有病人和我说:“医生,你知道女人最痛的生孩子,那男人最痛是什么吗?”
我看他下意识的摸了下腰,我就知道是尿路结石引起的肾绞痛了。
在临床上见过痛到滚地的大有人在,比较惨烈。
提出概念:泌尿系统出现结石称为尿路结石。非常通俗易懂,

这是上尿路结石,经典的腰痛。
我将从分类、表现、检查和治疗四个方面剖析尿路结石。
一、结石就像商场的衣服,各式各样,琳琅满目,下面是最常见的四种泌尿系结石:
草酸盐结石:最常见尿路结石,在X线显影完整。

草酸盐结石有点小可爱啊!
磷酸盐结石:由尿路感染(肾盂肾炎,膀胱炎,结核)引起继发结石。复杂的鹿角形结石,形状像鹿角。磷酸盐结石甚至导致尿路上皮癌变,是最易发生癌变的结石。(炎症的下一步就是癌症。)

看磷酸盐结石的样子就知道不是什么善货了!
尿酸结石:X光不显影。高尿酸血症、痛风患者最易形成这种类型的结石。

尿酸结石像宝石,漂亮吧!
胱氨酸结石:X光不显影,呈腊样,黄棕色。

黄棕色的蜡样结石,也是很漂亮!
二、如果我们不小心炼成一个或多个石头在咱们的身体里,会发生什么事情?下面是泌尿系结石表现:
讲表现之前,我们首先弄清楚一个概念:尿路从上到下分别包括:肾脏、输尿管、膀胱和尿道。上尿路指肾脏和输尿管,下尿路指膀胱和尿道。

尿路从上到下分别包括:肾脏、输尿管、膀胱和尿道。
上尿路结石:输尿管被结石卡压,会导致尿路平滑肌剧烈痉挛,引起剧烈腹痛腰痛,结石划伤尿路粘膜引起血尿。肾里面的结石基本上不会产生疼痛,所以很多人有肾结石好多年了,也是到了体检时才发现自己有泌尿系结石。

下尿路结石(膀胱结石):堵住膀胱口,排尿时突然尿路中断,改变体位恢复排尿。

这膀胱结石又大又圆,需要切开手术才能取出来。
三、某一天,某一人,腰疼到医院就诊。腰痛有N种病因,那么我们怎么才能知道是尿路结石引起的,做个检查呗。
首选B超:经济简单方便快捷。三甲医院就100来块就可以了,做泌尿系B超时是要求要憋尿的,所以大家可以带上水杯或买点含糖饮料,这样储尿会快很多哦。

结石在B超下,很清楚看见堵住了!
KUB腹部X线平片:也很便宜,100来块就可以了,再对比我们上面说的结石分类,就可以找出草酸盐结石和磷酸盐结石的位置。但是孕妇不能照。

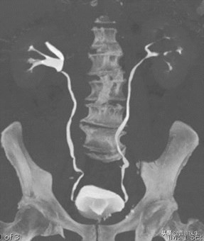
既要检查结石,又可以检查肾功能:CTU(CT尿路造影),通过给静脉注射造影剂,由肾脏排泄至尿路而使整个泌尿系显影,即可看见结石堵塞的位置。

含有造影剂的尿液会再CT下显影!
四、确诊后,应该怎么把结石干掉呢?泌尿系结石的治疗主要看结石位置及大小,这是非常关键的。
-
肾盂结石:小于0.6cm,保守排石药物;0.6-2.0cm体位冲击波排石;大于2.0cm,经皮肾镜取石术。

-
输尿管结石:又分为中上段和下段,输尿管有三个狭窄,这里不展开讲了。
-
中上段:小于0.6cm,保守排石药物;0.6-2.0cm体位冲击波排石;大于2.0cm,经尿道输尿管镜取石术。
-
下段(输尿管狭窄明显):小于0.6cm,保守排石药物;0.6-2.0cm经尿道输尿管镜取石术;大于2.0cm,腹腔镜+输尿管切开取石术。

-
膀胱结石:2.0-3.0cm膀胱镜取石;大于3.0cm耻骨联合上方切开取石术。
中医中药在排石方面是一把好手,也是普照医生的拿手好戏。
下面拟一普照医生的常用验方送给朋友们,好好收藏,碰到小结石的时候,干上几杯,能减少不少痛苦和剩下不少钱啊!
海金沙15克(包煎),金钱草20克,鸡内金15克,石苇20克,瞿麦10克,滑石30克,甘草6克,威灵仙24克。
水煎服,服药后多饮水,小结石或许就会随着尿液排出。
总结:泌尿系结石属于常见病,通过了解泌尿系结石的分类、症状、检查和治疗,就算发生在我们身边也不会害怕了。
如果您还有其他的疑惑,可以在下方留言,大家共同探讨。
健康中国,科普先行。立足临床通俗易懂,更多健康尽在普照医生!
我是临床一线医生,健康科普非常靠谱,闲暇时间写文不易,如果您喜欢我的位置,请帮忙点个关注或点个赞吧,如果您或者是您的家人朋友,也有这方面的困扰,请把这篇文章转发给需要的他们吧,谢谢了!
#头条健康# #清风计划#
@头条健康情报局 @头条健康 @快问中医 @中医汇 @清风计划 @健康真相官