孩子春节要回家了,腊月廿八,66岁的福建陈伯(化名)忙前忙后,忽略了肚子里的隐隐作痛。
抱着“过年不去医院”的想法,陈伯选择熬一熬,腹痛却从未减轻。大年初五,突如其来的剧烈疼痛让他无法忍受,才去县医院打了止痛针。
年初六,他到厦门的三甲医院就医,却拒绝了住院的建议。孩子初七要上班,2月11日,他和孩子坐飞机来了广州,到暨南大学附属第一医院就诊。
陈伯和家人都小看了这次持续10天的腹痛。医生诊断为胃穿孔弥漫性腹膜炎感染性休克,如果不及时手术,陈伯熬不过当天晚上了。
日前,记者从暨南大学附属第一医院获悉,目前陈伯生命体征恢复稳定,仍需在重症监护室观察。医生提醒,过年期间若有不适,应及时就医。

“如果不做手术,他熬不过当晚”
提起陈伯的病情,暨南大学附属第一医院胃肠外科主治医师汤汉林仍感到心惊。就诊时,陈伯虽然有自主意识,还能清晰应答,但是身体的指标都亮起了“红灯”。
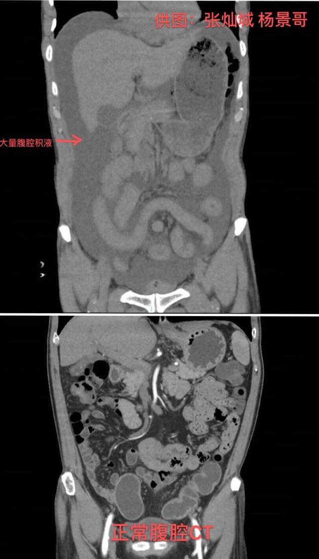
当时,陈伯腹中因大量积水而肿胀发硬,还出现了无尿症状,腹部皮肤因供血不足已出现“花斑”。结合进一步检查结果,诊断为胃穿孔弥漫性腹膜炎感染性休克。“如果不做手术,熬不过当晚。但进行手术,也有极大的风险。”汤汉林说。
人看着好好的,为什么突然这么严重?汤汉林说,医学上的休克并非指患者昏迷不清醒,而是综合体内情况。出现感染性休克时,人体内的应急保护系统优先给心、肺、脑等重要器官供血,“放弃”了一部分器官。当出现无尿症状时,陈伯的肾脏功能已受到很大损害。看起来似乎正常的陈伯,其实身体已是“强弩之末”。
要治疗陈伯,首先需要胃穿孔修补手术“补漏”,并且清除感染。但陈伯的身体机能非常衰弱,麻醉和开刀都有巨大的风险。手术做还是不做?在患者家属的信任和配合下,一场抢救生命的“攻坚战”立即开始。
暨南大学附属第一医院麻醉科主任医师李雅兰和团队维持着陈伯的生命体征,胃肠外科手术团队迅速进行手术。胃肠外科副主任医师杨景哥介绍,术中从陈伯腹部抽出了2500毫升黄绿色脓液,相当于两支可乐“大炮”,感染十分严重。胃壁上有直径1.5厘米的穿孔,胃液伴随食物残渣就是通过这个洞涌入腹腔。
一个多小时的手术后,陈伯转入ICU。术后的第三日,陈伯终于有了100毫升的尿液,标志着肾脏功能的部分恢复。但陈伯心肌受损比较严重,后续治疗仍然不能松懈。

他本有三次机会避开“鬼门关”
其实,陈伯曾有多次机会,不必走这趟“鬼门关”。
一开始的腹痛,是身体给陈伯的第一次“健康警示”。杨景哥介绍,此时的腹痛可能是胃溃疡所致,如果及时就医,服用相应药物治疗即可。原本是几百块钱就能解决的事,老伯却瞻前顾后,在春节“一忍再忍”,最终步入了命悬一线的惊险境地。
年初五的剧烈腹痛,是身体给陈伯的第二次“警告”。杨景哥推测,此时陈伯很可能已出现胃穿孔,但是抱着“过年不就医”的想法,陈伯仅在县医院打了止痛针。“如果能在大医院住院治疗,胃穿孔后也注意禁食,感染不会这么严重。”杨景哥说,陈伯腹痛的时候也照样进食,使得感染恶化。
年初六出现无尿的症状,则是身体给陈伯的“最终警告”。但为了孩子能初七上班,陈伯仍是拖到初七一早才到广州就医。幸好陈伯的家属非常信任医生,才让陈伯与“死神”擦肩而过。
人好好的,怎么突然胃溃疡?汤汉林在询问陈伯病史的时候发现,陈伯患有痛风,长期自行不规律服药。“这是个很大的隐患。胃肠外科有不少消化道疾病的患者,都是自行不规律服药造成的。”汤汉林提醒,许多药物对胃肠道是有刺激性的,胃肠脆弱的人需格外小心,止痛药要适时、适量地按照医嘱服用。过年期间若出现不适,一定要及时就医,不要因为“过年不就医”等错误观念延误病情。
【南方日报记者】朱晓枫
【实习生】王宇辰
【通讯员】张灿城