长沙的小彭今年21岁,从事建筑工作。因经常有鼻塞、流脓鼻涕症状,小彭来到湖南省第二人民医院耳鼻喉头颈外科就诊。
经医生检查后被初步诊断为慢性鼻窦炎、鼻息肉,常规需要接受鼻窦炎及鼻息肉手术治疗。

在病情讨论中,耳鼻喉头颈外科主任刘刚副主任医师、李梅芳副主任医师仔细查看了小彭的检查报告,认为鼻窦CT结果与临床检查所见非常吻合,具备手术治疗的指针。但是,患者鼻窦CT还显示右侧额、颞叶有一个边界模糊的低密度灶,类似“脑子进水”,很有可能是蛛网膜囊肿。如果囊肿深入到额、蝶窦的位置,手术中稍一触及囊肿就可能引起破裂,导致脑脊液漏的风险。

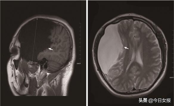
为进一步明确手术方案,确保患者安全,手术组决定为小彭进行头颅磁共振检查,果然发现小彭颅内巨大蛛网膜囊肿,内为水样液体,最大直径达到12厘米,几乎占据了一侧大脑半球的一半,并明显的压迫脑组织。
经讨论,医生决定先为小彭进行鼻窦炎及鼻息肉手术治疗,因其一直无头部自觉不适症状,暂不进行蛛网膜囊肿的手术干预,可严密随访观察。如在随访过程中出现癫痫发作、视力下降及运动受损、语言障碍等局部脑组织受压症状时,则进一步接受手术治疗。

蛛网膜囊肿是指脑组织与其附属物形成水囊性肿物,并产生不同程度的脑压症状的病症。其发生的原因目前不十分明确,可能一部分是先天性因素,另外与产伤、出生后颅内出血、颅内感染或颅脑损伤等有关。
医院神经内科黄远桃副主任医师在会诊中介绍,患者颅内达到12厘米大的蛛网膜囊肿非常罕见,因压迫脑组织的过程非常缓慢,所以头痛、视力和记忆力下降、抽搐等头部症状才不明显。
黄远桃解释,蛛网膜囊肿如未及时发现和治疗,会导致严重的疾病发生,比如像小彭这样,并无明显头部不适症状,如不及时发现和跟踪随访,囊肿可能还会进行性增大,压迫周围神经结构或阻碍正常脑脊液循环通路,出现头围增大、局限性颅骨膨隆、颅内压增高症状、癫痫发作、智力发育不全、局限性神经功能缺失等等。
因此提醒公众,平时应注重体检,及时发现身体的异常,及时诊治。
文、图:今日女报/凤网记者 李诗韵 通讯员 李梅芳 刘莉
编辑:小Y