点击右下角“关注”我噢~
“妈妈,快过来看看,我这颗牙晃动得厉害,是不是要掉了?“
小川已经到了换牙期,这已经不是他第一次掉牙了,与刚开始换牙时的害怕相比,他现在淡定了很多:“这次是上面的牙要掉,等它掉了后,我要把它放在床底下的盒子里。“
如果是下面的牙齿掉,他会把它扔到高一点的地方。相信这也是咱们小时候长辈都传授过的“经验”。
而在国外,孩子们会把掉了的牙齿包好,放在枕头下,等着晚上入睡后,牙仙女把牙齿取走,留下自己想要的礼物。

虽然上面的做法都没有什么科学依据,但对孩子来说,却是有魔力的,可以很好地“擦”掉孩子因为掉牙而产生的恐惧和不安。
换牙是每个孩子都要经历的阶段,也算是他们成长中的一个“里程碑”,标准着他们告别了幼儿期,正式步入了“大”孩子的行列。

而且,换牙期也非常关键,更换的恒牙将会陪伴孩子的一生。
除了咀嚼食物、帮助发音之外,牙齿还对影响面部的美观。我们经常会发现,小时候很好看的孩子,长大了却慢慢变丑了,其中很多都是牙齿畸形导致的。。
有数据显示,我国70%以上的孩子,都有不同程度的错颌畸形(常见的有龅牙、地包天等),其中5~12岁和12岁以上的孩子,错颌畸形率是最高的。也就是说,换牙期间牙齿出现的各种问题导致很多孩子越长越丑的情况最多。
那么在孩子换牙的时候,容易遇到哪些问题,又要注意些什么呢?
今天,就来聊一聊这个问题,让我们在这个特殊时期针对性地保护孩子的牙齿,帮助他健康又好看。
一、孩子换牙的几个关键问题
1. 孩子为什么会换牙?
在成年以前,我们的颅骨会迅速增大,颌骨也会变宽。但牙齿不能变粗,如果继续保留乳牙的话,牙缝就会变宽。
这样,不但容易引发龋齿和炎症,牙齿也比较容易折断。如果把乳牙换成更大更多的恒牙,就能很好地避免这个问题。

换牙期的儿童牙齿和成年人的恒牙图:换牙时,乳牙的牙根会主动溶解,恒牙则会从下方长出,另外增加的侧门齿和臼齿会从颌骨中萌发
所以,换牙的过程,其实就是乳牙脱落、恒牙长出来的过程。
2. 孩子一般几岁开始换牙?
孩子第一颗乳牙的生理性脱落,大多发生在5-7岁左右,一直会持续到12岁左右。

牙齿从牙根开始松动,到真正掉下来,通常会持续几个月。
假使牙关完全脱离了,轻微的旋转就会让它掉下来,但千万不要硬拉,不然很容易造成损伤和感染。
自然脱落的乳牙没有根,脱落面呈蚕食状,大家要注意观察,不要跟乳牙牙根折断相混淆。
3. 换牙过早或过晚会有什么问题?
如果孩子4岁就有牙掉下来,多数是因为磕碰等外伤导致的。
也有可能是身体原因或口腔局部的问题,如代谢紊乱、牙龈炎、龋齿等。
如果发现孩子由于外伤、牙周病等过早脱落乳牙,应该及早就医,不然会让咬合功能受损,影响恒牙及颌面部的正常发育。

如果孩子过了7岁,还没有一颗牙齿脱落,可能属于正常的个体差异,也有较小概率是孩子的身体出了问题,比如恒牙先天缺失,导致乳牙脱落的时间太晚。
所以,最好先去医院检查一下,医生一般会通过做X光片来检查恒牙是否埋伏在牙床里,以及是否存在发育上的问题。

如果没有病理性的原因,推迟换牙一般不会给孩子带来什么大的影响,相反,有的医生还认为恒牙在牙龈下孕育较长时间,倒可以让它们先天发育强壮,能更顺利地突破牙床的禁锢。
4. 换牙有先后顺序吗?
一般情况下,孩子换牙是按照牙齿上下排左右对称,先下后上的原则,依次为:
(1)在6-8岁时,开始长第一颗恒牙,即中切牙,第一磨牙也慢慢长出;也有一种观点认为第一磨牙在中切牙前面长出来;
(2)8-9岁时,开始长出侧切牙;
(3)10-12岁时,双尖牙开始长出,首先会长第一双尖牙;
(4)11-12岁时, 上下排的尖牙基本全部逐渐长出;
(5)12-13岁时,开始长第二磨牙;
(6)最后的第三磨牙,即智齿,要到孩子17岁后才开始长出,而且维持生长的时间会到21岁,当然也因人而异。

5. 孩子新长的门牙太大或高度不齐怎么办?
门牙往往是最先长出来的恒牙,部分家长觉得孩子长了“大板牙”太难看。
实际上,随着孩子一天天长大,颌面部发育生长到成人大小时,如果恒牙真的和乳牙一样大,咱们又会为孩子门牙太小而苦恼了。

新牙长出后,牙尖不齐,需要逐渐磨平,孩子会不自主地咬磨“对齐”。
7岁左右时,两个门牙长出后中间有间隙,也是牙齿萌出后的正常发育过程。两边的牙长出后,门牙就会慢慢靠紧。
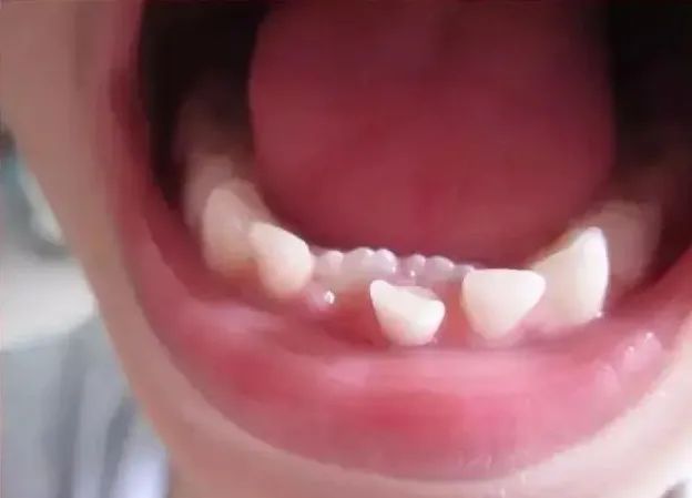
6. 出现“双层牙”怎么办?
门牙一般从乳牙内长出,如果孩子的乳牙还没脱落,旁边又长出新牙时,就会出现双层牙。
“双层牙”危害不小,不但会影响牙齿的美观,还会使恒牙排列错位,影响牙齿的咀嚼功能。
所以如果孩子出现“双排牙”,要及早去医院拔掉乳牙,为恒牙长出让出位置。
更多双排牙知识,可以看之前的这篇文章10个孩子5个长出双排牙,只怪我们做错了这件事!

7. 牙齿出现畸形怎么办?
据了解,目前我国70%以上的孩子,都有不同程度的错颌畸形(常见的有龅牙、地包天等)。

在生活中,咱们经常能见到的6种错颌畸形。
而且,随着孩子开始换牙,5岁以后的畸形发生率会比5岁前高出20%左右。

中国青少年的错颌畸形发病率
如何及时确定孩子是否错颌畸形以如何矫治,大家可以参考我之前写过的文章,里面介绍得非常详细:7成以上孩子的牙齿需要矫正,等到换完牙可能就晚了。
8. 乳牙龋齿换牙后就会变好吗?
还有人可能觉得龋坏的乳牙换掉后就一切ok了。
实际上,这种想法是不对的。如果龋齿不及时处理而伤及牙齿底部,容易出现牙髓炎等情况,如果到了这一步,必然会影响孩子换牙,很可能导致恒牙不萌出,造成孩子小小年纪就缺牙。

而且,龋齿如果得不到及时处理,也会影响孩子的正常营养摄入,造成孩子发育不良等问题。
二、孩子换牙时需要注意的问题
下面,我会分别从如何刷牙、饮食及习惯等方面,和大家具体说说,孩子换牙期间需要注意的一些方面。
1、养成刷牙的好习惯
一定要让孩子养成勤刷牙、勤漱口的好习惯。如何才能让孩子从内心深处就能认识到刷牙、保护牙齿的重要性呢?可以让他看看这篇文章:孩子乖乖刷牙不难,只要给他看几张图片就够了。
另外,关于刷牙的这些细节,大家也要重视起来:
关于牙具:要明确“一人一刷一口杯”原则,避免牙具共用,防止牙病的相互传染。
关于牙膏:虽然牙膏中的氟有助于防止龋齿,但要注重含量的控制,防止氟牙症的出现。
3岁以下的宝宝用含氟量约为0.1%的牙膏;
3岁以上的宝宝可以用含氟量在0.135%-0.15%的普通牙膏。
关于刷牙频次:每天至少刷牙两次,晚间刷牙更为重要。刷牙的同时,建议使用舌刷清洁舌背。
关于刷牙时间: 每次刷牙三分钟。这样能够保持牙齿被清洁得相对干净,有利于口腔健康。
关于刷牙方法:推荐使用“巴氏刷牙法”,这是美国牙科协会推荐的一种刷牙方法,能有效去除龈缘附近及龈沟内的菌斑。
具体的方法大家可以跟着视频学起来:
2、在饮食上要注意的地方
- 适当多吃有一定硬度的食物
孩子在换牙期间,可以多吃一些像胡萝卜、豆类、玉米、水果等含纤维素高、有一定硬度的食物。
咀嚼这些食物时,可以对乳牙起到很好的刺激作用,可以促使它按时脱,也能通过咀嚼运动,带动面部运动,促进牙床和颌骨的发育。

- 加强钙的吸收
换牙期间,如果钙吸收不足,可能会导致恒牙萌出延迟、出牙不齐、易患龋齿等问题。
可以让孩子多吃一些像牛奶、芝士等含钙量比较高的食物,同时也要注意摄入足够的维生素D,有助于孩子对钙的吸收。

- 控制糖分的摄入
吃糖过量容易导致牙齿受到侵蚀,让牙釉质发生损伤,从而引发龋齿,所以在饮食上要注意糖分的控制。

3、纠正孩子的一些不良习惯
- 这些小动作,一定要避免
比如吐舌头、咬舌头,咬手指头或铅笔,用舌头舔牙齿等,这些坏习惯都会影响孩子牙齿的生长,导致牙齿变形。

- 避免用口呼吸
正常的鼻呼吸是引导牙颌及颜面部正常发育的保障。如果长期口呼吸,孩子容易变成“龅牙”“短下巴”。
另外,口呼吸会让牙齿暴露,没有口水的滋润,牙齿也容易受到伤害。

上图用鼻呼吸,下图用嘴呼吸
关于孩子换牙的问题,今天就先聊到这里了,希望大家都能密切关注孩子牙齿的生长情况,可以及时发现并解决孩子的牙齿问题;
也希望每一个孩子,都能顺利地渡过换牙期,获得一口健康漂亮的牙齿。

参考资料:
一图读懂:健康口腔行动方案(2019-2025年).中华人民共和国国家卫生健康委员会
中国居民口腔健康指南.中华人民共和国国家卫生健康委员会
刘大可.真问真答:人为什么要换牙.大象公会
(助理编辑:山猫)
注:文中所有图片均来源于网络
川妈说说
以前觉得刷好牙预防龋齿就能万事大吉了,后来发现,现在的孩子因为被照顾的太好,竟然涌现了新的双排牙的问题。身边不只一个孩子因为乳牙老不掉,专门去医院拔牙为恒牙让位置。
当然刷对牙、刷干净牙也不是件简单容易的事。孩子各种不愿意,不正确做法,导致的问题不少。之前小川班上统计孩子的龋齿情况,70%以上的孩子有至少一颗龋齿,还有不少孩子已经发展成N个。但很多爸妈认为,那些都是乳牙没关系,换了恒牙自然就好了。真的不能有这么侥幸的想法,换牙期间出现牙齿问题,更需要我们细心关注、及时解决。
为“推荐阅读”检索之前的文章,才发现前前后后写了很多关于牙齿的文章。以上提到的问题都有研究和解答,快去看看有你需要的吗?
拓展阅读
孩子乖乖刷牙不难,只要给他看几张图片就够了
关于儿童口腔正畸,大家最关心的18个问题