
引言
结节病是一个全身疾病,可累及全身各个器官,且表现多种多样,累及呼吸道可出现支气管狭窄,临床遇到支气管狭窄的患者应注意到结节病可能性。结节病与结核的鉴别诊断比较困难,诊断是一个动态的过程,我们分享的这个病例,患者在治疗期间虽应用抗结核药症状缓解,但影像学无缓解。结节病临床表现出其复杂性,患者症状可时轻时重,部分患者症状可自行缓解。当诊断明确治疗时,既需注意到糖皮质激素的副作用,也应加强患者健康管理教育,提高患者治疗依从性,只有这样才能达到理想的治疗效果。该案例患者的结节病在头颅出现皮下结节,也属罕见,需提高认识。
她是右肺中叶综合征吗?纤维支气管镜检查可告诉我们答案……活检组织病理除送检常规病理外,还需完善哪些特殊染色或者免疫组化检查?
患者张某是一位58岁的家庭主妇。10年前她第一次住院,主诉为「体检发现肺部阴影2年,发现阴影增大1周」。而在2年前,患者又在体检中胸部CT发现肺部阴影,并且患者有剧烈活动后胸闷的表现,但日常活动并不受影响,也无胸痛、咳嗽,无发热、盗汗。医院建议动态观察,未予特殊处理。近2年来,间断复查胸部CT,未见明显变化,但就在1周前复查胸部CT,发现肺部阴影与之前比较有明显变化。患者为进一步诊疗来到我院,门诊以「肺部阴影性质待查」收入我科。
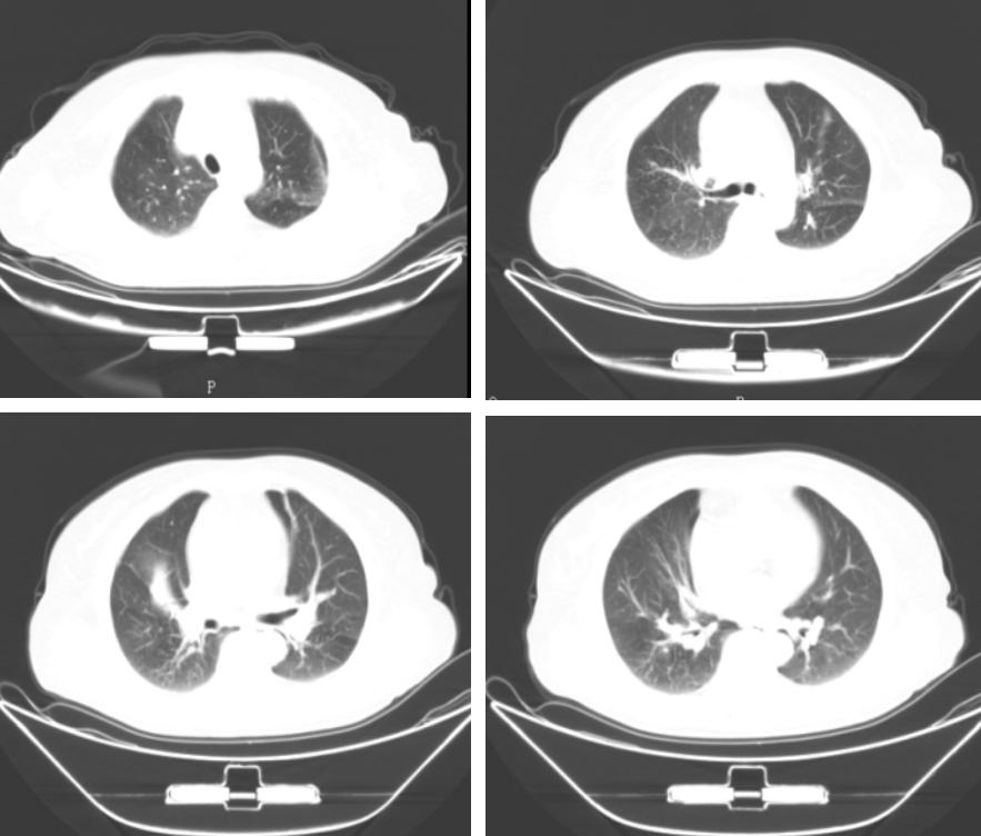
我们首先回顾一下该患者10年前的第一次住院情况。患者自发病以来神志清晰,精神尚可,食欲和睡眠都正常,二便正常。其既往史、个人史、婚育史、家族史均无特殊。对其进行体格检查情况为:入院查体:T36.0℃, P 72次/分, R 16次/分, BP 115/70mmHg,神志清,精神可。全身皮肤黏膜正常,无皮疹及皮下结节;全身浅表淋巴结未触及肿大。胸廓正常,双肺呼吸音稍粗,未闻及干湿啰音,心律齐,各瓣膜听诊区未闻及病理性杂音。辅助检查情况为:胸部CT提示:双肺纹理粗乱,右肺中叶支气管狭窄,右肺中叶高密度影。(图1)


图1:第一次入院胸部CT
初步诊断结果为:右肺中叶部分不张原因待查:肿瘤?结核?异物阻塞?其他? 这时的诊断思路首先要问:右肺的中叶不张常见原因有哪些?如何明确诊断? 我们知道右肺中叶解剖结构的特点,最常见的肺不张部位是右肺中叶,也就是所谓的右肺中叶综合征,而右肺中叶综合征最常见的原因有:结核、炎症、肿瘤、异物阻塞,还有一些少见病因如矽肺、结节病等。要想明确病因,最直接的方法就是完善纤维支气管镜检查。
患者入院后,我们立即完善了血常规检测:白细胞数4.3*10^9/L;红细胞4.35*10^12/L;血红蛋白137.0g/L;血小板总数138*10^9/L;超敏C反应蛋白1.15mg/L;血沉11mm/h;肝功能、肾功能、电解质、血脂、血糖、电解质均正常。为明确病因完善了纤维支气管镜检查:镜下见气管通畅,左右主支气管及其附属支气管管腔黏膜肥厚,局部可见结节隆起,左右支气管各附属支气管管腔均有狭窄,以左肺上叶和右肺中间支气管为著,于左肺上叶及右中间支气管黏膜均活检(见图2)

图2:支气管镜下表现
这时,我们的诊断思路有了第二问:活检组织病理除送检常规病理外,还需完善哪些特殊染色或者免疫组化检查呢? 要想回答这个问题,就要从常见的引起多发的支气管狭窄的疾病进行分析:
1、气管支气管结核
临床表现主要是咳嗽、咳痰、呼吸困难,部分患者伴有发热、盗汗、消瘦;胸部CT可无明显异常,气管镜下表现可存在气管、支气管粘膜充血、水肿、肥厚、糜烂、溃疡、坏死,可出现气管狭窄、闭塞。肺泡灌洗液或支气管镜取得的组织发现抗酸杆菌可以确诊,组织病理可见:发现类上皮细胞、郎汉斯巨细胞、干酪性坏死等有助于诊断。本例患者虽体检发现,但气管镜下表现不能完全排除,因此肺泡灌洗液需送检抗酸杆菌,组织病理常规送检外还需进行抗酸染色、TB-DNA检测。
2、气管、支气管骨化病(TO)
该病可引起气管及支气管狭窄,气管镜下:气管及支气管壁可见结节隆起,多累及气管的前壁和侧壁,气管膜部较少受累,结节一般较硬,外观呈灰白色,不易钳夹;病理:可见软骨或骨样成分,胸部CT上气管及主支气管壁可见钙化影。该患者气管镜下气管通畅,气管未见结节凸起,且结节质地较软,不支持TO诊断,常规病理HE染色即可明确诊断。
3、复发性多软骨炎
复发性多软骨炎(RPC)是一种少见的原因不明疾病,可累及全身多部位的软骨,以呼吸道为最严重。耳、鼻、喉、呼吸道软骨最常受累,且90%患者在发病过程中都会出现耳软骨炎,气管、支气管受累时支气管镜下可见气管、支气管狭窄、塌陷、黏膜,呼气相明显。该患者无其他系统表现,且气管通畅,并无明显塌陷,不支持RPC诊断。
4、气管支气管淀粉样变(PTBA)
气管支气管淀粉样变为一种多糖蛋白组成的淀粉样物质沉积在体内各组织的疾病,分原发性和继发性,以后者较常见。临床表现不特异,常见咳嗽、咳痰,气管镜下可见气管及支气管管壁黏膜水肿肥厚,黏膜粗糙,局部可形成结节隆起,管腔狭窄,组织病理学是诊断的金标准,其形态显示支气管黏膜下致密类似淀粉样变的无定形的嗜酸物质聚集,正常的疏松结缔组织中的弹力纤维、血管、神经、混合性腺体等减少或消失,病理的特征性表现刚果红染色阳性。该患者临床表现不明显,为体检发现,支气管镜下表现不能排除PTBA诊断,故除常规病理,还需送检刚果红染色。
5、结节病
结节病累及肺部可无明显症状,常见的症状是呼吸困难、咳嗽,根据胸部CT的典型表现可分为五期,0期影像学可无症状,仅后期回顾病史才能识别;I期肺门淋巴结肿大,II期 肺门淋巴结肿大伴实变影,III期 肺部实变影 IV期以肺间质纤维化,虽然这些影像学表现特别是淋巴结肿大更典型及常见,但除这些典型表现外,还可表现为沿支气管血管束分布的结节影,团块或实变等肺实质异常,还可表现为支气管壁增厚,肺纹理紊乱、淋巴结钙化等。血清紧张素转换酶可升高,但是真菌感染、结核病也可引起血管紧张素转换酶升高。部分结节病患者纤维支气管镜检查可见支气管粘膜弥漫结节,少部分患者可发生支气管狭窄。组织病理表现为非干酪坏死性肉芽肿性炎,需与结核鉴别。
分析一下,该患者的体检发现暂无明显的临床表现,影像学表现为肺实变,同时双肺纹理粗乱,右中叶支气管管壁狭窄,气管镜下支气管粘膜弥漫结节,多发支气管狭窄,从临床表现到影像学及气管镜检查,均不能排除结节病。我们还需要进一步鉴别,要做组织病理、血管紧张素转换酶测定等检查。因此,可得到结论是:患者目前多发支气管狭窄的病因考虑气管支气管结核、结节病、气管支气管淀粉样变可能性大,因此需送检肺泡灌洗液抗酸染色、组织病理刚果红染色、组织病理TB-DNA检测,同时完善血管紧张素转换酶测定、T-SPOT检查。
很快,组织病理结果出来了。左上叶、右中间支气管粘膜:肉芽肿性炎,考虑结核,建议TB-DNA检查(图3),特染:抗酸染色、PAS、六胺银染色均阴性,刚果红染色阴性。

图3:支气管粘膜组织病理
TB-DNA阴性,肺泡灌洗液未发现抗酸杆菌,血管紧张素转换酶154.70U/L↑,T-SPOT A孔0 SFCs/10^6PBMC B孔0 SFCs/10^6PBMC。 这个结果带来了诊治第三问:这个患者凭借病理、微生物学证据可以明确诊断吗?是否可以明确鉴别结核和结节病呢?
综合以上检查结果,我们认为
1、患者组织病理染色刚果红阴性,可排除气管支气管淀粉样变。
2、组织病理肉芽肿性炎,且病理科医生首先考虑结核。因结核和结节病病理鉴别困难,患者病理曾外送北京多家医院会诊,支持结核诊断;患者虽血管紧张素转换酶有升高,血管紧张素转换酶在结核和结节病均可升高;TB-DNA阴性、肺泡灌洗液未发现抗酸杆菌不能完全排除结核。
我们知道,结核相对于结节病更为常见,病理科首先考虑结核,且结节病引起气管、支气管狭窄的较少见,所以首先考虑诊断气管、支气管结核。此外,结核的治疗主要为抗结核药物,而结节病的治疗主要为糖皮质激素,因结节病部分患者可自发缓解,且该患者目前无明显临床症状,我们与患者充分沟通后,暂不给予糖皮质激素治疗,而是按气管、支气管结核给予试验性抗结核治疗。于是,近半年来,患者都是在院外规律口服抗结核药物治疗,期间间断复查胸部CT,病灶稳定,活动后胸闷症状缓解。
症状加重,影像学进展,气管镜、组织病理及病原学检查结果与3年前几乎一模一样……结核再次活动?结节病在进展?调整思路发现新问题
患者第二次住院是在7年前,距离第一次住院的3年后因出现胸闷、喘息再次收住我院。主诉为「体检发现肺部阴影5年,胸闷、气喘半年」。我们在当时的病史记录上看到的情况为:5年前体检发现右肺阴影,偶有活动后胸闷,无咯血、盗汗、发热等,无咳嗽、咳痰、胸痛,患者动态观察,未进一步诊治。3年前患者随访期间发现右肺阴影增大,于我院行纤维支气管镜下取活检病理提示肉芽肿性炎,结核不能除外,T-SPOT回示:结核特异分泌抗原抗体阴性;淋巴细胞亚群测定*255PBMC/ml;结核杆菌特异性淋巴细胞A抗原0SFCs/10^6PBMC;结核杆菌特异性淋巴细胞B抗原0SFCs/10^6PBMC,考虑「肺结核」可能性大,院外规律口服抗结核药物半年,活动后胸闷症状缓解,后间断复查胸部CT,患者肺部情况较稳定,未再行特殊治疗。
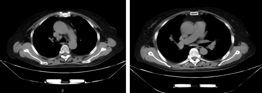
此次发病的半年前,患者也曾出现胸闷、喘息,活动后加重,但未治疗。这一次,我院门诊行胸部CT检查提示为:1.双肺炎症,2.心影增大 3.纵膈内稍大淋巴结 4.两侧胸膜局部增厚 5.脂肪肝,肝右叶钙化灶,建议再次住院治疗,门诊以「气管支气管狭窄并右肺中叶不张原因待查:结核?结节病?」为诊断收入我科。辅助检查情况为:胸部CT(图4)提示:双肺炎症 2.心影增大 3.纵膈内增大淋巴结,部分钙化 4.两侧胸膜局部增厚 5.脂肪肝,肝右叶钙化灶


图4:第二次住院胸部CT
这就带来了该案例的诊治第四问:患者此时诊断考虑是什么?是结核再次活动?亦或是结节病进展?
回顾诊疗经过可见,患者症状趋于明显,且影像学提示病变进展。要回答诊断问题还需要继续寻找更多的证据。于是我们复查了气管镜检查(图5):气管通畅,左右主支气管黏膜充血、水肿,表明黏膜粗糙、多发结节凸起,支气管管腔肥厚狭窄,以左肺上叶及右中间支气管为著。再次活检,组织病理提示:组织病理(左上叶、右中间支气管粘膜,图6):肉芽肿性炎,不除外结核,特染:抗酸染色、PAS、六胺银染色均阴性,刚果红染色阴性。肺泡灌洗液未发现抗酸杆菌,TB-DNA阴性,T-SPOT阴性。

图5:第二次住院支气管镜检查

图6:支气管粘膜组织病理(左上叶、右中间支气管粘膜)
至此,引出了诊治第五问:患者症状加重,影像学进展,气管镜、组织病理及病原学检查结果和3年前几乎一模一样,那么患者的诊断到底是什么?
其实,在看到新复查的CT后,我们对患者诊断又有了新的认识,如果说3年前诊断可能排序的时候,首先考虑结核,那么现在基于新的影像学证据我们首先考虑诊断是结节病。为什么呢?胸部CT除发现右肺中叶的肺不张外,同时发现双上肺为著的多发微结节,这些微结节以肺门为中心,沿支气管血管束分布,而非均匀分布,中轴血管束增粗,影像学也更支持结节病诊断。
虽然病理、病原学证据和之前几乎一模一样,然而肺泡灌洗液2次抗酸杆菌阴性、组织病理2次抗酸染色阴性,T-SPOT两次阴性,反复多次找不到结核确诊的直接证据时,间接支持结节病的诊断。同时,ACE升高。患者修订诊断:肺结节病 (II期)。并完善肺功能检查:肺功能检查结果提示轻度阻塞通气功能障碍,弥散功能正常。
患者肺功能弥散功能正常,但影像学肺内阴影加重,症状较前明显,遂按照患者体重给予0.75mg/kg/d 强的松治疗,并给予补钙、补钾等治疗,建议定期检测血糖、血压,每2周减量半片强的松。疾病诊断正确,在临床需要应用糖皮质激素时,看似临床疗效确切,然而糖皮质激素的很多副作用经常困扰患者和医生,在这个患者身上我们更深地体会到糖皮质激素是个双刃剑这句话的含义。随访期间,患者多次测血糖升高,诊断为类固醇糖尿病,在进行饮食控制、生活干预后,甚至口服强的松10mg/天时,患者血糖多次空腹测量仍20 mmol/L,患者加用二甲双胍,仍控制不佳,建议皮下注射胰岛素治疗。
可是,我们低估了一个普通的农村家庭主妇对于糖尿病的恐惧。作为医生,也要反思,我们需要告知患者结节病的危害,让患者重视,但在临床工作中面对有些患者比如癌症患者、肺间质纤维化患者、肺动脉高压患者,有时又需要善意的谎言,既要给患者治疗信心而又不能把疾病最差的结局反复向患者强调。这是我们在该案例中的一个体会。
此后,患者在饮食干预、胰岛素注射血糖控制不佳的情况下自行停药。起初停药并没有症状的明显加重,停药1年后,胸闷、呼吸困难加重,患者再次住院。第三次住院,我们在对患者查体时发现:患者头部可见多发皮下结节。头部皮下结节活检病理提示:非坏死性肉芽肿性炎,不除外结节病,抗酸染色阴性(图7)。

图7:头部皮肤活检病理
复查胸部CT:双肺以肺门为中心多发结节,支气管纹理粗乱,支气管血管束增粗,支气管肥厚狭窄,纵膈淋巴结增大,部分淋巴结钙化(图8)。

图8:第三次CT
此时,患者无论是临床、还是影像学以及病理均符合典型结节病的诊断,诊断是正确的,然而患者应用糖皮质激素血糖高,依从性差,不能耐受激素治疗,停药后疾病进展,加用甲氨蝶呤15mg/周,强的松1mg/kg/d,糖尿病饮食,并且应用胰岛素控制血糖,患者症状缓解。目前患者病情稳定,正在随访中。



本文完
采写编辑:冬雪凝;
*今条头日**排版:大奔