大家好,今天给大家科普一下听神经瘤,准确来说应该是前庭神经鞘瘤或前庭神经施万细胞瘤。那听神经瘤或者说是前庭神经鞘瘤到底是怎么回事呢?听我慢慢给您道来,相信您看完本文一定会对听神经瘤有一个全方面得认识。
一、什么是听神经?
大脑有十二对脑神经,这十二对脑神经分别传递着我们头面部的感觉、运动和一些特殊的感觉信息给大脑中枢,比如:视觉、听觉、嗅觉、味觉、面部表情等等。其中,听神经就是第八对脑神经(也叫前庭蜗神经)的一部分。前庭蜗神经,第八对脑神经,实际上是由前庭神经与耳蜗神经两条神经组成的。前庭神经由传人和传出纤维组成,管平衡和协调,耳蜗神经,又称位听神经,它的传入和传出神经纤维管听力。


二、什么是听神经瘤?
听神经瘤主要就是起源于前庭神经的施万细胞,极少数起源于耳蜗神经施万细胞。什么是施万细胞呢?施万细胞是神经纤维外层的神经胶质细胞,能分泌神经营养因子,促进受损的神经细胞的存活及其轴突的再生。还起到一个保护绝缘的作用,当缺少施万细胞时,神经纤维容易异常放电,我们常说的癫痫就是这样产生的。听神经就像是一根电线,施万细胞就是电线的绝缘外皮,听神经瘤说白了就是外皮上鼓了一个包。

三、为什么会长听神经瘤?
1、医学科学家还没完全搞清楚为什么会长听神经瘤,有部分原因可能是神经纤维瘤蛋白-2基因突变,导致人体无法产生抑制肿瘤的神经鞘蛋白。有这种基因突变的人,不仅容易长听神经瘤,也容易长其他神经系统肿瘤,如其他颅神经鞘瘤、颅内脑膜瘤、脊柱肿瘤,还可伴有周围神经病变、眼部病变及皮肤病变。具有全身多种病变的病人,可诊断为「神经纤维瘤病 2 型」,是一种罕见的遗传病,约占听神经瘤病例的 5%。
2、除基因突变外,儿童期因其他疾病暴露于低剂量辐射也可增加听神经瘤的风险;另外,甲状旁腺腺瘤也可能增加该病风险。
3、值得一提的是,尚无确切证据证明打电话及噪音与听神经瘤发生有关,所以不必为此担心。
四、听神经瘤有哪些症状?
发病年龄一般为30~50岁,男女皆可发病,缓慢进行性发展,病程长,早期症状常被忽视,发病到住院平均时间为3.5~5年,10%~15%的病人回忆症状存在时间可追溯到10年前,约1/3病例经3~10年才确诊。首发症状1年内诊断病例不过15%~20%。耳鸣可能是肿瘤早期的唯一症状,所以为了能够尽早地发现听神经瘤的存在,当出现下列症状时,一定要引起重视,及时就诊:
1、听力下降及耳鸣
为耳蜗及前庭神经症状,常见一侧听力下降伴耳鸣,以及耳闭塞感、眩晕及头晕等。约六成患者还可出现耳鸣,多被描述为「吱——」音、电流音、汽笛音等等,多为单侧,这也许是听神经瘤早期的唯一症状。听力障碍程度主要取决于肿瘤原发位置及与内耳道关系,与肿瘤大小不完全平行,内耳道局限性小肿瘤可引起高度听力障碍,囊肿性大肿瘤可保留听力,肿瘤不断增大导致进行性听力下降。

2、面部感觉异常与面瘫
听神经有部分区域和面神经、三叉神经伴行,所以听神经瘤也可能导致后两者受累,导致约一成到两成的患者出现面部麻木、迟钝、疼痛,闭眼不全,口角歪斜,口角流涎,咀嚼费力,甚至味觉异常。

3、头晕与走路不稳
约六成患者可出现走路不稳感(像在船上似的漂浮感)、头重脚轻感、眩晕感、视物旋转,症状时好时坏,通常不严重。
4、头痛
多见于头部两侧和枕部,与肿瘤大小有关。
5、其他症状
随着听神经瘤的长大,压迫邻近组织,可引起发音含混不清、声音嘶哑、吞咽困难、饮水呛咳等症状。

声音嘶哑
五、治疗
1、定期随访观察
对于肿瘤较小、年龄较大者,随访观察。每6-12个月定期复查核磁,监测肿瘤生长情况。随访观察这种方式具备暂时回避手术风险的优势,但存在肿瘤继续增大、功能进行性下降、手术风险及术后并发症增加的可能,可出现肿瘤虽无明显增大而听力下降等情况,密切随访观察的目的在于一旦发现肿瘤生长迹象立即考虑手术切除或立体定向放射治疗。
2、立体定向放射治疗
立体定向放射治疗的优势在于回避了手术风险以及治疗后即刻面神经麻痹、听力下降等,但存在着肿瘤复发(未控制)、延迟性听力下降、耳鸣,甚至脑水肿、脑积水等放射性损伤的风险;原则上应在放射治疗2年后评价治疗效果;手术后复发者可以再接受立体定向治疗,但放疗后复发者,由于肿瘤组织与周围神经、血管等粘连紧密,再次接受手术时,则神经与周围组织损伤等并发症发生几率将大为增加。
3、手术治疗
手术目标为完整切除肿瘤,目前国内外常用手术方法包括:经乙状窦后(枕下)入路、经迷路入路及经颅中窝入路。其余手术入路还包括经耳囊入路、扩大经迷路入路等;每个手术人路均有其优势及局限,针对不同患者采取的手术方法也不尽相同。选择不同入路需要考虑肿瘤大小及位置、双耳听力水平、年龄等。


六、病例分享
1、患者吕某,男,33岁,2个月前无明显诱因逐渐出现左侧听力下降伴有耳鸣,走路不稳,舌头麻木。
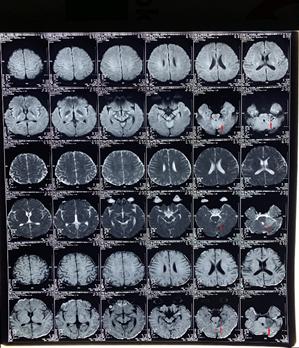
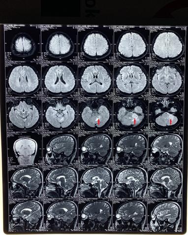
2、我院给予患者核磁共振检查(T1、T2)显示左侧桥小脑区占位性病变,结合临床考虑听神经瘤。

(MRI T1加权成像,红色指示病变区)

(MRI T2加权成像,红色指示病变区)
3、术前给予脑血管造影和头颅CT检查了解肿瘤血管分布及乳突情况,选择合适的手术入路。


4、根据上述检查,选择枕下乙状窦后入路肿瘤切除术。
5、术后复查CT可见肿瘤切除干净,患者自述听力恢复正常,没有耳鸣、舌麻、头晕、走路不稳等症状,没有面瘫、面部感觉异常等并发症。


七、结语
以上是对听神经瘤的介绍,希望对大家有所帮助,谢谢大家的浏览阅读。