29岁女性患者,间断喘憋2月、不能平卧1周,BP 180/100mmHg。患者有高血压病史,但未规律服药。因体型偏胖,服用网购的某种*肥药减**一年。


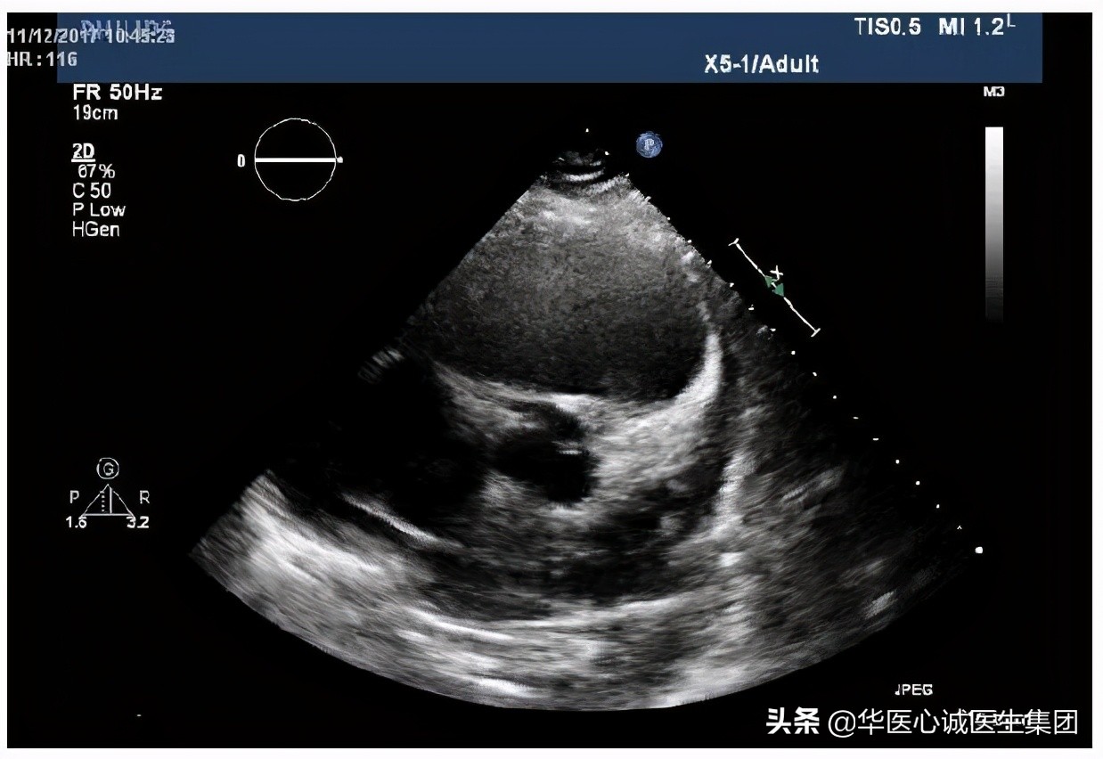
超声结果提示有心包积液,室壁增厚,约1.5cm。心腔扩大,左房、左室、右房均扩大,且收缩幅度下降。
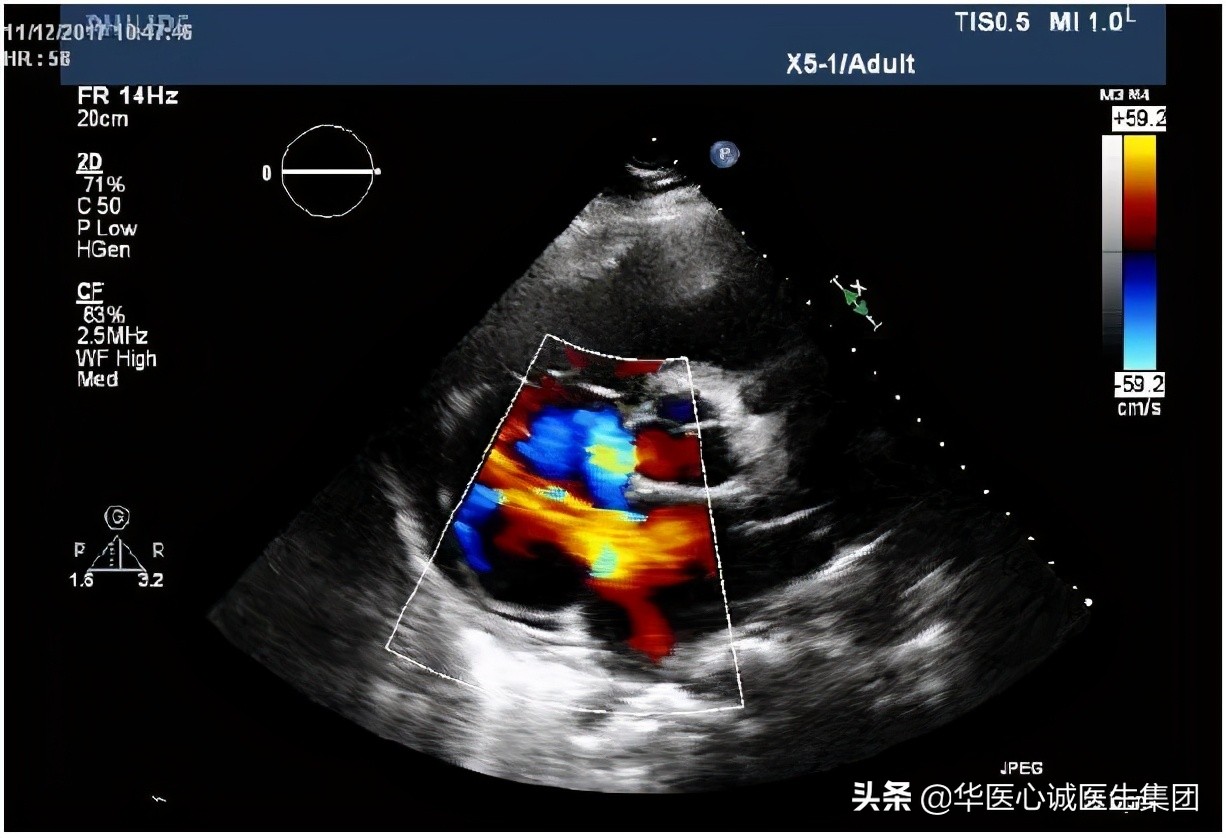
- 大动脉短轴切面:右室明显增大,右室流出道和肺动脉均增宽。
- 左室短轴切面:可见心包积液,左室壁对称性增厚,室壁弥漫性运动减弱。上述问题可能是由慢性高血压引起的。
右心存在什么问题?

右房、右室增大,是由于高血压急症、左室收缩功能障碍、室壁增厚、舒张功能异常等造成的吗?这是其中一种解释,但我们可以再找找其他问题。
该患者除了有明确的高血压病史,服用的*肥药减**是否对心肌本身造成损害?此外,仍然需要排除是否有负荷的原因,那么瓣膜是否有问题?检查显示 瓣膜均存在返流的情况 ,但以该患者目前的状态判断,返流更可能是继发的。
房间隔缺损

该患者还存在房间隔缺损,但缺损面积不大。如果没有其他问题,该患者可能不会出现症状。
但因为有高血压、左心衰、左室肥厚等,左室压力升高后,左房压升高,是否会造成分流量更大?由此可以看出,超声可以清晰的显示病理生理的改变、血流动力学的异常等,这就是超声的魅力所在。
该患者房缺面积不大,但因为左房压高,导致房缺的分流量很大,所以右心明显扩大。

室壁1.4cm。
左室质量达到370克,LVMI>95g/m2,符合左室肥厚的标准。
EF值降低,为30%。


舒张功能的情况如何?E峰又高又尖,A峰很小,提示限制性充盈障碍。
三尖瓣返流压差48mmHg,右房压至少15mmHg ➜ 肺动脉收缩压也高 ➜ 到底是因为房缺分流量太大造成的,肺循环血流量增多造成的,还是左室压高、左房压高造成的? 其实是相互叠加的 。为什么会有这样的判断?


左图:入院时测量的房缺分流速度和压差(19mmHg),右房压至少15mmHg ➜ 导致左房压很高,预计40mmHg ➜ 充分提示左室充盈压非常高。
右图:治疗1周后,血压下降,左房与右房的压差降至4mmHg,接近正常水平。因为左房压下降,左心衰得到控制,患者症状立即好转。
该患者病情稳定后接受了房缺封堵术。1年后复查显示心脏收缩正常,心腔大小恢复正常,但右心仍然稍大。