一、QRS低振幅的定义
1.肢体导联:不超过0.5mV
2.胸前导联:不超过1.0mV

二、QRS波振幅变低的常见原因
1.心脏因素
(1)心肌变性:弥漫心肌损害→QRS低振幅变低
1)心肌淀粉样变性
1°:概述
A:淀粉样变性系指组织内积聚大量具糖蛋白性质的纤维物质,图为血清蛋白电泳,可见 M蛋白 。
B:当存在心肌淀粉样变性时,肥厚室壁是由 无电活动的淀粉样物质 组成的,故弥漫的心肌损害使 心室除极向量减弱 ,心电图表现为 QRS波形低电压,ST-T段改变

2°:一个案例
A:病史: 50岁男性,主因 “活动后气短,夜间阵发性呼吸困难2个月” 入院,既往体健, 入院查血压、血糖、血脂无异常 。
B:心电图示:右束支传导阻滞 , 肢体导联 及 胸前导联低电压ST-T低平

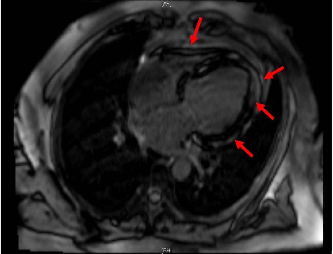
C:心脏彩超: 左心房、右心房增大, 左室射血分数(LVEF)40% ,左室壁厚度14mm,心肌回声不均匀,可见 细颗粒状回声 , 左右心室壁运动均减弱
D:磁共振成像:心脏体积增大,以心房为著 , 左心室心肌壁增厚
E:行心内膜心肌活检:心内膜下可见均匀红染样物沉积 , 刚果红染色阳性 ,符合 淀粉样变
F:行腹壁皮肤活检: 示皮下脂肪小叶间血管少量粉染物质。组化染色结果: 刚果红染色(+) ,考虑为 淀粉样变性
2)心肌脂肪样变性或脂肪浸润
1°:概述
A:细胞内甘油三酯(TG)增多或氧化酶功能降低,导致 异常脂肪蓄积 ,形成 脂滴 ,即 心肌细胞脂肪变性 ,其常见原因为 局部心肌缺血缺氧
B:如缺血缺氧持续存在, 心肌细胞内脂肪蓄积将逐渐增多 ,严重的脂肪变性可影响心肌的功能,造成导联低电压

2°:一个病例
A:病史:25岁男性,主因 活动后胸闷、心悸3天 入院,既往体健
B:心电图示 肢体导联及V5、V6导联低电压 , 广泛ST段抬高

C:冠脉造影: 阴性
D:心脏彩超:室间隔及左、右室壁厚度正常, 左室心尖部显示欠佳,可见不规则回声浸润心肌,分界不清 ,局部室壁运动大致正常
E:心脏磁共振:左室体积增大,横径约66mm, 左室心尖部心肌内可见分叶状6.0*3.7cm膨胀性生长的肿块影 ,并向 心外脂肪浸润 ,病灶HASTE序列高信号
3)心肌纤维化
1°:概述: 心肌纤维化使心脏间质发生炎症细胞浸润, 纤维组织增生 ,造成心脏收缩和舒张功能障碍以及对心脏电兴奋的干扰,弥漫的心肌损害破坏了心脏复极化,造成QRS波形低电压
2°:一个病例
A:病史: 55岁男性,主因 “发作性气短5月,加重1月” 入院,伴 腹胀、纳差、尿少 及 双下肢浮肿 。既往体健
B:心电图:窦性心律不齐,肢体导联低电压

3°:心脏彩超: 左室舒张末内径70mm,收缩末内径50mm,射血分数33%。左心及左房增大,左心功能明显减低, 室壁运动欠协调,运动幅度及收缩增厚率弥漫性减低 。
4°:磁共振: 延迟强化示 左室心肌弥漫性条片状延迟强化影 ,大部分病灶位于心肌中层,前壁及间隔壁为著。

(2)心肌坏死:心肌细胞数目减少→QRS振幅变低
1)概述

急性心肌梗死后,部分心肌坏死,坏死的心肌细胞不能复极、亦不能产生动作电流,失去电活动能力,故其 综合心电向量背离梗死区域 ,其 正向波减少或消失 ,导致 梗死后相关区域QRS振幅降低
2)一个病例
A:病史:77岁女性,既往陈旧性下壁心肌梗死病史
B:心电图: 窦性心律,V2-V6导联T波倒置,肢体导联低电压

(3)心包炎症:电流“短路”体表电流减少→QRS振幅变低

1)81岁男性,主因“ 阵发性心慌、憋气5月余,再发2月 ”入院
2)患者5月*房行**颤射频消融术院
3)2月前再发上述症状,憋气症状加重,就诊于外院,检查提示 胸水 ,共抽胸水3天,各抽出1000ml、700ml和300ml
4)心脏彩超:心包腔内微量积液,心包脏、壁层增厚,以右室后壁、侧壁、左室侧壁及心尖部为主, 增厚心包回声增强
5)考虑 心包缩窄性改变
(4)心包积液:心脏电活动被液体隔绝→QRS振幅变低
1)63岁男性,主因 “头晕伴心悸1天” 入院,既往有 高血压、冠心病 病史。
2)入院查体: 血压82/45mmHg,心率110次/分
3)入院心电图: 全部导联低电压,尤其是肢体导联,同时可见心前区导联电交替

4)心脏彩超:剑突下、胸骨旁短轴、胸骨旁长轴及四腔心切面均提示 心包积液 。

5)诊断: 心包积液,心脏压塞
2.非心脏因素
(1)肺部疾病(例如:气胸、COPD、胸腔积液等)
1)气胸
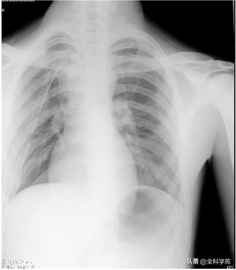
22岁患者,心电图示 肢体导联、V5-V6导联低电压

胸腔气体增加,心脏受压而移位,由于气体的电导力比正常肺组织低,传导阻力增加,从而使QRS电压明显降低
胸片: 胸腔闭式引流状态,右侧气胸较前消失

行胸腔闭式引流术抽出积气后,复测心电图可见 肢体导联振幅较前明显增高
2)COPD
1)65岁男性, 因劳力性呼吸困难加重伴胸闷、喘息和咳嗽入院 ,既往吸烟史,诊断COPD
2)COPD为具有气流阻塞特征的慢性支气管炎和(或)肺气肿,由于 过度充气 ,电导力降低,传导阻力增加,导致 导联低电压

3)胸腔积液
A:在中等及大量胸腔积液情况下,纵膈有不同程度偏移,积液可使 心肌激动产生的电流“短路” ,传至体表有 电流减少 ,出现 低电压改变
B:本图患者中等量左侧胸腔积液,心电图特征: 心率102次/分,V5、V6低电压,I、aVL电压正常

(2)全身因素(例如:严重营养不良等)
1)82岁男性,身高170cm,体重45kg,BMI 15.57kg/m2
B)营养不良时体重下降,皮下脂肪减少,心肌细胞萎缩,心肌收缩力减弱,心搏出量少,心电图示低电压

(3)其它因素(例如:皮肤干燥等)
1)患者老年女性, 皮肤干燥,电传导减弱 ,行心电图检查可见肢体导联低电压

2) 予导电糊涂抹后复测心电图可见导联振幅正常

三、QRS低振幅的临床意义
1.为相关心脏和心外疾患的临床诊断提供依据
2.当 QRS振幅变低和影像学检查证据(心室肥厚)相悖时,提示诊断线索

3.本例的 QRS低振幅 和 心室肥厚 的程度相悖

4.最终诊断: 心肌淀粉样变性
————————