金华的某A,男性,70岁,因检查发现右上肺占位入院,没有临床症状,肿瘤筛查指标正常,血常规与CRP正常。胸部CT检查报告考虑恶性可能:

直径约2.4厘米,密度欠均,血管贴边,增强轻度强化。单从描述看,恶性可能性较大。我们再来看看图像:


















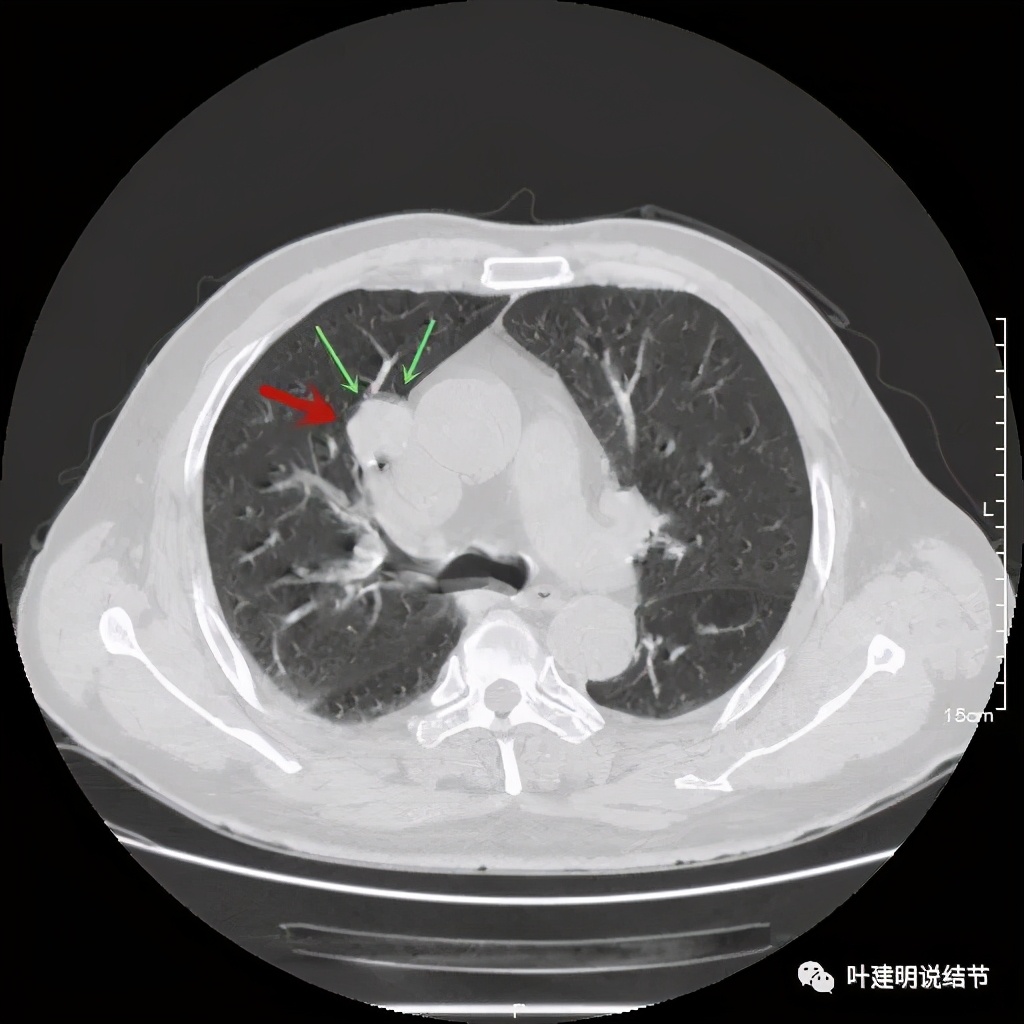
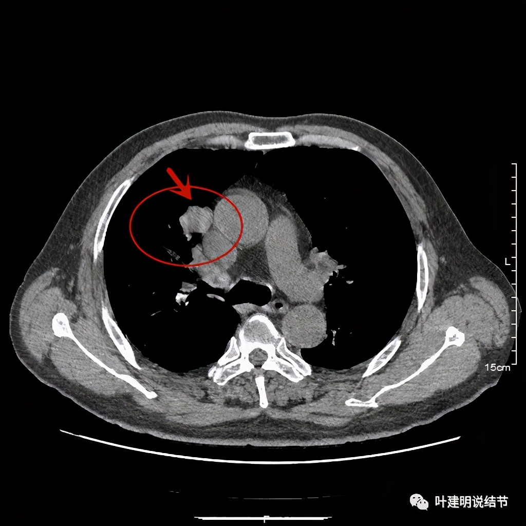
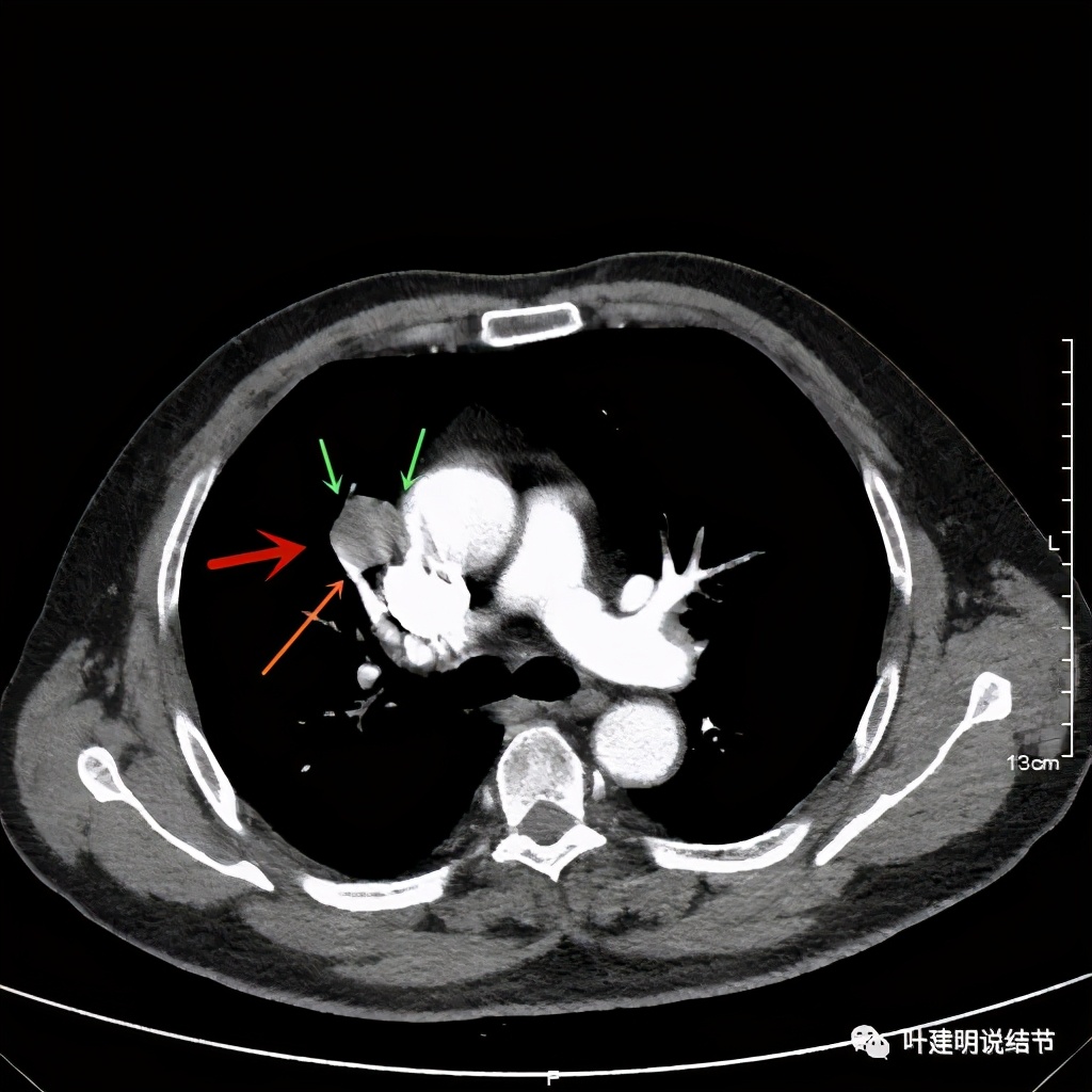
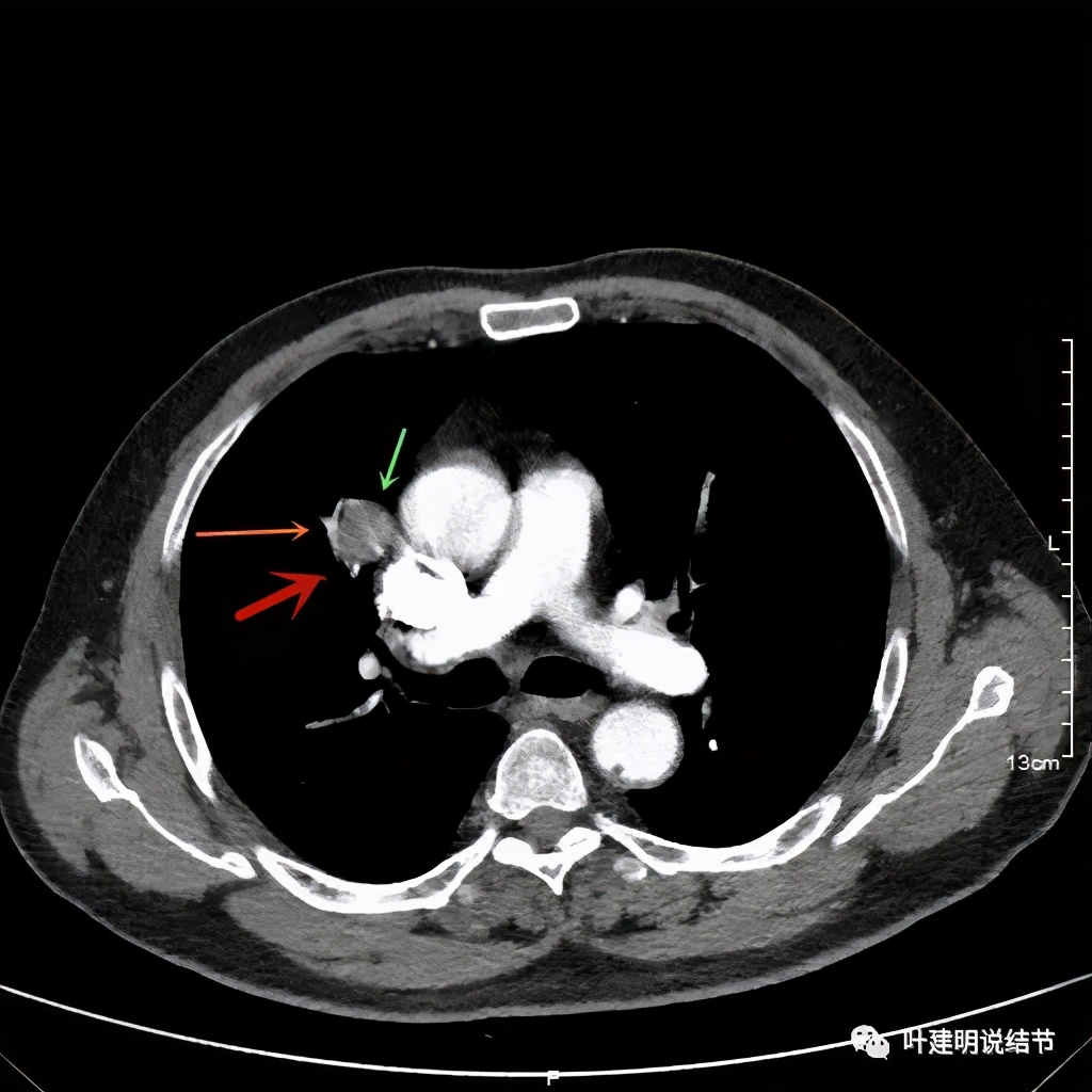
可见右上叶占位,我们现在知道了结果以后回头看,发现病灶的边缘在各个层面都是过于光滑(绿色箭头所示)。血管紧贴病灶边走行(桔色箭头所指),是不是有侵犯看不清楚,若是靶扫描加重建可能会更清楚点。支气管感觉也是贴着病灶走,但有的层面是不是截断,也不看的不太清楚。有的层面见局部有点状高密度(蓝色箭头所指),是不是错构瘤的局部钙化呢?若是纵隔窗又是如何?

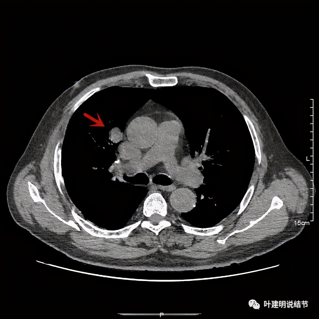
上图示病灶

上图示病灶密度不均

上图示病灶局部点状高密度(蓝色);边缘过于光滑(绿色)

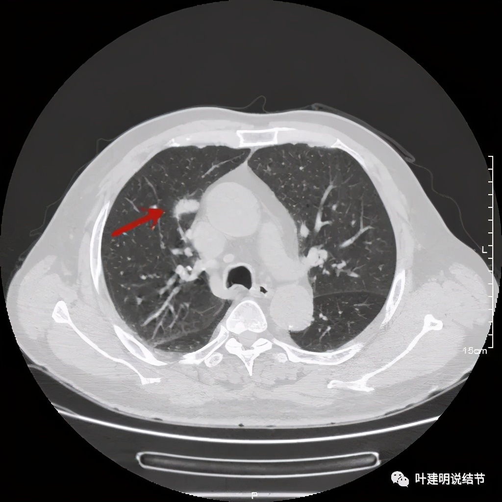
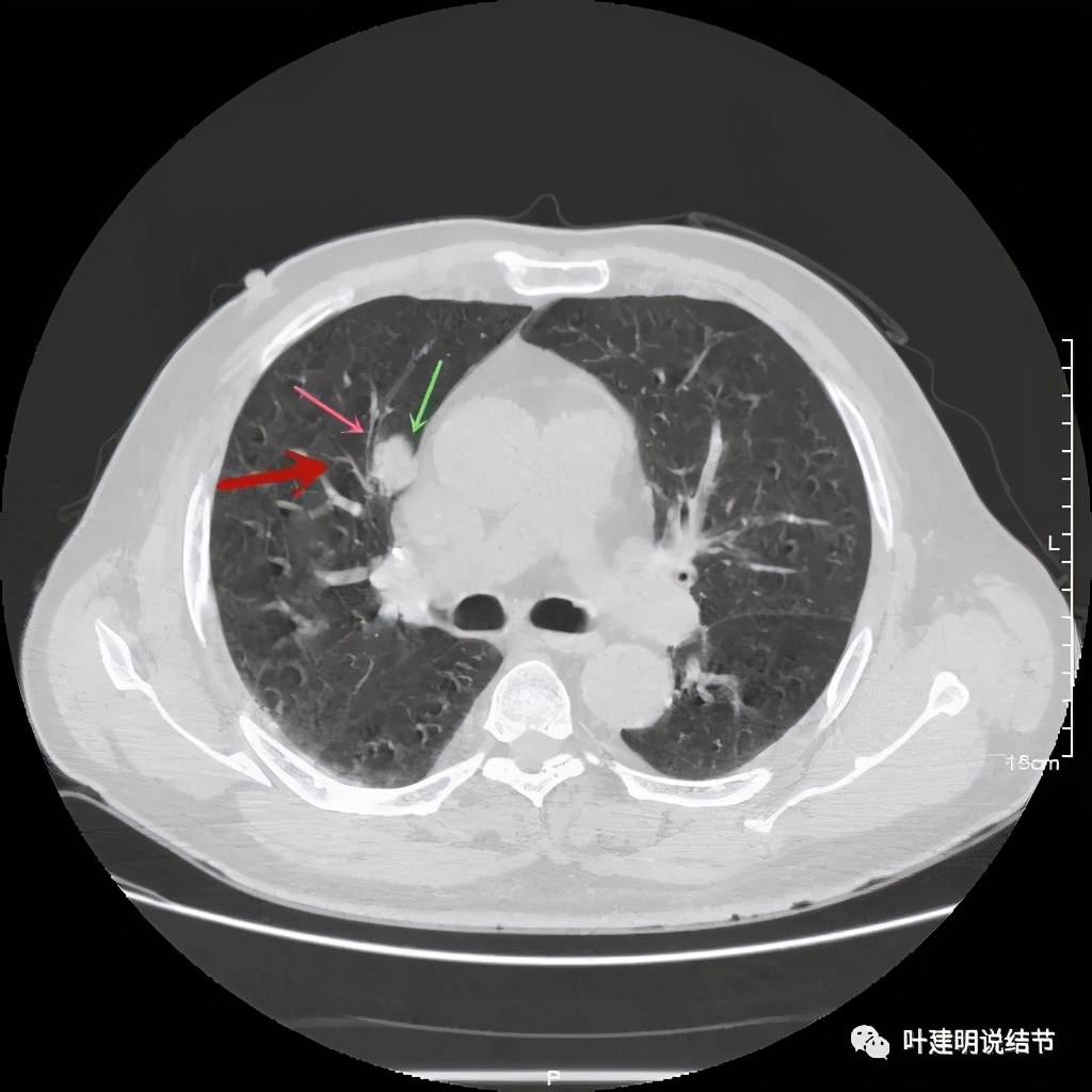
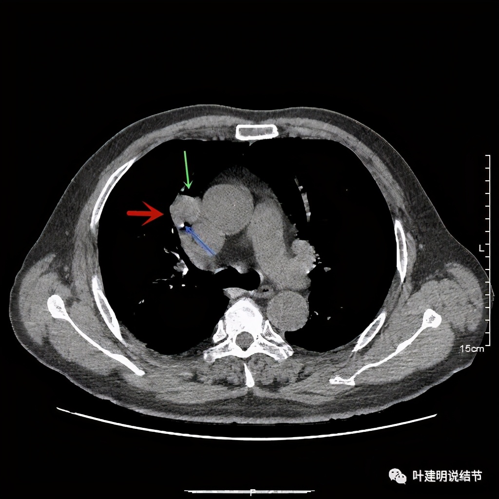
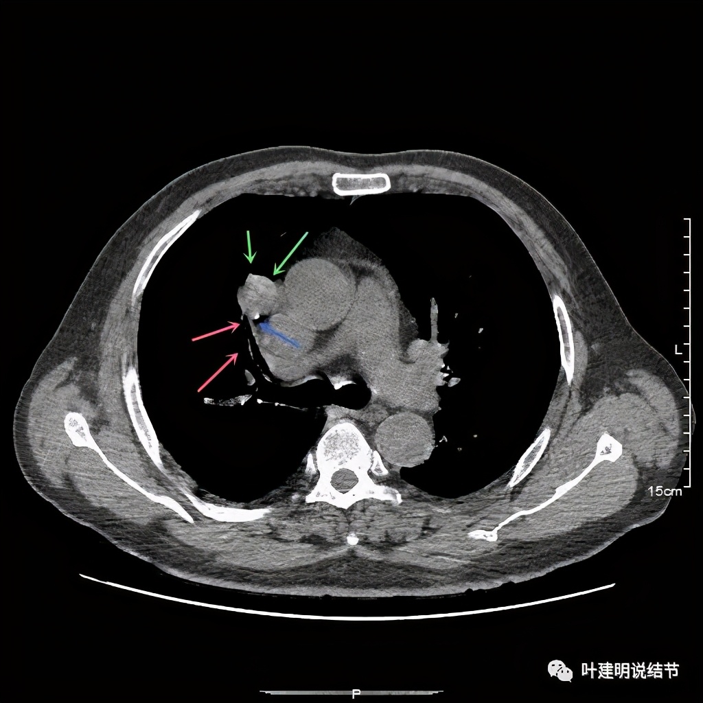
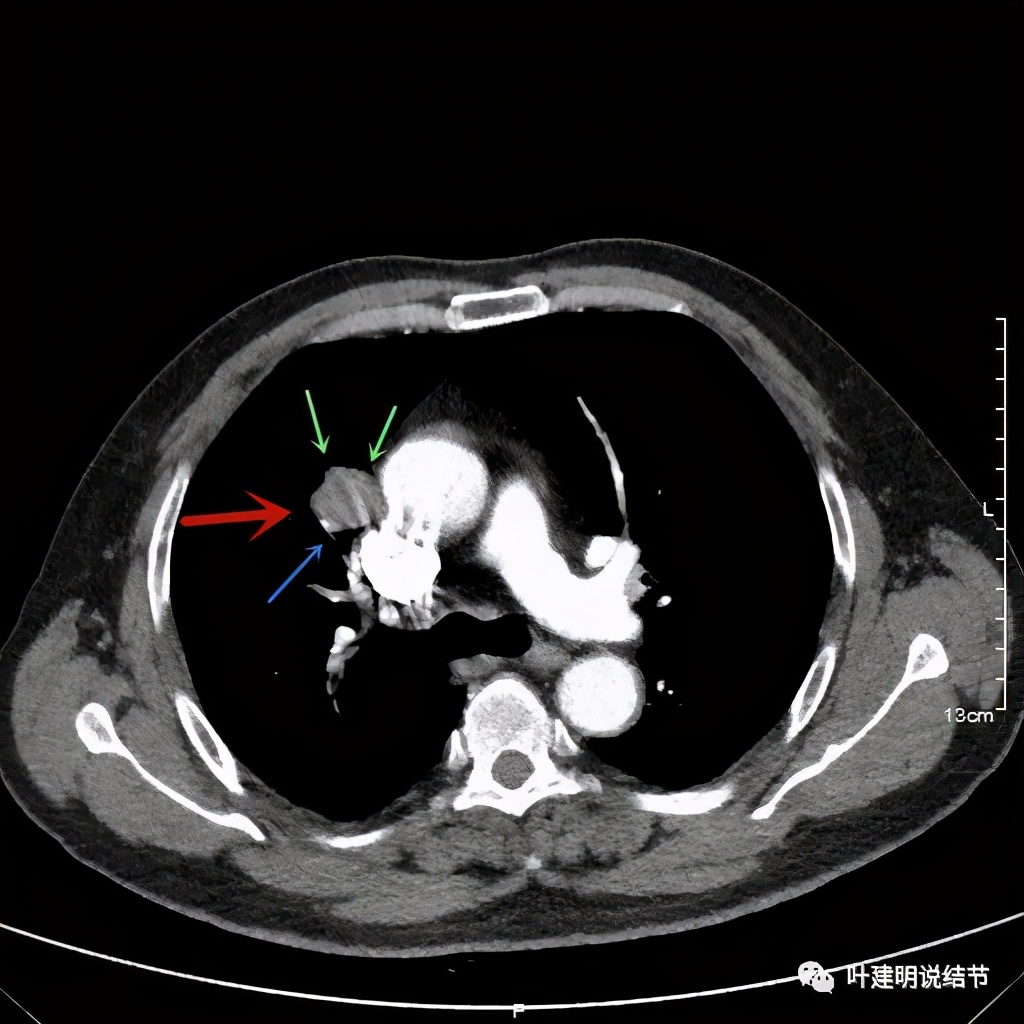
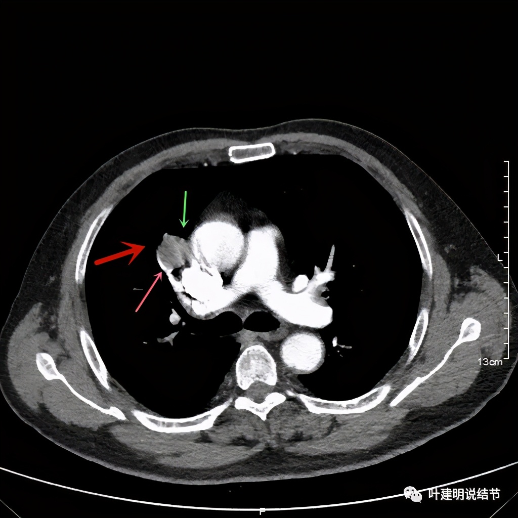
上图示病灶密度不均,但边缘过于光滑(绿色);支气管似有截断(粉色);局部有点状钙化(蓝色)

上图也示病灶密度不均,但边缘过于光滑(绿色);支气管似有截断(粉色);局部有点状钙化(蓝色)

病灶在上图层面似见支气管也是贴壁的。那么增强后又是如何呢?

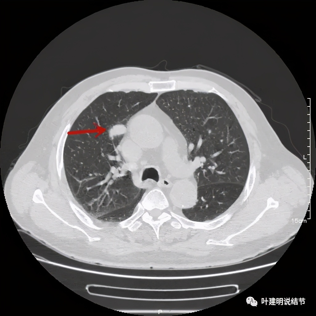
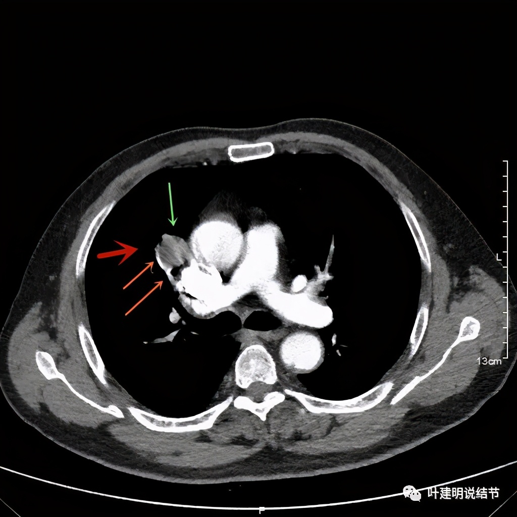
上图示病灶边缘过于光滑(绿色);局部有点状钙化(蓝色)

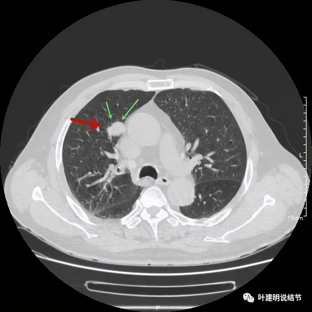
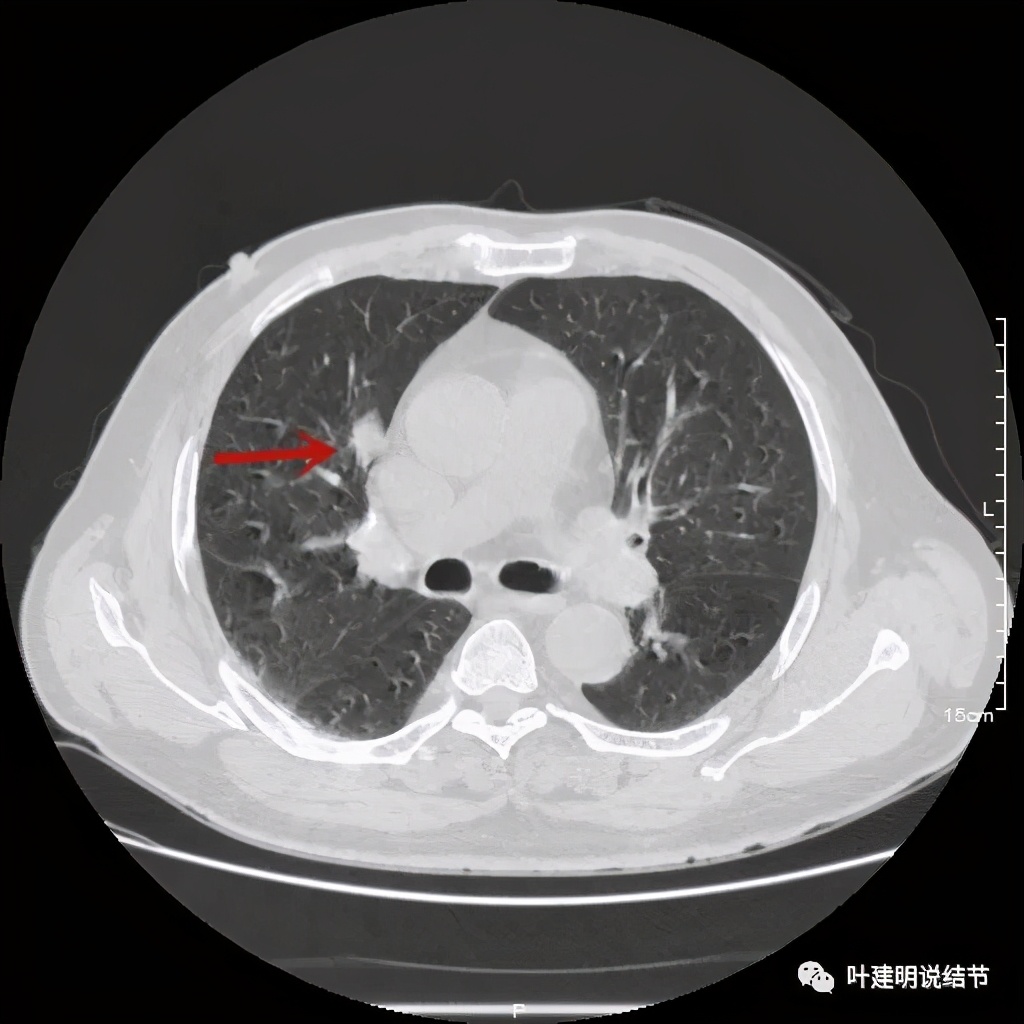
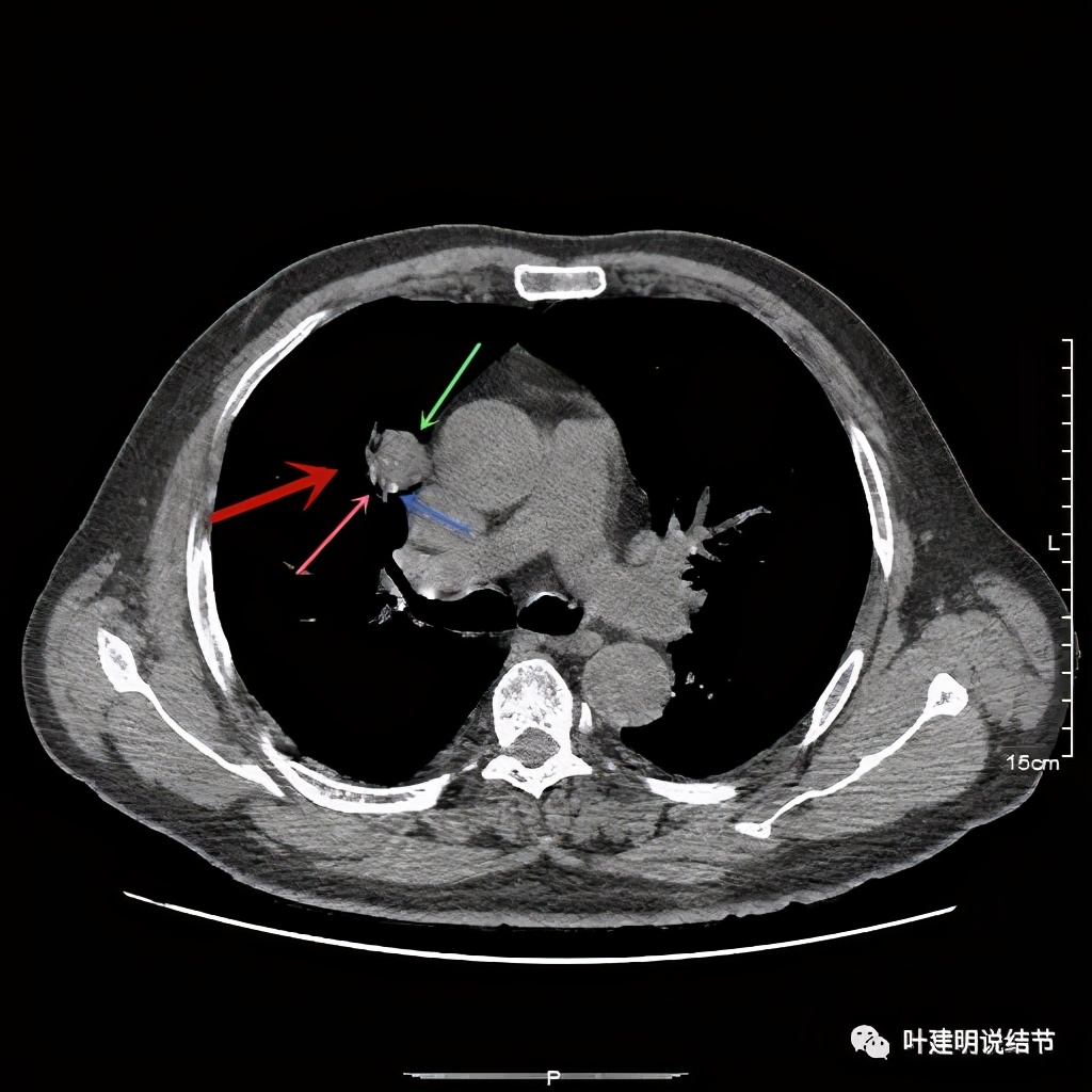
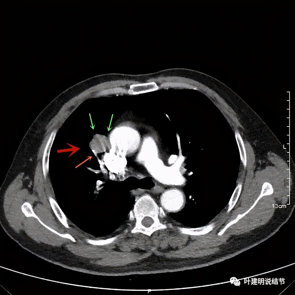
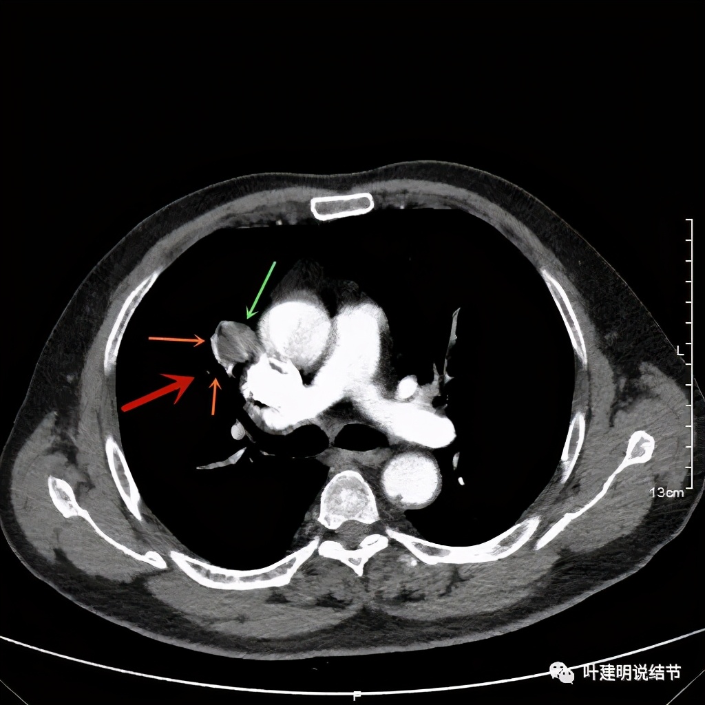
上图示病灶边缘过于光滑(绿色);血管贴边(桔色);

上图示病灶边缘过于光滑(绿色);血管贴边走行(桔色)





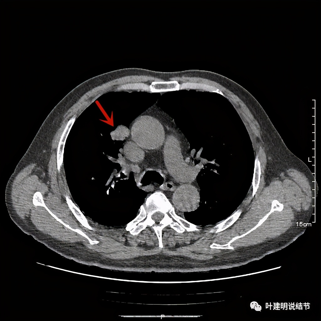
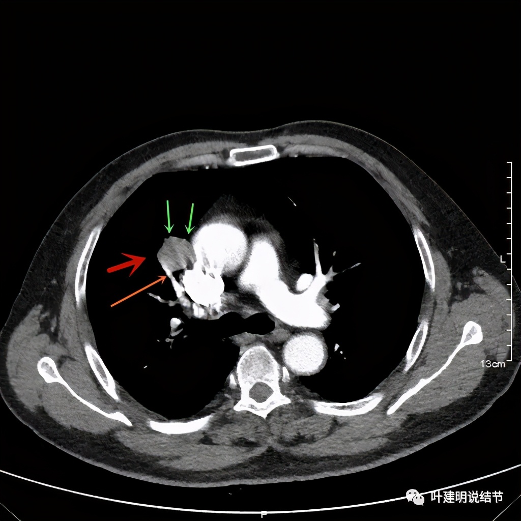
以上几图也示病灶边缘过光(绿色);血管贴边,感觉没受侵犯(桔色)
事前来看,达2.4厘米的不均质实性肿块,增强有轻度不均匀强化,血管贴边走行,支气管疑有截断,恶性不能除外,而且可能性较大。但现在经过手术已已经证实是错构瘤的情况下,我们回头来看,其实有许多不符合恶性的地方:
1、病灶的每个层面,边缘都过于光滑了。肺癌一般到这个大小总要有棘突、分叶、毛刺、牵拉周围胸膜等边缘异常的征象;
2、肿瘤大于2厘米以上,又紧贴血管,多有血管走行异常、受侵或血管进入等征象;
3、支气管截断不确切,若术前能三维重建或支气管镜检查可能能明确是否有支气管受累;而且占位致支气管截断,容易有刺激性咳嗽症状;
4、轻度强化是否可靠?肿瘤达2.4厘米,是否强化会比较明显,因为血供要求较多呀。
肿瘤不能除外,手术是正确及时的,回头看不知道有没有局部楔形切除或剜出肿瘤的可能性?下面是标本的病理:

其实今天分享这个病例与我们以往的错构瘤不太一样,以前的影像如下:

亚厘米大小,密度高,周围型,血管贴边

密度高,周围部位,缺乏膨胀性,无收缩力

密度略不均,但边界甚清,边光峭

周围,边缘非常清,病灶内部有点状高密度,约1厘米许,似有微血管征

密度非常高的结节,边缘非常光滑

周围,边缘非常光滑,缺乏收缩力

高密度,周围,边缘非常光滑,亚厘米

高密度,边缘非常光滑,周围

这个也比较大,但边缘非常光滑,密度相对较为均匀
其实我们发现,包括今天这例,只要是错构瘤,“边缘非常光滑”是每一像都具备的!虽然有的似有支气管截断、有的似有血管征、有的似有分叶,但总的只要是边缘非常光滑的实性占位,就要想到错构瘤的可能,若有点状钙化密度,更是强烈要考虑。错构瘤如何靠近胸膜,其实可以切开一点肺实质,挤一下,肿瘤就会滚出来。
(此处已添加医疗卡片,请到*今条头日**客户端查看)