在医学上,我们经常听到一个词:三叉神经痛!据说比生孩子还疼!虽然无生命危险,但发作起来往往让患者心烦意乱,无法正常生活和工作。什么是三叉神经痛?可以治疗吗?一起来看看吧。
病 例:
患者男性,76岁,病程3+年;
·主诉:左面部疼痛3+年,加重伴头昏1周;
·现病史:患者于3+年前出现左面部阵发性牵扯样疼痛,说话、吃饭、洗脸、刷牙等可诱发疼痛发作,外院诊断为三叉神经痛,予以药物治疗,但症状仍逐渐加重,加大药量后无缓解,近1周疼痛发作加强频繁,伴头昏;
·神经系统查体未见明显异常;
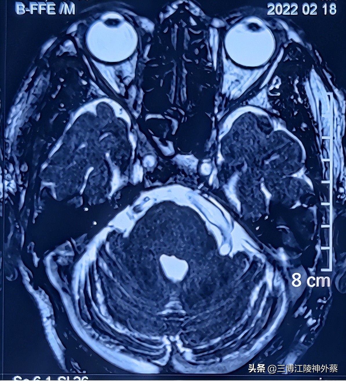
·辅助检查MRI提示:双侧椎动脉、基底动脉扩张延长症,且走行于左侧三叉神经区域,左侧三叉神经未见明显显示,考虑椎基动脉压迫左侧三叉神经。
·电生理示:1.双侧面神经未见明显异常;2.所测瞬目反射传入、传出通路未见明显异常。

椎动脉、基底动脉扩张延长症,且走行于左侧三叉神经区域
·术前讨论:患者左侧三叉神经痛诊断明确,MRI显示粗大延长的椎基底动脉压迫左侧三叉神经,如行微血管减压术,术中推移血管及彻底减压的难度较大,手术效果可能欠佳。且患者年龄较大,手术风险高。综合上述因素,考虑行球囊压迫手术比较适宜。

术中使用机器人、Mayfield头架、C臂

机器人设计手术穿刺路径

术中球囊充盈呈现完美的“梨形”
在与患者及家属充分沟通后,于2月24日在全麻下行机器人引导下左侧经皮穿刺三叉神经半月节球囊压迫术,值得一提的是,此次手术采用机器人引导,增加了手术穿刺的准确率。术后患者左侧面部原有疼痛消失,感左面部轻度麻木。
判断三叉神经痛"四大标准"
▪ 三叉神经痛通常是持续几秒钟或几分钟的阵发性反复发作,说话、吃饭、吹风都可能诱发疼痛。
▪ 三叉神经痛具有间歇期,往往早期疼痛比较轻微,并且有迁延过程,或有一段时间患者感觉不到疼痛了,但过一段时间又会疼痛,且疼痛加重。
▪ 查体可见面部有扳机点,触碰这个部位,会诱发面部疼痛。
▪ 三叉神经痛早期服用卡马西平十分有效。
温馨提醒:三叉神经痛的高发人群是50-70岁的中老年人,女性发病率高于男性,其原因与血管压迫有关,年龄越大往往血管的弹性下降,血管袢程度增加,导致神经压迫加重,当神经压迫到了一个临界点就会诱发三叉神经痛。