一不小心踢到或者碰到什么东西,脚趾出现疼痛,肿胀、淤青。几天也好不了,到底是扭伤还是骨折,患者可能难以判断,有些人认为骨折了了就不能动 ,其实不然 ,有一些骨折不仅可以移动脚趾,甚至还可以走路, 但耽误了就严重了,并对骨头造成更严重的损害。

脚趾扭伤症状
脚趾扭伤是指韧带过度拉伸或者撕裂,从而引起疼痛。但不会直接影响脚趾骨。 扭伤的症状包括疼痛、脚趾移动困难、肿胀、淤青和压痛。虽然每个人都可能扭伤脚趾,但 这些人风险最高:脚趾受过伤的,脚趾有痛风或者关节炎的,鞋子太宽或者太窄的, 根据严重程度扭伤分为三个等级。
- 1级:轻度扭伤,受伤的区域有一些压痛和肿胀,还能走路。
- 2级:中度扭伤,肿胀更严重,有淤青,脚趾运动范围变小,勉强可以走路。
- 3级:严重扭伤,韧带完全撕裂。疼痛剧烈,有严重肿胀和瘀伤。几乎不能移动脚趾和走路。
骨折症状
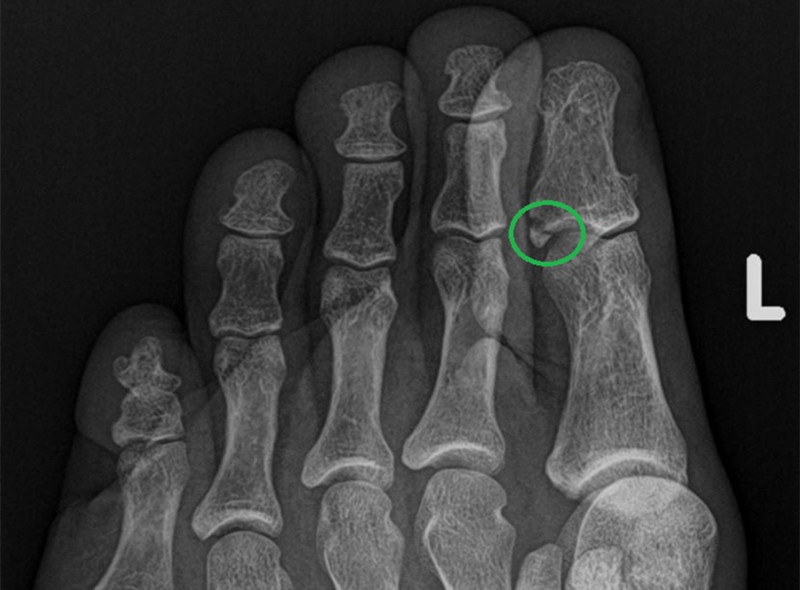
中到重度的扭伤可能和骨折难以分辨,都会出现肿胀、淤青,脚趾难以移动,站立和行走困难。尤其 撕脱性骨折 和应力性骨折,没有明显的外伤,容易和扭伤混淆。 撕脱性骨折是指一小块骨片被肌肉或者韧带从骨头上撕下来, 会出现肿胀、瘀伤以及脚趾关节活动困难。有时可能被误诊为扭伤,甚至采取了错误的治疗。

应力性骨折则是由于重复运动、经常负重、维生素D缺乏、营养不良或骨质疏松症引起的,没有明显的外伤,也容易被当做扭伤,患者可能认为只是一件小事,同时在骨折后两到四个星期内,影像学检查可能发现不了应力性骨折。如果不及时治疗,应力性骨折会越来越疼,并对骨头造成更严重的损害。
通过以下几点可以怀疑骨折:
- 发生时,脚发出啪啪声或爆裂声。
- 感觉脚抽着痛。
- 某一点疼痛明显。
- 脚趾上某个地方严重变色
- 有脱臼的迹象,脚趾看起来和以前不一样。
- 扭伤通常恢复得快。疼痛在几天内明显减轻。但骨折的疼痛时间持续更长, 并在锻炼或进行体力活动时疼痛加剧

如何确诊骨折还是扭伤
虽然以上内容有利于区别扭伤和骨折,但万无一失的判断办法还是及时就医,医生会询问症状以及疼痛的程度。如果怀疑骨折,就要进行影像学检查。最常见的骨折检查是X光和CT检查,医生会从多个角度观察骨骼的情况。出现以下情况,要引起警惕:
- 严重疼痛、肿胀或淤青。
- 几天后疼痛和肿胀没有减轻。
- 脚完全不能负重。
- 脚趾看起来畸形。
出现以上情况,无论怀疑扭伤还是骨折,都应尽快就医,除此之外,如果出现发麻刺痛感,也要引起警惕,这可能是神经损伤的迹象,可能需要手术才能解决。
脚趾骨折一定要做手术吗?
脚趾骨折不一定要做手术,根据骨折的类型和严重程度,比较轻微的可采用保守治疗,复位后采取石膏或者支具固定方式即可。若经手法复位效果不好,骨折移位依然比较明显,则需要进行手术治疗。
医学科普,仅供参考。