退行性膝关节炎
退行性膝关节炎一般指膝关节骨性关节炎。
实际并非炎症,主要为退行性变,属关节提前老化,特别是关节软骨的老化。骨性关节炎代表着关节的衰老,故又称之为老年性关节炎。

退行性膝关节炎病因
中医则认为产生本病的原因:因慢性劳损、受寒或轻微外伤所致;由于年老体弱,肝肾亏损,气血不足而致筋骨失养,使筋骨疲软,步行不便。
西医根据其病因的不同分为:
原发性退行性膝关节炎--多与遗传和体质有关,多见于肥胖的老年人。
继发性退行性膝关节炎--(1)先天性发育异常。(2)长期机械性刺激。(3)损伤。(4)关节疾病使软骨损伤。(5)医源性因素。

退行性膝关节炎临床表现
1、疼痛多以钝痛为主,疼痛同时常伴沉重感、酸胀感、瘀滞感及活动不适。
2、特点是初起疼痛为阵发性,后为持续性,膝关节活动时疼痛加重,尤以上下楼梯疼痛明显。
3、疼痛发生多与气温、气压、环境因素及情绪等有关。
4、在劳累、夜间、天气变换、秋冬时加重。
活动受限
1、膝关节活动受限,不耐久行久站,跑、跳、跪、蹲时尤为明显,甚则跛行。
2、关节活动时可有弹响摩擦音,行走不利、屈伸功能障碍。
体征
1、髌骨及关节周围有压痛
2、有时可触及关节摩擦感
3、急性发作时,可有膝关节肿胀,股四头肌痉挛。

退行性膝关节炎辅助检查
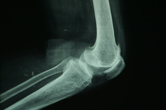
X片检查
实验室检查:1、关节液为非炎性,白细胞一般不超过1000个;2、血沉(ESR)正常;3、抗“O”及类风湿因子阴性

退行性膝关节炎鉴别诊断
(与以下疾病相鉴别)
1、风湿及类风湿性关节炎。
2、膝关节严重创伤如骨折、半月板损伤、十字韧带或侧副韧带损伤等。
3、下肢畸形如膝内外翻。
4、关节感染、化脓性关节炎。
5、关节结核。

退行性膝关节炎治疗
药物治疗
目的是缓解疼痛,其次是阻止关节炎的进一步发展全身性,关节表面的外用药和腔内注射用药。
物理治疗
扩张血管,改善局部血液循环,解除肌肉和血管的痉挛,消除血肿,减轻粘连,调节植物神经功能,促进神经和肌肉功能的恢复.
人工关节置换术
对于骨性关节炎的晚期患者,保守及关节镜手术无效,膝关节疼痛,活动受限,生活质量严重下降
中医治疗
补益肝肾、强筋壮骨、祛风散寒、除湿活血、通络止痛
中药薰药 ——温筋通络、行气活血、祛湿逐寒,起到消肿散结、回阳救逆的作用。中药熏洗疗法是利用中药进行熏蒸、浸浴患处的治疗方法,它借助药力和热力,通过皮肤而作用于机体,加速血液循环,缓解疼痛,从而达到治愈疾病目的。
•温经洗药——主要成份:吴茱萸、桂枝、丁香等。
功能主治:温经散寒,祛风止痛,主治风寒湿邪引起的关节酸痛
•中药熏蒸 ——中药熏蒸选择药物约50g放入盆中,加入约2000ml~3000ml水,置于电磁炉上煮沸,此时把电磁炉调到中档(约120℃~130℃,或根据患者对温热的耐受程度来调节),患者取卧位,将患肢置于治疗床开口处,放置铁架,覆盖毛巾,利用蒸气熏蒸约30分钟。
•中药熏洗——中药熏洗选择药物约10g放入盆中,加入约1000ml热水(约70℃~80℃)溶解,患者取坐位,将患肢置于盆上,覆盖毛巾,利用蒸气熏蒸约20分钟,待药液温度降至50℃左右时,把患肢浸泡在药液中约20分钟~30分钟。注意事项:严防灼伤、烫伤,有皮肤破损者禁用,有皮肤感觉障碍者慎用,过饥过饱者暂勿熏蒸。
中药穴位涂擦——行血散瘀止痛、助阳活血化瘀。以麝桂油、清香止痛霜或渭良伤科油按摩膝关节周围穴位,柔按穴位力度由轻到重,每穴3-5分钟。
艾灸——温通经脉、调和气血、协调阴阳、扶正祛邪,达到治疗疾病、防病保健、养生之功效。艾灸是借助艾条燃烧过程中产生的热力穿透皮肤,达到通经活络、行气活血、祛湿逐寒、防病治病的目的。
•注意事项
1、严防灼伤、烫伤,施灸后局部皮肤出现微红灼热,属于正常现象。
2、施灸过程中及时将艾灰弹入弯盘,防止烧伤皮肤。
3、出现晕灸,须立即停灸。
4、过饥过饱者不宜施灸。患者在精神紧张、大汗后、劳累后也不适宜施灸。
中医外用药——清热解毒、消肿止痛、温经散寒,活血止痛、祛风除湿。
•伤科黄水纱 - (急性期)伤肢肿胀明显,肤温高
•玉龙散 -- (寒湿型)喜温怕冷
•活血散 --(气滞血瘀型) 怕冷怕风

退行性膝关节炎的护理
病人宣教——开展患者教育,普及骨性关节炎的病因、预防及治疗方面的知识、改变不良的生活方式和运动形式,避免加重关节退变的活动
功能锻炼——增强股四头肌肌力,促进血液循环,减轻关节肿胀和疼痛,增加关节的稳定性,改善关节的活动功能。
肌力训练——股四头肌等张收缩训练(直腿抬高锻炼法)和股四头肌静力性收缩练习
关节活动训练——踝泵运动、膝关节屈伸活动法 、踏空自行车练习
饮食调护——均衡饮食、补肾养肝、强筋壮骨、健脾益肾为主
药膳调理辩证分型——补肾养肝、强筋壮骨、健脾益肾为主。
•肾阳亏虚型:(腰痛、畏寒、四肢冰冷、夜尿多) 巴戟猪腰汤。
•肝肾阴虚型:(眼睛干涩、视力下降、腰痛、盗汗) 枸杞子、熟地黄、甲鱼或(龟)汤。
•脾肾阳虚型:(畏寒、腰痛 、纳差、便溏)巴戟、淮山、白术、生姜煲猪横利。
合 理饮食——多吃含蛋白质、钙质、胶原蛋白、异黄酮的食物。
心理护理——帮助患者正确的认识疾病,清除恐惧,焦虑等心理

退行性膝关节炎的日常保健
合适的鞋——平时应穿合适的鞋(不宜穿平底鞋),最好穿松软、鞋底有弹性的鞋。
控制体重——防止加重膝关节的负担一旦身体超重,就要积极减肥
居住环境——要避免阴冷、潮湿,室内应保持干燥、温暖,床不要摆放在通风口处。
注意保暖——防治该病的关键,膝关节是“皮包骨头”,缺少肌肉和脂肪的保护,保暖能力差,容易受凉受寒。 平时可以穿棉制的护膝或护腿。
坚持泡脚——使局部血管扩张充血,加速血液循环,不仅可以缓解疼痛,而且还能促进睡眠
中医传统武术——五禽戏、八段锦、易筋经
日常活动——散步、慢跑、骑车、水中行走或游泳(适宜做的运动)
爬山,爬楼梯,长距离行走、下蹲、手提重物(不适宜做的运动)

内容来源佛山市中医院
图片来源互联网
如有侵权请联系删除