的治疗原则:
以“减灭和消除病灶,减轻和消除疼痛,改善和促进生育,减少和避免复发”为治疗目的。治疗方案要根据患者的年龄、生育要求、症状、既往治疗史、病变部位和范围、患者的意愿。强调个体化治疗。对盆腔疼痛、不孕及盆腔包块的治疗要分别对待。
2、子宫内膜异位症的治疗方法:
(1)药物治疗:治疗目的是抑制卵巢功能,阻止内异症的发展。适用于有慢性盆腔痛、经期痛经症状明显、有生育要求及无卵巢囊肿形成患者。对较大的卵巢内膜异位囊肿,特别是卵巢包块性质未明者,宜采用手术治疗。可供选择的药物主要分为非甾体类抗炎药NSAID、口服避孕药、高效孕激素、雄激素衍生物及促性腺激素释放激素激动剂GnRHa等。
(2)手术治疗:治疗目的是切除病灶、恢复解剖。适用于药物治疗后症状不缓解、局部病变加剧或生育功能未恢复者、较大的卵巢内膜异位囊肿者。腹腔镜手术是首选的手术方法,目前认为腹腔镜确诊、手术+药物为内异症的“金标准”治疗。
(3)其他治疗方法包括介入治疗、中药治疗及辅助治疗(如辅助生殖技术治疗)等。
3、手术指征:
(1)卵巢子宫内膜异位囊肿直径≥4cm;(2)合并不孕;(3)痛经药物治疗无效。
4、手术方式:
(1)保留生育功能手术:切除异位内膜病灶、分离粘连、恢复正常解剖结构,但保留子宫、一侧或双侧卵巢,至少保留部分卵巢组织。适用于药物治疗无效、年轻和有生育要求的患者。术后复发率约40%。
(2)保留卵巢功能手术:切除盆腔内病灶及子宫,保留至少一侧或部分卵巢。适用于III、IV期患者、症状明显且无生育要求的45岁以下患者。术后复发率为5%。
(3)根治性手术:将子宫、双附件及盆腔内所有异位内膜病灶予以切除和清除,适用于45岁以上重症患者。术后不用雌激素补充治疗者,几乎不复发。
神经阻断手术:如宫骶韧带切除术、骶前神经切除术。由于手术的治疗效果不够理想,以及手术的风险,目前已经不再是治疗内异症相关疼痛的主要术式。
分析2
本例患者术前卵巢囊肿性质待排,直径达20cm,首先考虑良性病变可能,但不排除其他病变性质,故存在手术指征。患者系年轻女性,尚未生育,卵巢囊肿巨大,囊肿上缘近剑突,气腹针及置镜孔Turcar易在穿刺过程中直接造成囊肿破裂,且气腹形成后可操作空间小,术中无法避免囊肿破裂及囊内液污染盆腹腔。在病变性质未明且患者有生育要求的前提下不适宜腹腔镜手术,因此选择经腹探查术,术中探查盆腹腔无异常,故先行卵巢囊肿剔除术。根据术中所见囊液呈暗褐色,术中快速冰冻提示卵巢内异囊肿,结合患者年轻、有生育要求、有保留卵巢意愿,则结束手术。操作见前述,在巨大囊肿与周围组织无明显粘连的情况下,用彭氏电刀刺破囊肿并吸引囊内液,提起穿刺破口处两侧囊肿组织防止囊内液外溢,盐水巾的保护,较腹腔镜手术下巨大卵巢囊肿剔除术相对降低了医源性腹水细胞学阳性的风险。其他手术技巧为:留少部分的囊内液保持卵巢囊肿张力,环形切开卵巢皮质,舍弃部分卵巢皮质(穿刺破口并夹闭处的卵巢皮质)。仔细完整剥离囊肿后,若剩余卵巢皮质较多,可分别位于靠近骨盆漏斗处及固有韧带处做荷包缝合,卵巢缝合皱缩后形成“新卵巢”长轴的“两端”,在两端间做连续缝合进一步卵巢成型。术后常规病理提示卵巢子宫内膜囊肿。因子宫内膜异位症保守性手术术后复发率高达40%,因此该例患者术后联合药物GnRHa治疗,以抑制卵巢功能,阻止子宫内膜异位症进展,减少子宫内膜异位症病灶的活性以及减少粘连的形成。GnRHa可下调垂体功能,造成药物暂时性去势及体内低雌激素状态,停药后卵巢可恢复排卵,给患者创造生育机会。
知识点4
1、育龄期子宫内膜异位症长期管理目标:
(1)控制疼痛;(2)保护、指导和促进生育;(3)预防复发。
2、育龄期内异症术后长期管理:
(1)对于有生育要求的患者,指导和帮助妊娠是长期管理中的重要内容,应该明确建议患者积极妊娠。
(2)无生育要求的患者的术后长期管理应该是综合治疗,包括药物治疗、定期随访、健康教育、心理问题的咨询等。
(3)药物治疗的建议:一线药物:NSAID、口服避孕药及高效孕激素。Meta分析的证据显示,内异症术后长期口服避孕药(>12个月)不仅可以控制痛经,还可以减少复发。二线药物包括GnRHa、LNG-IUS,以及中医中药。目前,GnRHa仍然是内异症药物治疗的“金标准”。Meta分析的证据支持内异症保守性手术后GnRHa的长程(6个月)治疗比短程用药更能显著降低复发的风险。GnRHa是目前所有治疗内异症的药物中能够彻底降低血雌激素水平的药物,因此,GnRHa可以在内异症长期管理的序贯治疗中联合其他药物使用,发挥其迅速减轻症状、萎缩病灶的作用。已有证据显示,术后GnRHa联合口服避孕药、或GnRHa联合LNG-IUS长期管理可以有效预防内异症复发。
3、育龄期内异症患者术后随访建议:
随访时间:术后半年内每3个月随访1次,半年后每6个月随访 1次。
随访内容的重点:药物副作用的管理、病情的监测、生育问题的指导。
随访内容:妇科检查、盆腔超声检查、卵巢储备功能监测、 CA125等。
总结
本病例中,患者年轻女性,未婚未育,盆腔肿块巨大、性质不明,手术指征明确。对术式的选择及手术途径,均遵循“有利”原则,应从尽可能保留生育功能,减小因医源性导致术后化疗的可能性,而不是盲目追求“微创”和美观。针对卵巢子宫内膜异位囊肿,手术仅为治疗的起点,内异术后复发率高,故术后可予GnRHa等药物进一步抗内异治疗,减小短期复发概率。需注意的是抗内异的疗程及目的应“个体化”,有立即生育要求患者、无近期生育要求患者、围绝经期患者是否决定使用药物及使用多少个疗程均不相同,不可“定势思维”仅按子宫内膜异位症分期程度做决策,还应关注患者用药期间的“围绝经期症状”,及时反向添加治疗,缓解症状及减少骨量丢失。本例患者,有短期内生育计划,拟用GnRHa治疗3个周期后根据门诊复查评估情况及患者生育意愿再决定一下治疗方案及生育指导。
【参考文献】
[1] 子宫内膜异位症的诊治指南[J].中华妇产科杂志,2015,(3):161-169
[2] 子宫内膜异位症长期管理中国专家共识[J].中华妇产科杂志,2018,53(12):836-841.
[3] 子宫内膜异位症.妇产科学第9版
[4] Sauvan M, Chabbert-Buffet N, Canis M,et al. Medical treatment for the management of painful endometriosis without infertility:CNGOF-HAS Endometriosis Guidelines. Gynecol Obstet Fertil Senol. 2018.46(3):267-72.
[5] Duffy JM, Arambage K, Correa FJ, et al. Laparoscopic surgery for endometriosis. Cochrane Database Syst Rev. 2014(4): CD011031.
[6] 冷金花,戴毅.子宫内膜异位症治疗新观念[J].中华妇产科杂志,2017,52(7):433-435.
[7] Muzii L, Di Tucci C, Achilli C, et al. Continuous versus cyclic oral contraceptives after laparoscopic excision of ovarian endometriomas: a systematic review and metaanalysis. Am J Obstet Gynecol. 2016.214(2):203.