急诊晚班,郑医生当班。
每到下班点后,是急诊科最忙的时刻。
晚上7点多,120急救车呼啸而来,送来一位因车祸头部外伤的老年患者。一位年轻的姑娘紧紧地跟在后面,到达急诊门诊的时候已经哭得六神无主,更不谈挂号了。

急诊
郑医生赶紧上前查看,患者右侧眉弓上方,一大约10cm的伤口,患者神智还算清楚,自己用毛巾压住伤口,但是还是止不住不断外渗的鲜血。
好在除了这处外伤,其他均未发现异常。
郑医生检查完了后,赶紧让年轻女子去挂号,自己则推着老人进了清创室。
郑医生熟练地打开缝合包,问护士借了支利多卡因,快速地缝合完毕。这时年轻女子挂号也挂好了,郑医生结果挂号条,手脚麻利地开好了缝合、清创、利多卡因、头颅CT等医嘱。并告诉女子,药房拿了利多卡因后要还给护士。
忙好这一切,年轻女子就推着老人去做CT了。郑医生则坐下来处理后面的病人。
过了大概半个小时,郑医生想起了这个患者,心想CT应该也做好了,于是打开影像PACS系统(一种影像归档和通信系统,放射科拍了片子,医生就能在自己电脑看到),发现影像科已经出具了临时报告(夜班放射科都是临时报告),提示眼眶眉弓骨折可能,余未见异常。
郑医生心想:“也就是一个简单的头部外伤,缝合了伤口,观察一下吧!”

眉弓上方外伤缝合
于是就走到老人面前,跟年轻女家属说了一下:“目前来看除了头部外伤,需要打一针破伤风,吃一点消炎药预防感染,其他没有什么问题。”
于是医生开了一支破伤风和一些口服预防感染的消炎药,告诉患者及家属去输液室等待皮试和注射破伤风。
交代完,郑医生又在忙碌其他病人了。
又过了半个小时,患者及家属返回急诊科。家属找到郑医生,问到:“破伤风也打过了,现在还要干嘛?”
郑医生就说到:“患者目前未见脑出血,可回家休息,如果出现恶心呕吐头痛头晕等症状,要及时到医院来。但是现在脑子里没出血不代表就没事!”
郑医生着重强调了最后一句。
年轻的女家属迟疑了一下,显然对老人病情有点不放心,然后请求似得问到:“我们住得比较远,能留院观察一下吗?”
郑医生一听,觉得女孩的要求一点也不过分,于是拿起电话,询问了留观室还有没有病床,得到了否定的答复。
就在郑医生告诉患者及家属留观室没有病床的时候,郑医生继续还在忙着别的病人。这时候年轻的家属出去打了一个电话。

留观病房
过了一会儿,来了一位本院的医生,不过郑医生并不认识。
这位医生来了之后,径直去了留观室。不知道她有多么“神通广大”,反正一会回来告诉患者及家属,留观室有床了,于是患者及女家属就去了留观室,患者留院观察。
郑医生继续忙着急诊门诊。
过了一个小时左右,抢救室医生突然打来电话:“郑医生,刚刚你看的一个病人都已经硬膜外血肿了,怎么还没来抢救室抢救啊?”
原来,抢救室的医生在查看门诊系统时,发现了这个病人,查看了放射科的影像报告,发现已经是硬膜外血肿,但是过了近一个小时,还没有送进抢救室,就提醒了一下郑医生。
郑医生一接到电话,听到抢救室医生这么说,顿时很是诧异。
回想了一下晚上看的病人也只有一个老年患者头部外伤,于是就回问到:“放射科不都是拍了片子说没有颅内出血吗?”
郑医生一边问着,一边又打开PACS系统,结果发现报告已经更改了:硬膜外血肿!
郑医生更加诧异了,还夹带着一丝愤怒。
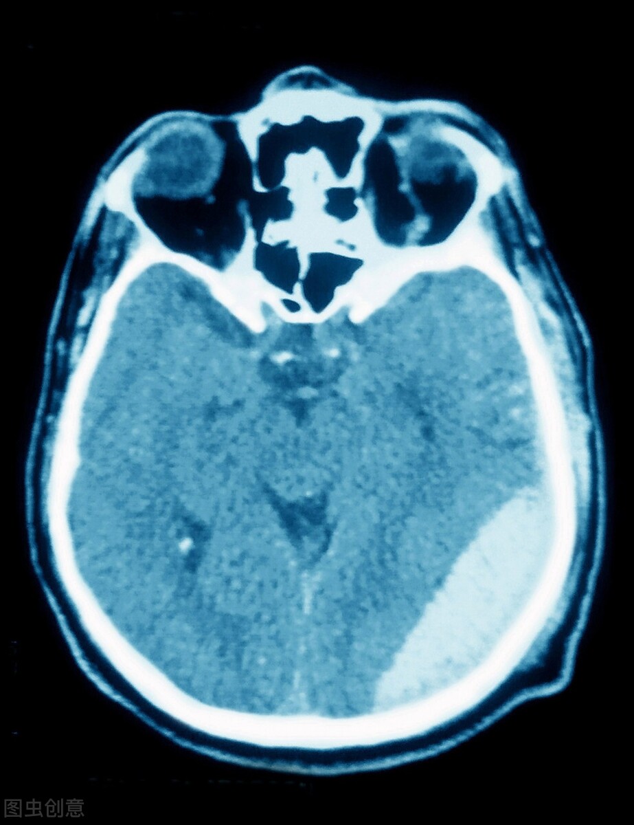
点开影像,仔细翻看,结果果然看到了左额颞部6mm宽的血肿。
很明显,这是对冲伤!

硬膜外血肿
所谓对冲伤,即头部受外力作用时,于着力处的对侧部位的脑部发生损伤,称为对冲伤。对冲伤多见于头颅撞击外界物体而致伤者,少见于受打击致伤者,即减速运动,如车祸多见。
郑医生此时此刻暗自庆幸,这个患者主动要求留院,且找到了一位“神通广大”的熟人找到留观病床,也十分愤怒放射科居然连硬膜外血肿都没有及时报告。
想着这些,郑医生还是暂时放下门诊病人,赶紧跑到了留观室。
一路上,郑医生心里已经想好了怎么告诉患者和家属。
到了地方,患者已经开始熟睡,家属在一旁玩着手机。
郑医生走上前去,告诉家属:“刚才放射科那边打电话说颅内出血,赶紧去抢救室!”
家属一听,顿时慌了起来。也没有问为什么,也没问当时怎么没有说出血。
就是跟着郑医生后面,护送着病床,进了抢救室。
看到抢救室里忙成一锅粥,郑医生穿过人群,找到急诊外科的医生,把患者交到了医生手中,详细交代后,郑医生才离开了抢救室。
回到门诊,病人已经扎堆。
忙完一波病人,已经到了半夜十一点多。
郑医生才抽空给放射科打了一个电话。

头颅CT
“喂,你们七八点钟出的一个报告,有不妥吧?”
对方一听郑医生这话,表示当时的医生已经下班。
郑医生接着说:“头颅硬膜外血肿,也不告知危急值?修改报告也不及时通知,这对临床造成的隐患有多大你知道吗?”
郑医生的语气中明显带有一丝抱怨!
结果放射科那边一听郑医生的语气,知道自己同事做得不妥,但是自己并不是当事人。就平淡地回了一句:“硬膜外血肿不属于危急值报告范围,当时情况我也不清楚。”
听放射科医生这么一说,对方也不是当事人,郑医生只好作罢。
急诊室逐渐安静下来,郑医生开始自我反思:自己工作十几年了,怎么还依赖放射科的报告?当时如果自己点开片子看一下,也许就能发现硬膜外血肿。如果不是抢救室的一个善意的提醒,是不是又会引起一个纠纷?
不过自己作为当班的急诊门诊医生,不看片子这种低级错误,也确实不应该。
好在患者情况不严重,但是致命的低级错误,确实不应该。#心健康信科普#