
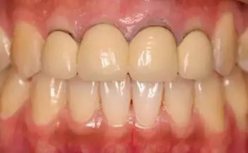
牙冠边缘为何会变黑?
牙冠周围变黑则可能是牙肉萎缩,或者是牙材的金属成分游离造成染色。牙肉萎缩和口腔健康息息相关,要马上处理;金属游离造成的染色,属于美观问题,则视情况处理。
牙肉萎缩会让金属烤瓷牙冠内部的金属牙材露出来,所以看起来黑黑的。造成牙肉萎缩的原因是牙周病或是刷牙方法不正确,天生牙龈较薄的人牙龈也较容易萎缩。

烤瓷牙材料选择不当如果是生物相容性差的材料,容易对周围组织产生不良刺激,然后出现烤瓷牙过敏、腐蚀、金属离子渗出等现象,从而可能产生牙龈炎、牙周炎、龈缘黑线、口腔异味等。
无法抵挡低价诱惑
普通烤瓷牙价格相对较低,目前在我国应用较多。但是,这种烤瓷牙存在以下缺点:边缘密合性差;与人体的生物相容性差,部分患者配戴一段时间后颈缘处的牙龈组织会出现“黑线”,在国外甚至还有此类烤瓷牙引发的过敏反应的病历报道再者,所以临床上较容易出现崩瓷现象。

烤瓷牙一般使用3—5年便开始出现各种症状,如崩瓷、失真透光、色泽欠佳、脱落、咀嚼无力、牙龈出血、牙龈变色、牙周病变等。以上各种情况均属于烤瓷牙失败,其中牙冠边缘出现黑线是非常常见的情况,对于这种情况,应尽早修复,避免二次伤害。
急救措施
1
保住牙根
若进行烤瓷修复的牙齿已出现松动、发炎症状,需立即拍片检查,确认牙根健康状态。


消除牙龈黑线,阻止牙龈萎缩
烤瓷修复牙冠边缘与牙龈密合程度是判断烤瓷牙是否成功最重要的指标,密合不佳则会使细菌进行牙冠内,导致牙齿发炎、牙龈萎缩、牙龈发黑等。
2


3
冠体材料更换
根据自身情况,尽可能选择中等价格偏上、对身体无害且组织相容性好的材质,建议选择全瓷或仿生材质,最大限度的避免选材不当造成的烤瓷修复失败。


牙周护理
烤瓷牙失败者的牙周都会出现一定程度的病变,需先进行牙周护理确保牙齿的基本健康。



