陈先生,64岁,昨天凌晨发生 脑梗塞 被家人紧急送入医院急救。
昨天陈先生的老伴叙述说,陈先生在睡梦中一直嘟囔着 头疼,并且多次惊醒 ,陈先生睡着之后又因头疼而惊醒, 在一次惊醒后陈先生起身去倒水,返回卧室途中发生了晕倒 ,还好陈先生的老伴及时发现,呼叫120将其送入急救室。

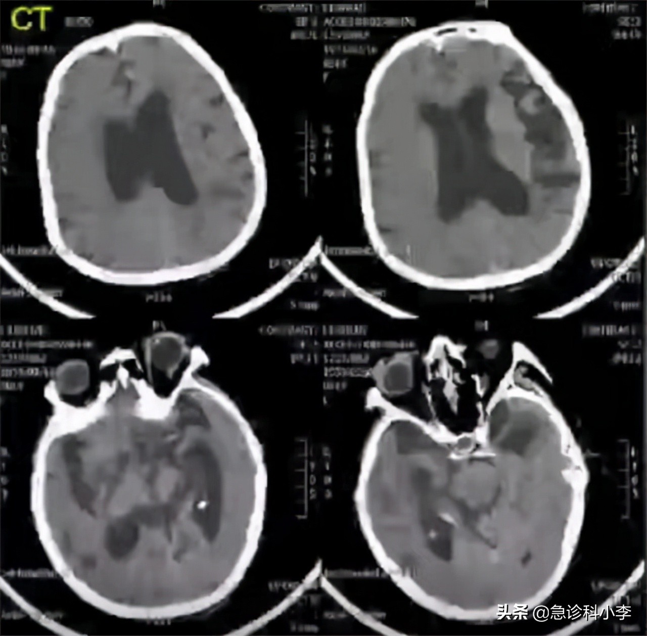
陈先生进入抢救室后,我们给他做了 急诊CT和MRI,排除了脑出血问题,但是发现了脑内多处梗塞灶, 确诊为脑梗死。
通过头颅彩超,我们发现 颅内动脉出现狭窄,颅内血流动力严重不足,确诊为急性脑缺血 ,我们通过静脉 溶栓治疗,疏通脑血管,缓解脑缺血现象和脑梗塞 。

我们询问陈先生的家人得知,陈先生之前并没有发生过脑梗死,但陈先生有十年多的高血压病史,陈先生家人表示, 陈先生最近一段时间睡眠质量不太高,经常性出现梦中惊醒的情况,频繁因为头疼睡不着觉,也会因为睡着后突然头痛而惊醒 。
陈先生向家人说,自己睡醒之后总觉得 一侧的胳膊和大腿很麻木 ,他以为是自己睡觉姿势不对导致的,还发现自己 枕头一侧流了许多口水 ,陈先生都以为是自己的睡觉姿势不对而导致的,自己也没有在意,直到发生晕倒才知道自己有脑梗死。

经过抢救陈先生意识恢复正常,转入普通病房。
通过多次会诊以及与患者的沟通,确定了陈先生的治疗方案, 陈先生是脑梗死合并急性脑缺血,加之陈先生有高血压病史,所以我们选择稳定且安全性较强的药物治疗 ,选择陈先生之前一直吃的降压药治疗高血压,治疗脑梗死的药物以抗血小板药物为主,给予陈先生阿司匹林每日80mg,每日一次。嘱咐陈先生每三个月定期复诊一次,同时要注意饮食和运动。

陈先生发生脑梗死没有什么特别的症状,所有的症状都表现在睡觉时,那么睡觉时发生的这些症状可以预示着脑梗死的发生吗?
脑梗死是什么?

脑梗死是指脑部血液循环受到影响,出现组织或神经坏死病变的现象,导致出现脑功能暂时性障碍。 发生脑梗死时常伴有感觉障碍、运动障碍和平衡障碍。
大脑可分为左脑和右脑,左脑控制右侧肢体,右脑控制左侧肢体,当左脑组织或神经出现问题时,右侧肢体可能会出现瘫痪或麻痹;

大脑中还包括小脑,小脑可控制内分泌和神经系统,小脑控制的部分神经出现问题时,相对应的区域就会出现不同程度的神经传导障碍, 例如当小脑控制的面目神经出现问题时,可能会出现面瘫症状。
除了肢体和神经会出现麻痹状态,大脑控制的语言功能也会出现失能情况,进食吞咽工作也会出现困难,还有最常见的意识障碍,大脑是控制意识的主要功能 ,当大脑出现问题时意识功能会发生障碍,出现失忆、老年痴呆等。

除了这些常见的症状,其实在睡觉时出现异常,也可能是脑梗发生了。上面说的陈先生没有出现以上所说的脑梗塞症状,可是却发生了脑梗塞,这与陈先生睡觉时的三个异常有密切的关系。
医生提醒:睡觉出现3个异常,或是脑梗预警
我们结合脑梗死的常见症状,可以知道脑梗死发生时主要会影响我们的肢体活动和神经系统,这些影响在我们睡觉时也会体现。

1.舌头麻木,睡觉时流口水 。
脑梗死会影响 舌头神经受损 ,舌头部位的神经由于营养缺乏或者是神经传导敏感性下降会导致 舌头出现麻痹的状态 。
舌周围富含丰富的神经,出现舌周围麻痹时,周围神经会受到影响,其中负责分泌唾液的唾液腺和舌下腺会受到传导障碍,导致 唾液腺的正常功能出现障碍,最终出现睡觉时流口水。
我们发生脑梗死时,一些 细微敏感的神经 能够较早地表现出来。

舌周围神经较其他肢体或面部神经敏感性较强,能够及早表现出脑梗死症状。上文提到的陈先生发生了脑梗死,他的主诉当中就包括睡觉时流口水。
所以当我们睡觉时出现舌头发麻,流口水的异常时,要及时去医院筛查是否存在脑梗死。

2.头痛影响睡眠质量。
除了舌周神经较敏感外,机体当中最敏感的神经就是脑周围神经。在我们日常生活当中,过度疲劳常常会出现太阳穴疼痛的情况,这就是脑周围神经异常敏感的一个表现。
发生脑梗死时脑周围神经会受到敏感影响,上面说到的陈先生,他就是出现头痛睡不着觉,睡着之后头痛惊醒症状,这些都是因为脑梗死影响到周围神经受到损伤。

出现的神经性疼痛,神经性疼痛和普通的肌肉疼痛不同,神经性疼痛较为持续,神经疼痛也比普通肌肉疼痛程度要高,俗话说,牙疼起来要命,牙疼就是一种神经受到应激反应。
当我们脑周围神经受到损伤时,周围神经受到应激反应给机体反应疼痛信号,一般这种疼痛信号都是持续性的。 所以我们出现睡着时因头疼惊醒或者是因头痛睡不着的情况时,要去医院筛查是否是由脑梗死诱发的头疼症状。

3.部分肢体麻木。
我们发生脑梗死时是脑动脉发生了梗塞,导致梗塞部分的组织和神经发生了病变。不同脑区域控制着不同的肢体,一般情况下栓塞灶只有一个或两个,所以通常情况下发生脑梗死时只会出现部分肢体麻木。
大脑中包括能控制机体所有神经的中枢神经,当脑动脉梗塞导致组织和中枢神经坏死时,我们通常会出现肢体麻木的症状,中枢神经受损严重时可能会出现瘫痪,半瘫痪现象,这也是发生脑梗死时抢救不及时会出现瘫痪的主要原因。
上面说的陈先生就是发生了 单侧肢体麻木的症状 ,本来他以为只是 睡觉姿势不对 导致的,没想到是脑梗死的预警信号。所以我们要注意观察机体给我们的信号,及时去医院进行筛查,做到早预防。
怎样预防脑梗死发生和再发生?

1.积极治疗原发性疾病 ,尤其是血管类疾病。血管类疾病包括高血压,高血脂,糖尿病。血压过高会压迫损伤血管壁,血脂过高会形成血脂斑块堵塞血管,影响血流动力,糖尿病也是一样的道理,血糖过高易形成斑块,堵塞血管,易造成栓塞灶。
以上血管类原发疾病易造成脑动脉血管梗塞,增加脑梗死发生风险。所以我们需要积极治疗这些疾病,上面说到的陈先生就有十年多的高血压病史,所以我们在治疗和预防脑梗死时要注意控制血压,以免血压过高增加危险程度。

2.戒掉不良习惯。 吸烟,喝酒,熬夜这些都会增加脑梗死的发生风险,香烟中含有大量导致血管硬化的物质,尼古丁有使血压升高和血管痉挛的作用。饮酒后会影响正常的泵血功能,导致血流动力异常,易发生脑动脉梗塞。
熬夜会使大脑长期处于活跃状态下,易导致脑细胞损伤影响脑血管,增加风险程度。为了预防脑梗死发生和再发生,我们要戒掉这些不良习惯。

3.保持健康的体重,规律运动。 脂肪过高会影响脑动脉梗塞,肥胖人群更容易患上心血管疾病,增加心血管疾病风险会间接增加脑梗死风险,所以预防脑梗死发生需要保持健康的体重。
规律运动有利于增强肌肉的耐受力,提高我们机体的抵抗力,运动有利于血管保持弹性,血管弹性增加能够起到预防脑梗塞的作用。

4.服用抗血小板药物进行预防性治疗 ,不管是脑梗塞还是冠状动脉狭窄,我们都会用抗血小板的药物进行预防性治疗,抗血小板的药物能够使血液浓度下降,起到预防血管梗塞的作用。
已经发生过脑梗死的患者应该在医生的指导下长期服用抗血小板药物,进行预防性治疗。抗血小板药物以阿司匹林为主要药物。

5.保持健康营养的饮食 ,对于预防脑梗塞也有不错的影响。我们要以清淡饮食为主,减少辛辣刺激的食物,少吃或不吃高脂肪和高胆固醇食物,多吃蔬菜水果。 预防脑梗死发生最重要的是保证心态平和,以一种健康积极向上的心态,正确对待脑梗死。

睡觉时,我们出现舌头发麻爱流口水,肢体麻木,头晕头疼这三个异常时,我们要及时去医院筛查是否是脑梗死,上文说到的陈先生就是睡觉时出现了这三个异常,后来发生了脑梗死,如果我们睡觉时也出现了这三个异常一定要及时去医院筛查,做到早发现,早预防。
预防脑梗死关键在于积 极治疗原发疾病、戒掉不良习惯、保持健康体重、规律运动和饮食、保持良好健康的心态 、在医生的指导下服用抗血小板药物进行预防性治疗,遵循这五个预防原则能够很好的预防脑梗死发生。