牙龈相当于牙齿的肌肉,牙龈强壮程度决定了牙齿是否有力和牢固,它紧紧包裹牙齿根部,是牙齿生命的土壤。从牙齿结构的剖面图可以看到,牙龈覆盖在整个牙槽骨之上,而牙齿则是完全扎根于牙龈之中。所以说,牙龈健康与否,关系着牙齿的根基牢固与否,它对于牙齿的重要性是不言而喻的。
健康牙龈对于牙齿的作用,首先是牢固牙齿。健康的牙龈同时又像一道屏障,紧紧包裹住牙根,防止牙石、酸性物质的侵蚀;除此之外,健康的牙龈还有一个重要作用,就是防止劣质牙刷、咀嚼咬食等日常动作对牙根的硬磨损。
现在人们已经不仅仅满足于漂亮整齐的牙齿,健康美观的牙龈,及“粉红美学”和“红白美学”也越来越被人们关注。满口皓齿如果没有健康的牙龈衬托,也会大打折扣。

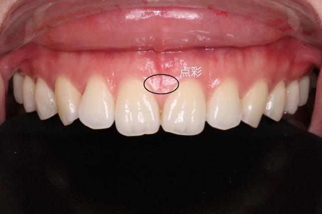
正常的健康牙龈应该是粉红色质地坚韧可清晰见到点彩的。(点彩:正常情况下,牙龈近牙齿边缘处表面均匀分布着密集的细小凹陷且呈现一定光泽。是与橘子皮有点相似的)

大家日常牙龈自我检测可以从以下五个方面着手:1.颜色 2.形态 3.质地 4.出血情况 5.点彩。
那么下面我们就逐个介绍一下具体的参考标准:
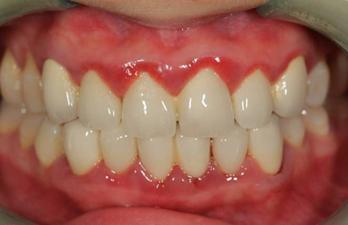
1. 牙龈颜色:正常牙龈是粉红色的,但皮肤色素深的人牙龈颜色也是稍微深一点的,牙龈也是因人而异的。鲜红色牙龈常为早期或急性炎症的表现;紫红或暗红色牙龈表明有淤血,炎症已慢慢转为慢性。

2. 牙龈形态:牙龈炎症时,局部可出现水肿。当炎症进一步发展,可表现为牙龈和龈乳头退缩。健康的牙龈乳头是呈三角形充满两颗牙齿的间隙的。 另外牙龈肥厚,牙齿颈部牙龈增大凸起,及龈裂的形成都是牙龈不健康的表现。

3. 牙龈质地:正常牙龈组织中的纤维是致密而又弹性的,紧贴在牙齿和牙槽骨上。不健康的牙龈质地松软,弹性下降。另外长期慢性炎症的刺激牙龈也会有明显的纤维化,质地坚实。

4. 牙龈出血情况:这是判断牙龈炎症的重要依据。牙龈炎症时,龈沟内上皮产生溃疡,在日常生活的说话、进食或刷牙时,龈沟内毛细血管易破裂出血,有时甚至会在没有给予刺激的情况下自发出血。这便是牙龈给人体最重要的炎症警示。

5. 点彩消失:牙龈炎症时,局部水肿使点彩消失。但个体差异性大,不可单凭点彩判断牙龈炎症情况。

另外在正畸中,孕期,青少年,生活中多烟酒槟榔等刺激物的人,这些特殊人群,也易有牙龈炎症,要更加密切关注口腔健康。
以上就是牙龈健康自我检查的5个方面,大家可以初步自我评估一下牙龈的健康情况(小朋友也会存在牙龈不健康的情况)。但具体的检查还是要找专业的牙医进行,每年1-2次的洗牙也是很重要的。