上饶市鄱阳县35岁的徐女士,一年前因 左尺骨鹰嘴骨折、左肱骨髁部骨折 做了内固定手术,13个月后,她来到南昌市洪都中医院创伤二科,希望取出内固定物。然而,医生在门诊为徐女士检查时发现,由于术后康复训练不到位,其肘关节功能恢复不佳,不能完全弯曲和伸直,屈伸活动受限。
经摄片检查发现,徐女士左肘关节周围有大量异位骨化及增生组织,遂拟“ 1.左肱骨髁部、尺骨鹰嘴骨折术后,2.左肘关节僵硬 ”收治入院。

入院后,创伤二科主任许振波和尹红波医生找徐女士详谈了她的病情,并告知其出现肘关节僵硬的原因,建议其在取出内固定物时行肘关节松解术,以改善肘关节活动度。徐女士经考虑同意了手术。

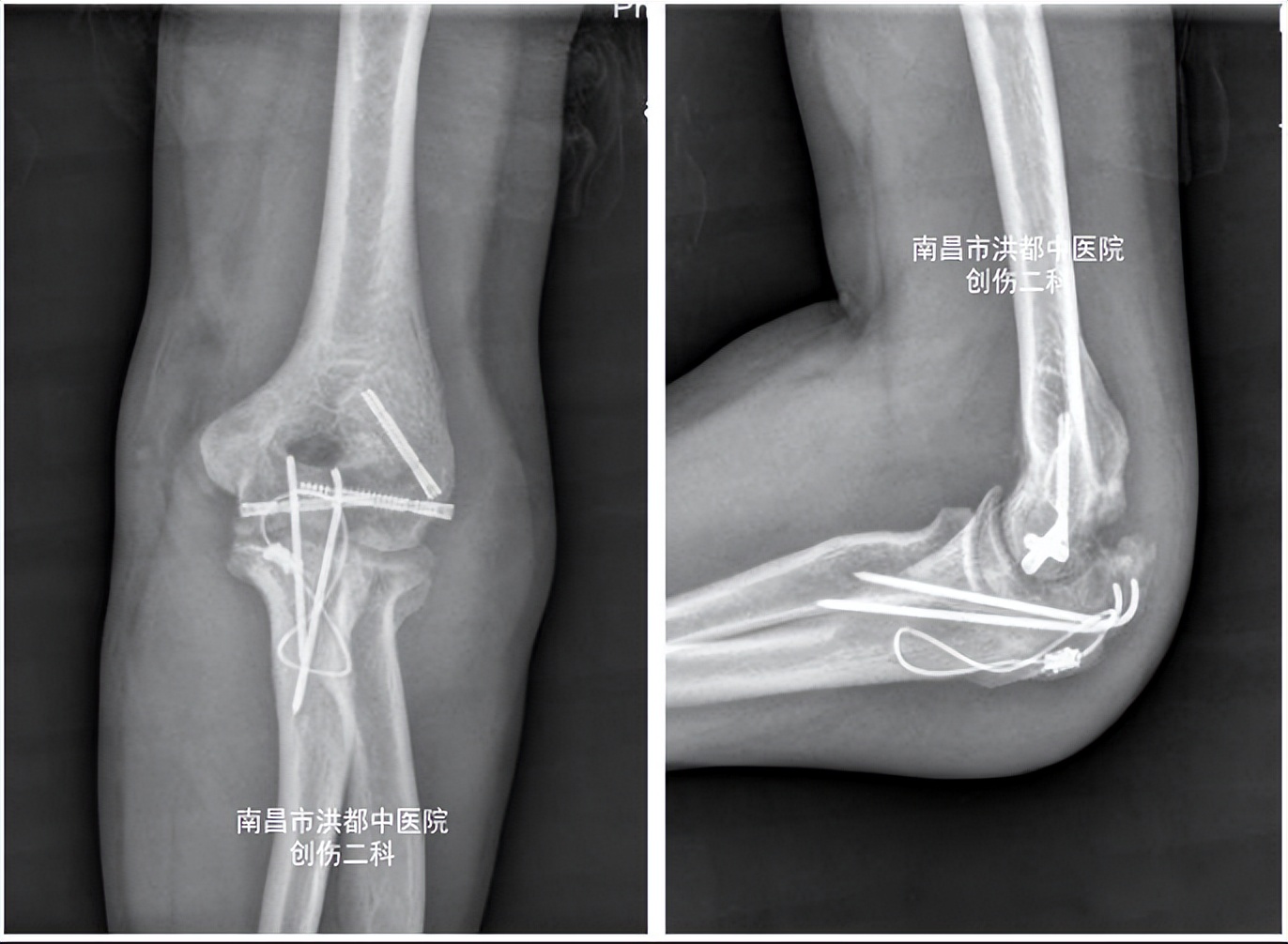
术前DR

术前CT
在完善相关检查,手术时机成熟后,创伤二科手术团队为徐女士 在臂丛麻醉下行左肱骨髁部骨折、左尺骨鹰嘴骨折术后内固定物取出术+肘关节松解术 ,手术历时40余分钟,术中显性出血约50毫升,僵硬的关节得到了松解。

术后,徐女士在医生指导下进行非负重锻炼,循序渐进地开展康复治疗。医生做好跟诊随访,助力患者早日康复。
肘关节僵硬
肘关节僵硬是复杂肘关节骨折术后的常见并发症,即肘关节活动不能达到功能活动范围。
1981年,Morrey等提出日常生活中,肘功能活动范围是屈伸100°(即伸肘受限30°至屈肘130°),前臂旋转100°(即旋前50°/旋后50°),只要保留这200°的活动范围,即可满足绝大多数日常生活及工作需要。对创伤后肘僵硬严重影响上肢功能,保守治疗至少6个月仍无效,有强烈改善功能愿望者,可考虑采取手术松解。
目前临床上多采取微创手术治疗,创伤二科经过近20来年的技术积累,不断创新,不断改良微创切口,手术简单快捷,损伤小,出血少,实现快速康复。
肘关节僵硬的分型
肘关节僵硬分为静力性和动力性。
静力性在肘关节僵硬中占主要地位,包括各种疾病引起的关节囊和韧带挛缩,骨骼退行性改变引起骨赘形成,关节周围移位骨化,关节内瘢痕形成与粘连,发育异常或骨折后畸形愈合等。
动力性主要涉及越过关节的肌肉组织在各种致病因素的作用下出现挛缩。
肘关节僵硬的治疗
肘关节僵硬的治疗,首先要明确诊断,针对病因进行治疗,严格将创伤后关节僵硬与风湿、类风湿、感染等造成的肘关节僵硬鉴别开来。
其手术适应症包括:肘关节屈伸活动小于30°-130°,旋前旋后活动达不到50°,关节活动范围虽然达到以上范围,但仍主诉工作活动不便,且经保守治疗3月无效,关节活动频繁出现疼痛,或存在关节卡压与交锁。
肘关节僵硬的手术治疗要点
手术采取内外侧双切口,充分显露肘关节前后室,完整切除前后关节囊,完全松解粘连组织。不影响关节屈伸的骨赘可不切除,以减少手术损伤,也可避免再次发生异位骨化的机会。术中根据具体情况做神经游离松解、前置。如术中对侧副韧带进行剥离,松解后应一期修复,并附加铰链外固定支架(8-10周后拆除)。

肘关节松解术后应尽早开始康复锻炼,努力恢复肘关节的功能性、关节活动度与肌肉力量,同时保护受损和修复的结构并预防肘关节的再次僵硬。
推荐专家
您身边的家庭医生

许振波
主任中医师 教授 创伤二科主任
江西省中医药学会骨伤分会委员、江西省中西医结合学会骨伤分会委员、中华医学会南昌骨科分会委员。
擅长运用中医药特色及手术技术治疗创伤引起的四肢骨折、脱位等。能够熟练应用切开复位、钢板螺钉固定技术治疗各种复杂骨盆、髋臼骨折。运用人工髋关节置换、切开复位内固定等方法治疗股骨颈骨折、股骨转子间骨折;采用闭合复位髓内钉内固定、有限切开桥接钢板固定治疗股骨干、胫骨干等四肢长管状骨骨折;微创治疗各种足踝部骨折,个性化治疗拇外翻,修复、重建韧带治疗踝关节脱位,截骨矫形治疗足踝部骨折畸形愈合及严重的足踝部畸形。应用微创技术、锁定加压钢板治疗四肢关节内骨折、骨质疏松骨折等复杂病例,人工肱骨头置换治疗严重粉碎性肱骨近端骨折。手术修复膝关节韧带、跟腱损伤、肩袖损伤以及对肩关节复发性脱位的手术治疗;以中西医结合方法治疗感染性骨折及骨折不愈合;应用国际先进的牵张生骨理论、外固定支架技术治疗创伤后骨与软组织缺损、肢体短缩及各种肢体畸形。参与4 项市厅级科研课题研究,发表论文10 余篇。

尹红波
创伤二科 主治中医师
硕士研究生,曾在山东省立医院创伤骨外科进修学习,江西省中医委员会创伤骨科学组委员,江西康复养生协会委员。擅长治疗创伤复杂骨折脱位、肘关节僵硬及微创治疗四肢骨折。多次在国内骨科会议进行创伤专题汇报,发表论文10余篇。
来源:南昌市洪都中医院
通讯员:邱佩君 曾慧兰
编辑:黄萌楣
审校:谢涛
核发:戴利红
图片:本文部分图片来源于网络,版权归原作者所有,如有侵权请联系我们删除。