说起平衡车,
大家应该都很熟悉吧!
在各小区也常见儿童驾驶玩耍。
殊不知,平衡车对于儿童而言,
潜在危险很大,
家长们一定要注意!

多名儿童因骑玩平衡车受伤
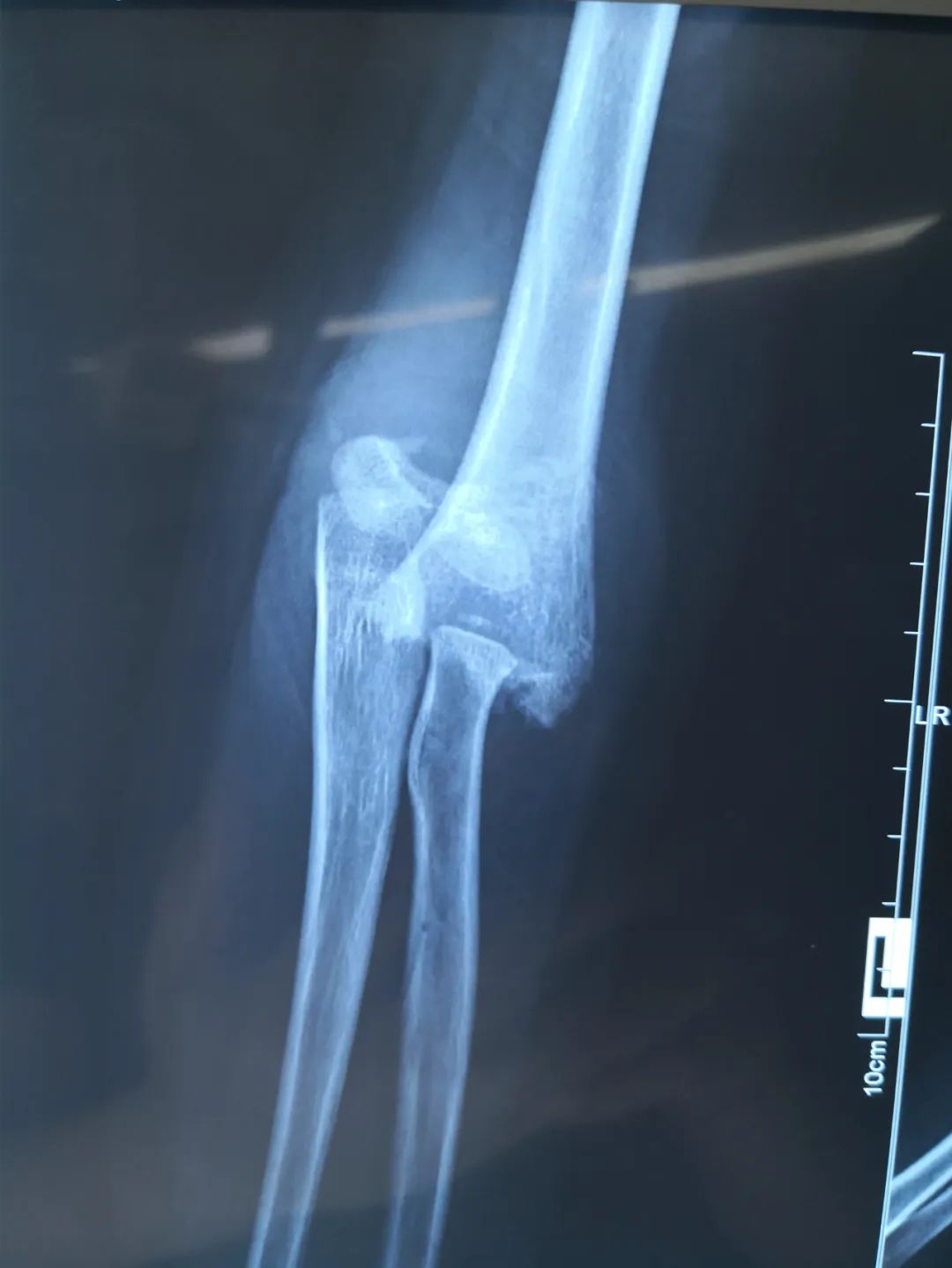
近日,淄博市第七人民医院连续接诊4例因使用平衡车摔伤的儿童,其中1例受伤较重,右侧胳膊骨折伴桡神经损伤。另2例骨折给予手法复位闭合穿针内固定。还有1例皮外伤给予清创包扎后离院。

8岁童童(化名)的母亲回忆称,孩子摔倒时,整个身体右侧着地,摔伤后说胳膊不能动,赶紧带孩子前往医院治疗,“买回来平衡车,孩子就嚷嚷着也要骑,为了安全,我们也给他买了护肘护膝和头盔,后来孩子熟练了,也就不再戴这些防护用具,而且也只局限于晚上在小区散步时让他玩。”

刘法银医生介绍称,经检查,童童诊断为右侧肱骨髁上骨折,软组织挫伤重,伴桡神经损伤,给予‘桡神经探查术+切开复位内固定术’。

“对于另外2例骨折患儿,因未造成神经损伤,给予C臂透视下手法复位闭合穿针内固定手术,不用切口,创伤小,恢复快,术后四周门诊拔出钢钉,免除二次手术取内固定。”刘医生说道。

专家提醒
专家提醒, 日常生活中,像扭扭车、滑板车、平衡车、独轮车等等这些有“速度”感的玩具,如今已成为多数少年儿童的时尚用品。但使用不当或意外摔倒,就可能对孩子身体带来不小的伤害。一旦意外摔伤,家长们一定不要惊慌和急躁,首先要检查孩子全身的情况,比如呼吸、心跳,如怀疑有骨折,就要尽量避免搬动。“如果是一般的损伤,来医院前可临时处理一下。有的明显看着骨头都歪了,可以用三角巾吊带临时固定,及时到医院诊治,不要再增加二次损伤。如果是一般皮外轻伤,就需要冷敷,伤口较深的话最好注射破伤风疫苗,并到医院进行清创和缝合。一定要根据孩子状态,现场查看受伤情况,并迅速前往医院进行全面检查。”
家长们千万不要放松对孩子的监管,除上述意外受伤情况外,还需要注意以下几点:
一、遵守交通规则,远离机动车辆。未满12岁,请不要骑车上路,尽量在小区及公园等无机动车辆的地方骑行;
二、挑选大品牌、质量过硬的儿童平衡车、滑板车等;
三、玩耍时一定佩戴专业护具及头盔;
四、车上不挂过多的装饰、凸起物;衣服上长的带子要剪掉,穿不系鞋带的平底鞋、不要带发卡等尖锐物品,以避免带子卡到车轮下或发卡扎到孩子。
五、平衡车、滑板车等因其轱辘小、底盘低,比较适合平坦的城市路况,不适合沙石、草地、微小沟坎等较复杂路况,而且要在确保安全的前提下玩耍。

来源:淄博市第七人民医院
责任编辑:文学彩 审核:李超 校对:孙双