54岁男性,右足疼痛半月余。患者半月前无明显诱因突发右下肢疼痛,行走后加重,休息减轻。超声提示腹主动脉左髂动脉多发狭窄闭塞,右髂动静脉闭塞。CTA




入院后,结合病史,考虑有血栓形成的可能性,行全身静脉溶栓,一周后复查CT,右侧髂总动脉出现一段管腔

对比正常解剖模式图,我们可以发现:右侧髂总髂内髂外股总动脉未显影,股深动脉未显影,右侧股浅动脉起始段未见显影,考虑有血栓闭塞的可能。

术前经讨论,考虑股深动脉的重要性,决定开刀取栓基础上对残余狭窄介入治疗。
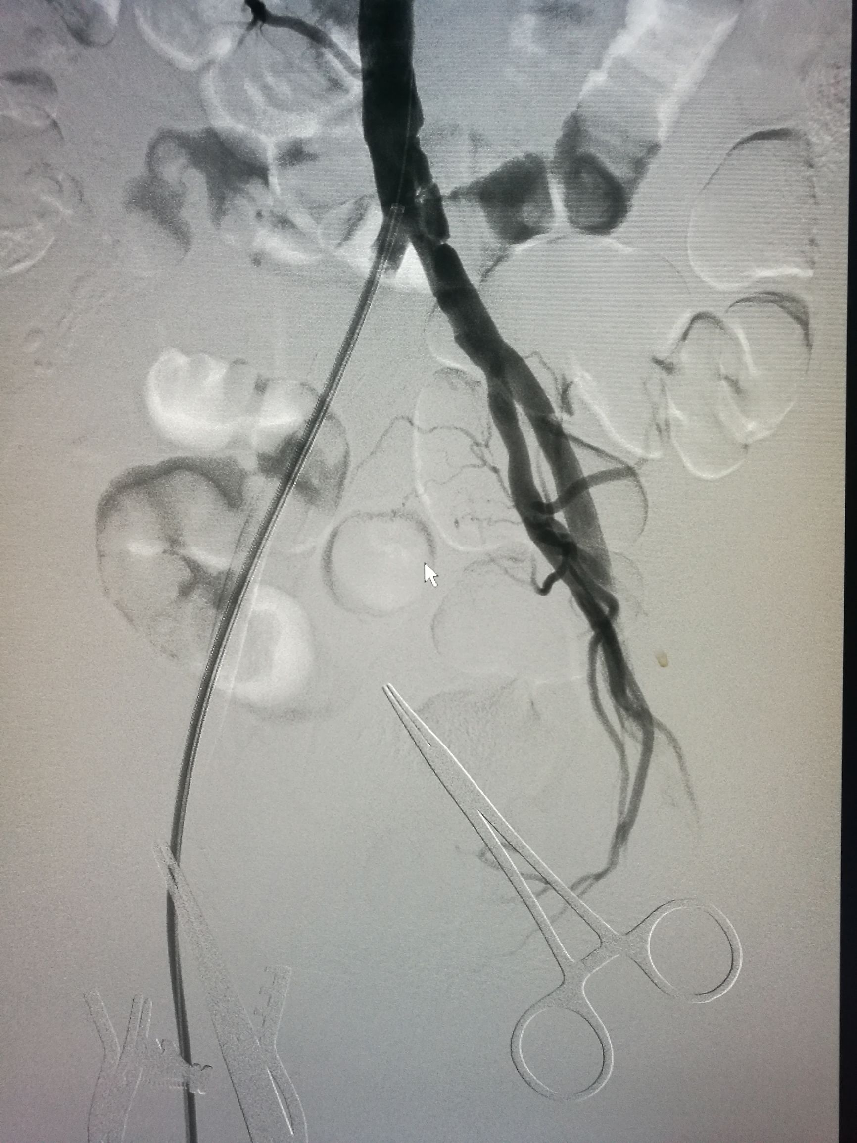
患者平卧位,常规消毒铺单,局麻下切开显露右侧股总动脉和股深动脉、股浅动脉。全身肝素化后,切开股动脉,对股浅动脉取栓后远侧回血好,对股深动脉反复取栓后出现汹涌回血。近端取栓后用导丝导管通过闭塞段到达腹主动脉下段,造影证实在真腔,用5*80mm球囊扩张后造影,髂动脉内有部分充盈缺损。植入巴德Fluency8*100和8*60覆膜支架后用7*60球囊扩张,造影管腔光滑(如图)。缝合动脉切口,关闭伤口,术毕。




术后右侧胫后动脉可以触及清晰搏动。