下丘脑
下丘脑 是中枢神经系统中负责神经内分泌和内脏功能调节最重要的结构。其功能具体为∶体温调节、食欲调节、口渴和水平衡、生殖和*行为性**、分娩和哺乳、呼吸和心血管调节、胃肠调节、压力反应和自我修复。

下丘脑可分为吻尾带(视前区、视上区、结节区、乳头区)和内外带(室周带、内侧带、外侧带)。这些区域有部分分散的核团,但更多的则是弥散状的中心,也称为区。
下丘脑的神经内分泌部分由以下结构构成∶
①室旁核的大细胞部分和视上核,可发出纤维直接到达神经垂体;
②释放因子和抑制因子神经元,可发出纤维至正中隆起的垂体门脉系统;
③结节漏斗系。

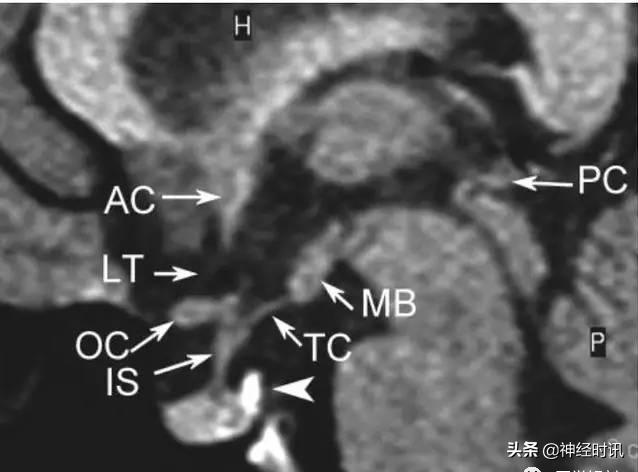
颅脑正中矢状面
AC:前联合;LT:终板 OC:视交叉;IS:漏斗柄;TC:灰结节;MB:乳头体;PC:后联合



颅脑冠状面MRI表现
A:弓状核;AC:前联合;DM:背内侧核;L:外侧核;LPO:视前外侧核;MB:乳头体;MPO:视前内侧核;P:后核;OT:视束;OC:视交叉;SC:视上核;F:穹窿;PV:室旁核
" 下丘脑及其核团
下丘脑及其核团与内脏和神经内分泌功能有关。
-
视上核、室旁核的大细胞神经元可分泌催产素和加压素至垂体后叶,从而进入血液循环。
-
室旁核的小细胞神经元内有促肾上腺皮质激素释放激素,可投射至正中隆起的垂体门脉系统,从而促使促肾上腺皮质激素的释放。
-
室旁核的下行纤维投射至脑干、脊髓节前神经元以及相关核团、从而调节自主神经系统的传出。
-
下丘脑前区和后区可分别调节交感和副交感的传出;下丘脑背内侧核、腹内侧核和下丘脑外侧区可调节食欲、喝水和生殖行为;下丘脑视前区可调节神经内分泌循环和体温调节;下丘脑交叉上核则可接收视束传来的视觉信息以及调节生物钟。
-
此外,还有一些下丘脑区域可调节睡眠。

以上内容的分享对你有收获?
如果你想学习更多【临床病例经验分享】、【看大咖学术视频】、【收获更多实用干货】,你可以加入我们
关注不走丢,点击手机右上角【关注】, 收获更多科普+专业学术知识干货 .