
康复锻炼前

康复锻炼后
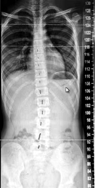
“12岁女孩脊柱明显侧弯旋转,没有支具或手术指征,经过合理康复锻炼后,恢复得很好……”日前,宁波市第一医院脊柱外科夏冬冬医生在朋友圈晒图,分享一位脊柱侧弯患儿的康复经历。夏冬冬告诉记者,早先他和同事在宁波某小学筛查发现,每10个孩子中就有2个疑似脊柱侧弯的孩子。骨科专家提醒广大家长,要及时发现孩子的脊柱问题,避免需要手术干预的严重后果。
父母偶然发现孩子脊柱侧弯
夏冬冬告诉记者,这名12岁的小女孩是他一个朋友的孩子,孩子身体平时非常健康。几个月前的一天,孩子在家里弯腰时,家长突然发现,她的腰有点一边高一边低。
家长把女儿带到市第一医院请夏冬冬进行诊治,拍片检查后发现,女孩果然有脊柱侧弯,她的脊柱呈螺旋状旋转,所幸发现得早,侧弯的度数在10度左右。虽然只是轻度的侧弯,还达不到戴支具矫正或手术的程度,但如果不加干预,侧弯会继续发展。
女孩在医生的指导下进行了康复锻炼,每天半个小时做规定的锻炼动作。三个月以后,女孩再来医院复查,有了喜人的效果,影像片上,她曾经侧弯10度的脊柱变成了一根直线,恢复得非常好。
“把这个案例和大家分享,主要是希望提醒大家,脊柱侧弯一定要早发现、早干预。”夏冬冬说。
成年才发现脊柱侧弯,会错过最佳矫正期
宁波市第一医院脊柱外科胡佰文主任介绍,脊柱侧弯这种疾病并不少见,在青少年中的发病率为1-3%。脊柱侧弯指脊柱向侧方弯曲,呈S或C形。发生此病时,脊柱常常也会发生旋转,造成背部不平整。如果脊柱旋转,背部一侧会比另一侧更为突出。
脊柱侧弯的原因有好几种,但其中最常见,也是最不容易发现的是特发性脊柱侧弯。特发性脊柱侧弯以女孩多见,特别是超过40度的脊柱侧弯病例,女孩占90%左右。
“脊柱侧弯尽早干预可以避免严重的后果,一般来说脊柱侧弯小于10度的患者不需要戴支架,也不需要手术;如果侧弯的度数在20度到40度以内,可以戴支具帮助矫正;如果是脊柱侧弯的度数高于40度的话,就必须接受手术治疗了。”胡佰文主任说,脊柱侧弯的手术治疗原理是把侧弯的脊柱掰直,用钢钉把原本一个个活动的脊椎骨串在一起,融合成一根直线,这是非常不好的手术方式,但也是唯一能让脊柱变直的手术方式,所以建议家长要及早发现孩子的问题。
在日常工作中,他也遇到过不少到成年才来矫正的脊柱侧弯患者。让他印象最深的是一名20多岁的厨师。“这名厨师一直没有发现自己的脊柱有问题,但他觉得自己在炒菜的时候,时间长了总是会腰疼。”胡佰文医生说,刚开始小伙子并没有把腰痛放在心上,后来他的腰疼越来越厉害,才想到到医院来看。在医院一检查,发现他的脊柱侧弯已经非常厉害,侧弯的度数达到了60度。后来医生给他做了手术,但他的腰部背部活动还是受了影响。
胡佰文主任提醒,脊柱侧弯通常发生在脊柱快速生长阶段,即儿童期或青少年时期。所以家长要格外留意孩子成长过程中的身体外形,及时发现脊柱健康问题。严重的脊柱侧弯不仅可引起外观畸形,而且会引起腰背疼痛不适,甚至影响心肺等内脏功能。
如果发现孩子存在以下情况,就要考虑是否有脊柱侧弯问题:一侧肩部、肩胛、髋部或乳房高于另一侧;一侧肩胛骨或腰部比另一侧更为突出;一侧腰部有皮肤皱褶。
宁波晚报记者孙美星/文 通讯员供图