点击「神经介入在线」可快速关注
指南背景


术前管理:急诊绿色通道
术中管理:个体化操作
术后管理:综合目标管理
一
术前管理


所有近期发表的血管内治疗的RCT都设计使用无创动脉影像(脑或颈部动脉的CTA或MRA)来筛选大动脉闭塞的患者。
在症状发生最初3 h内NIHSS评分≥9分或者在3~6 h NIHSS评分≥7分,则强烈提示颅内大动脉闭塞。
重视CT大脑中动脉高密度。


发病3 h内应用静脉rtPA治疗(0.9 mg/kg,最大剂量90 mg)(Ⅰ/A);发病后3~4.5 h间用药的患者以静脉rtPA治疗(0.9 mg/kg,最大剂量90 mg)(Ⅰ/B),静脉-动脉序贯溶栓治疗(Ⅱ/B)
2014年至今,急诊血管内治疗37例,9例术前给予阿替普酶静脉溶栓。

二
术中管理
个体化选择局麻或全麻
原则:不能因为等待全麻而延误时间
经验:局麻+静脉咪达唑仑镇静
经验:释放支架重建血流后插管全麻
2014年至今,急诊血管内治疗37例,全麻19例,局麻18例。
Case1 全麻插管时机选择
》男,60岁。有房颤史。
》7:50三次TIA(发作性右侧肢体无力),8:45到我院急诊,8:52完成头CT检查。
》9:30再次加重,11:30通知介入医师。
》NIHSS评分10分。
》12:20股动脉穿刺。
》12:50血管再通。
》10天后出院,NIHSS 0分。
》全身麻醉。
▼左侧大脑中动脉高密度征

▼气管插管时机:释放支架重建血流后

术前静脉溶栓
术中动脉溶栓
心源性栓塞出血转化

个体化
原则:谨慎选择
颅外段:A-重度狭窄或夹层导致血流中断;
B-严重狭窄或闭塞,导管无法通过到远端
颅内段:取栓后残留的重度狭窄,不能维持前向血流
2014年至今,急诊血管内治疗37例; 急诊支架置入11例,其中颅内段5例、颅外段6例。

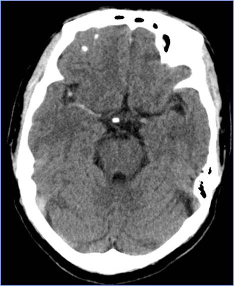
Case2 ICA起始部支架置入
》男,56岁。既往有高血压病及吸烟史。
》因 “言语不清5小时,加重伴左侧肢体无力1小时”于16:30入院。
》查体:血压150/100mmHg。嗜睡,不完全运动性失语,左侧中枢性面舌瘫,左侧肢体肌力0级,左侧巴氏征阳性。NIHSS评分15分。
》头CT(17:00)示右侧大脑中动脉M1及M2段高密度征。
》急查血常规、凝血四项、肝肾电糖。
》签静脉溶栓治疗知情同意书。
》17:50给予阿替普酶静脉溶栓,5mg静推,余45mg持续泵入。
》18:00家属同意行急诊DSA+血管内治疗。
》18:30股动脉穿刺。
》20:30结束手术,送神经内科ICU,给予丙泊酚泵入镇静(持续24小时),乌拉地尔持续泵入控制血压在110/70mmHg左右。
》48小时后转入普通病房,NIHSS评分4分。
》13天出院, NIHSS评分3分。
▼右侧大脑中动脉高密度征



▼M2段栓子

▼将微导管置于右侧大脑中动脉M1段远端,缓慢注入5mg阿替普酶,5分钟后造影见局部血管再通,远端分支显影良好。

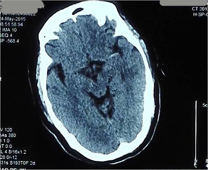
Case3 椎动脉开口支架置入
》男,68岁,有长期吸烟史。
》6:30突发晕厥1次伴头晕,7:00到急诊。7:30突然发作肢体抽搐伴意识不清。于8:10收入神经内科ICU。
》查体:血压140/60mmHg。中度昏迷,双侧瞳孔散大,光反应消失。四肢肌张力增高,去脑强直状态。双侧巴氏征阳性。NIHSS评分35分。
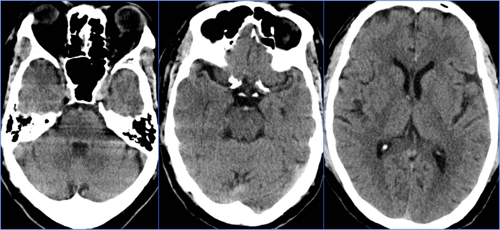
》昏迷前头CT检查(7:22)未见明显异常。
》昏迷后行头MRA检查。
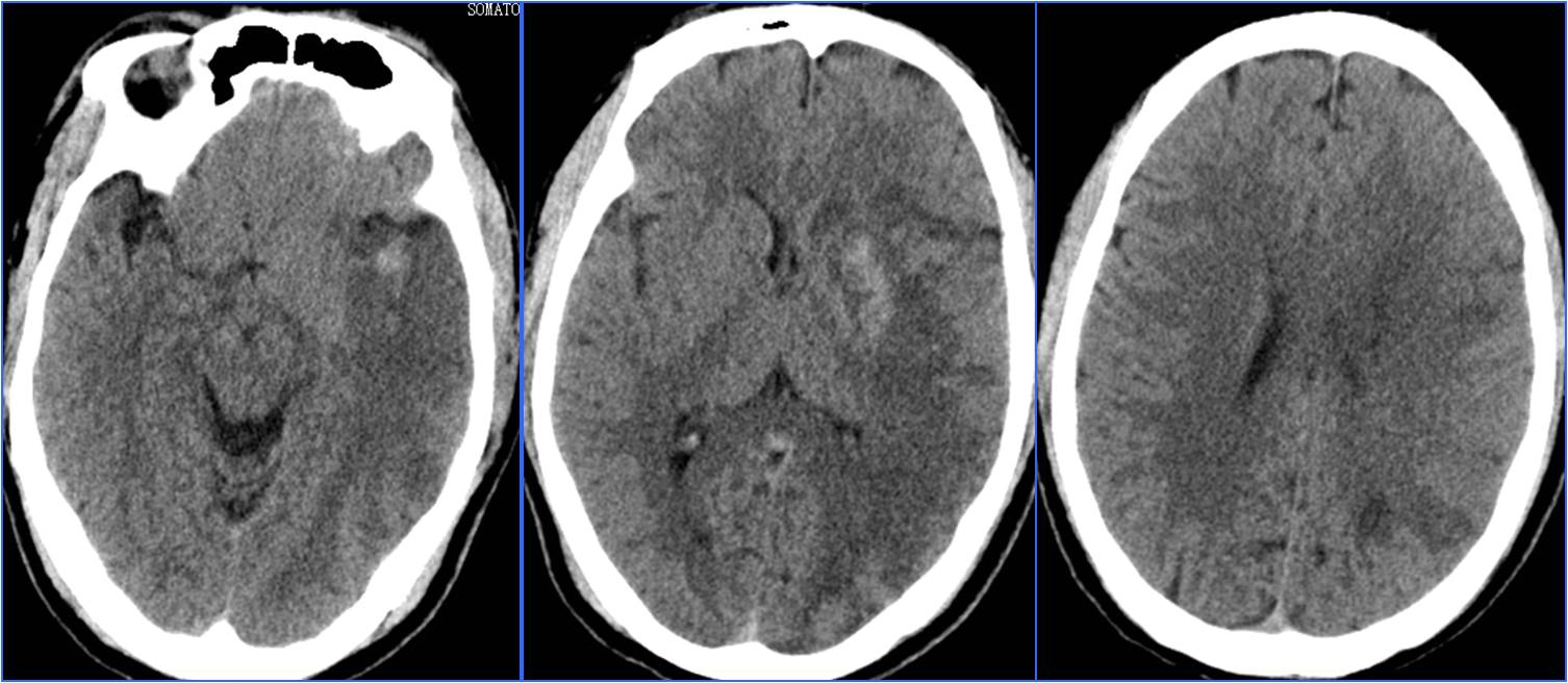
▼7:22头CT

▼8:36头MRA


》急查血常规、凝血四项、肝肾电糖。
》签署静脉溶栓+动脉溶栓治疗知情同意书。
》8:54给予阿替普酶静脉溶栓,5mg静推,余45mg持续泵入。
》10:00股动脉穿刺。行气管插管全身麻醉。



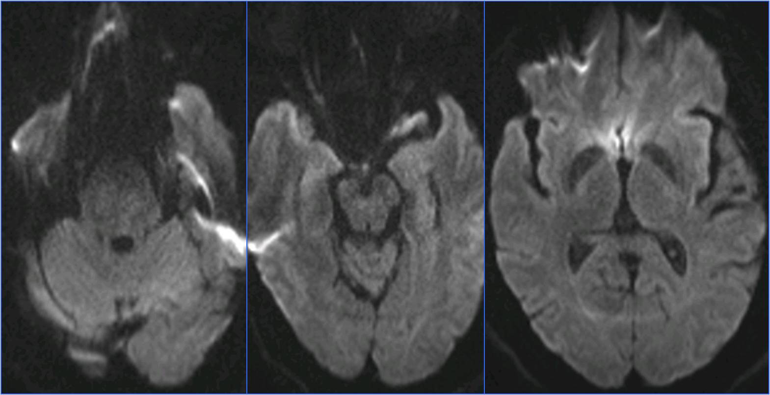
▼于基底动脉远端及双侧大脑后动脉,分次给予阿替普酶共计5mg。


》12:10结束手术,带气管插管返回神经内科ICU。给予乌拉地尔持续泵入控制血压在110/70mmHg左右。
》第二天6:00出现中枢性高热,体温40℃。3天后转入普通病房。
》20天后出院,NIHSS评分5分。
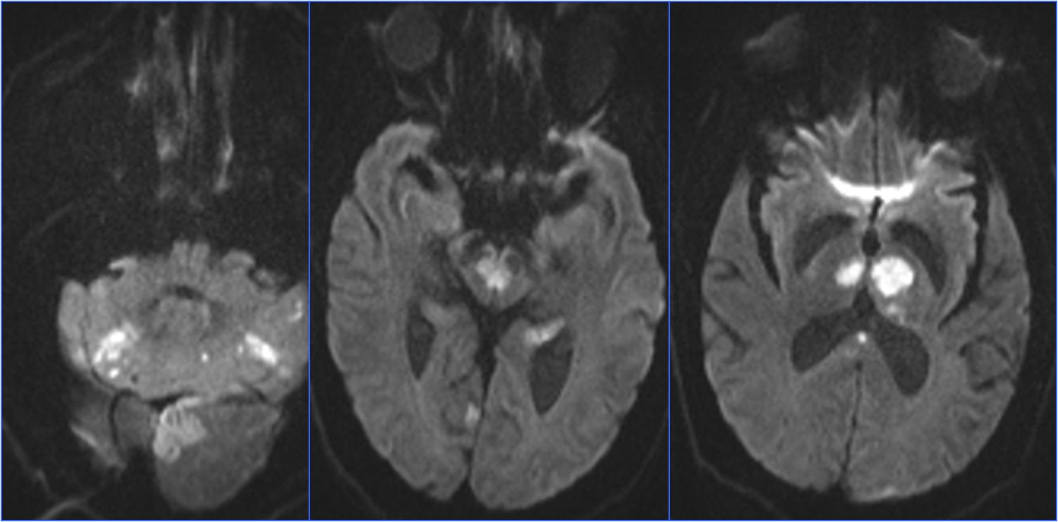
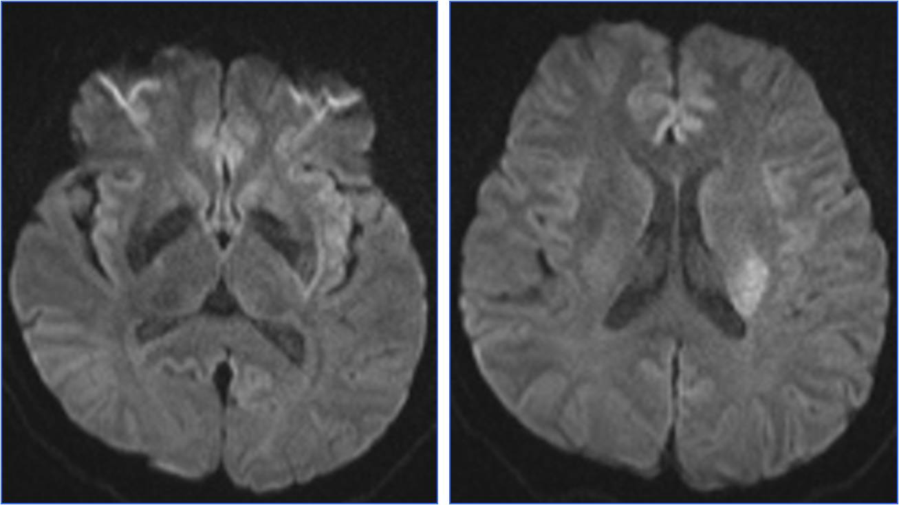
▼溶栓后MRI

Case4 基底动脉支架置入
》男,60岁。既往高血压病史。
》因“言语不清、右侧肢体无力1小时”于9:00到急诊就诊。
》查体:血压140/90mmHg。神志清,运动性失语,右侧肢体肌力3级,右侧巴氏征阳性。NIHSS评分6分。
》头CT检查未见出血(9:19)。
》急查血常规、凝血四项。
▼9:19头CT

》9:50给阿替普酶静脉溶栓,5mg静推,余45mg持续泵入。
》半小时内患者症状完全缓解。
》11:00突发意识不清。
》11:11复查头CT。
》11:56头MRA。
▼11:11复查头CT

▼11:56头MRA


》准备介入血管内治疗,患者症状自行缓解。后又加重,症状波动2次。
》13:22进入导管室行血管内治疗。行气管插管全身麻醉。
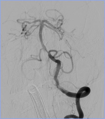
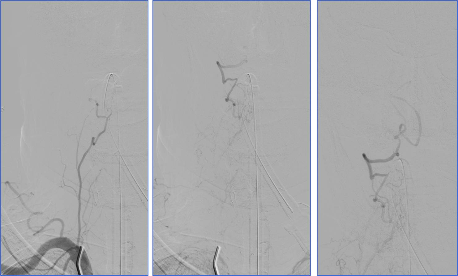
》DSA见基底动脉闭塞,Solitaire支架取栓后见基底动脉重度狭窄,Gateway球囊扩张,置入Wingspan支架。
》术后24h完全恢复,NIHSS评分0分。
▼13:49DSA

▼支架取栓后基底动脉残余重度狭窄

▼基底动脉支架置入术

▼4天后复查MRA

针对行急诊支架置入的患者
指南:负荷量阿司匹林300mg+氯吡格雷300mg
经验:替罗非班(血小板Ⅱb/Ⅲa受体可逆性拮抗剂)
用法:静推负荷量10μg/kg,然后维持12-24小时。
手术结束后常规行C臂CT扫描。
三
术后管理
重点:避免再灌注损失/出血转化
全麻患者不醒麻醉,局麻患者持续镇静
控制血压:硝普钠、乌拉地尔
抗血小板药物:急诊支架置入者阿司匹林100mg+氯吡格雷75mg
抗凝药物:急诊支架置入者低分子肝素0.4ml Q12H×3天;房颤者24h后给予华法林。
按照AIS相关指南处理。
颅内出血转化:术后24h内行影像学检查以明确有无颅内出血。症状性颅内出血是指颅内任何部位出血并且NIHSS评分≥4分。
过度灌注综合征:控制血压低于基础血压20-30 mmHg水平,但不应低于90/60mmHg;并发脑水肿时,给予甘露醇脱水,必要时行去颅骨瓣减压术。
2014年至今,急诊血管内治疗37例;出血转化6例,3例非症状性,3例症状性,其中2例行去骨瓣减压术。
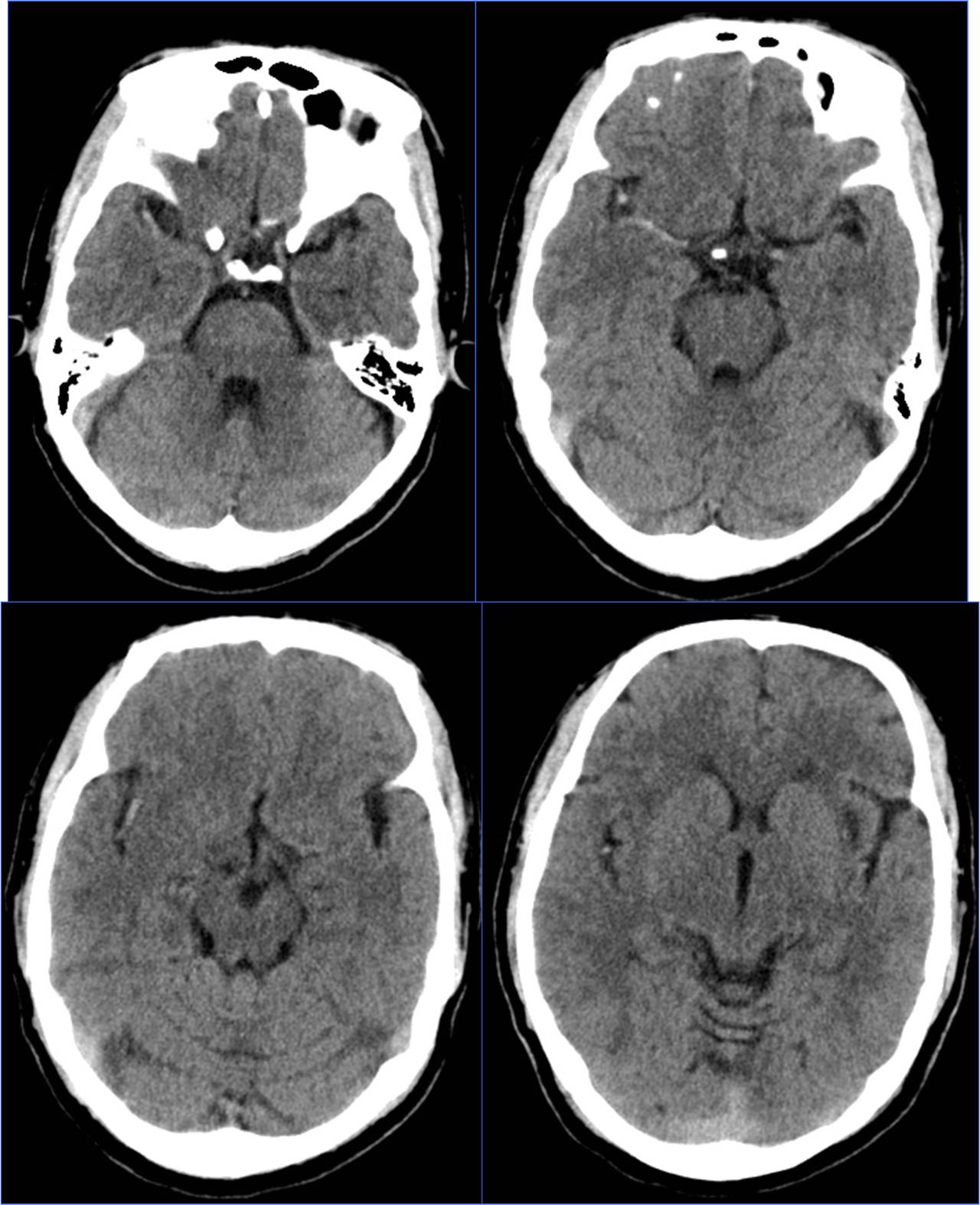
Case5 术后过度灌注、出血转化
》47岁,男,既往吸烟史20年
》12:00末次正常,15:00被发现言语不清、右侧肢体无力
》18:30到达急诊科,NIHSS 14分
》18:39完成头CT检查,19:28头MRA检查
》19:50行股动脉穿刺
》21:48结束手术
》术后24h NIHSS 8分
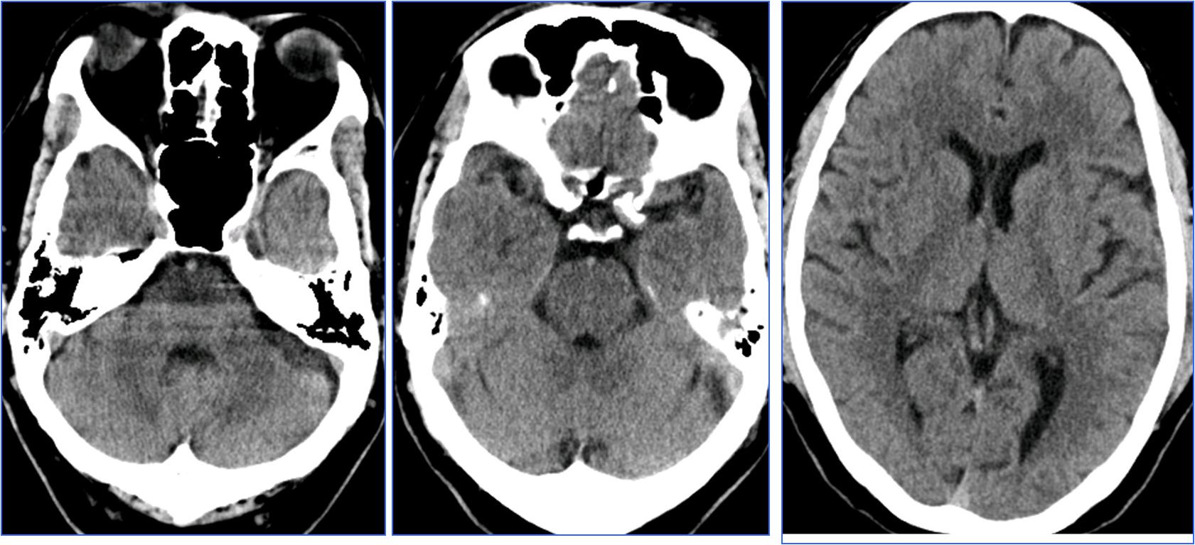
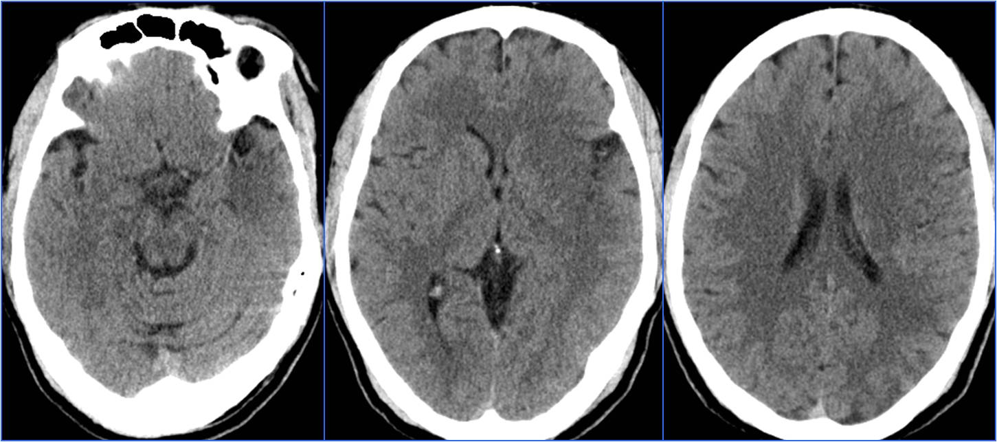
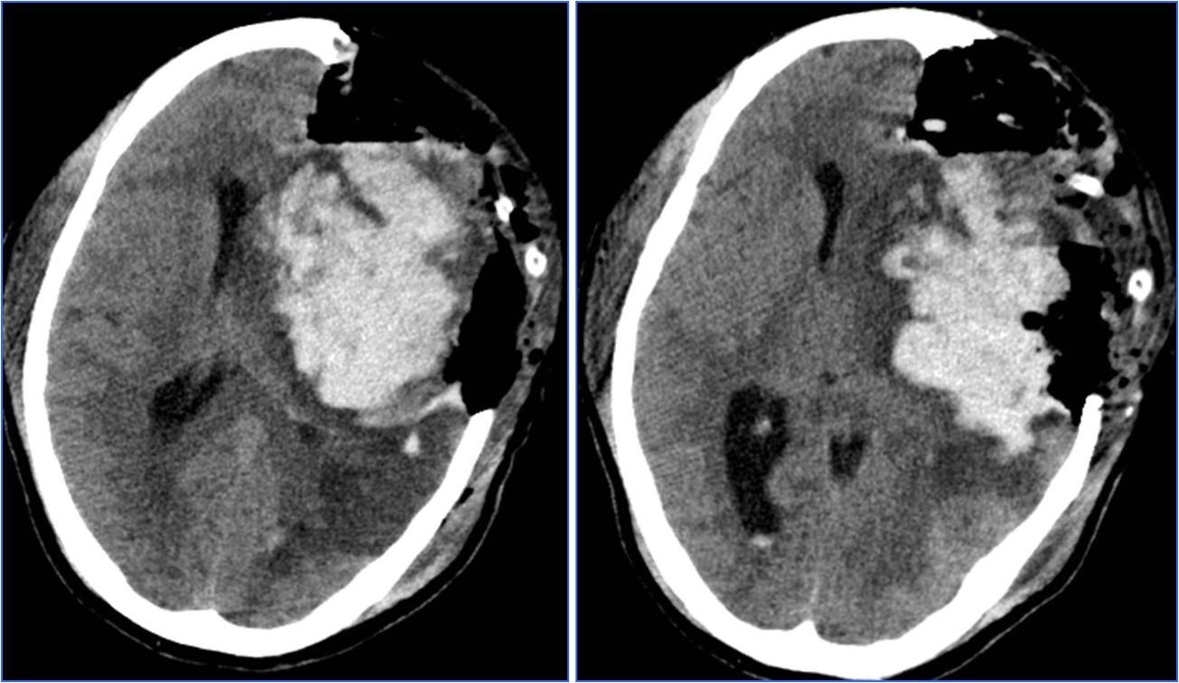
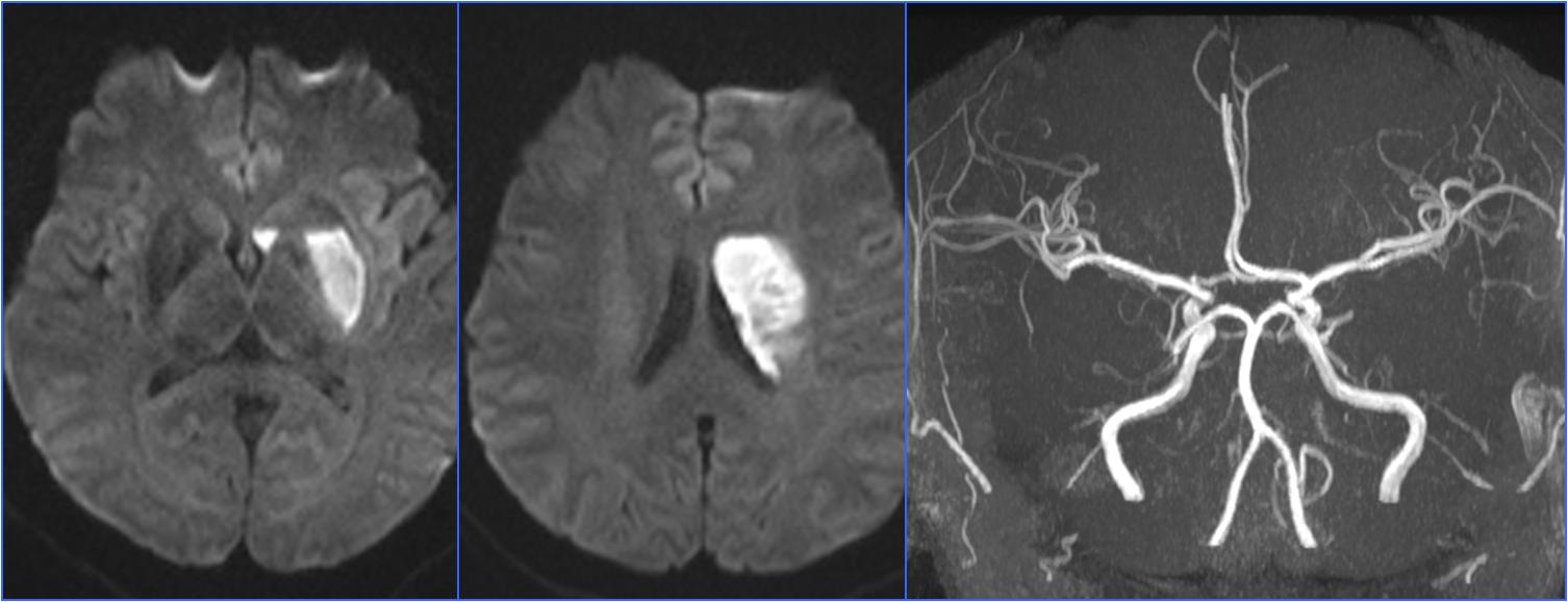
▼术前CT

▼术前MRA

▼术中给予替罗非班

▼术后24h头CT

▼术后72h 病情恶化,脑疝形成

▼去骨瓣减压,死亡

呼吸功能衰竭:卧床、吞咽功能障碍、意识障碍造成的肺部感染。
心功能不全、心源性猝死:心脏基础疾病。
Case6 术后呼吸功能衰竭
》54岁,男,既往脑梗死、高血压病、糖尿病
》因头晕伴呕吐2天,9:50到达急诊
》10:08完成头CT检查
》15:30突发心跳骤停,行心肺复苏、气管插管
》NIHSS 30分
》15:55头MRA检查
》17:00行股动脉穿刺
》18:50结束手术
》术后24h NIHSS 10分
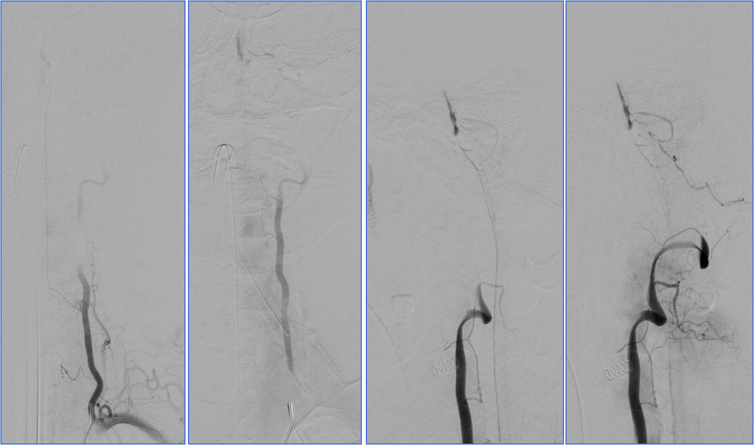
▼左椎动脉颅内段闭塞,脊髓前动脉代偿

▼右椎动脉颅外段闭塞

▼取栓后左椎动脉V4段残留狭窄

▼球囊成形,狭窄改善,不能维持

▼Wingspan支架置入

》11.30 13:00拔气管插管后不能呼吸,呼吸动度差,面部青紫,重新插管,spO2最低20%,意识不清,2小时后恢复。
》12.3 10:00再次拔管后仍不能呼吸,插管
》12.3 16:00行经皮气管切开。
》12.5 转普通病房后因血压高应用硝普钠后血压降至50mmHg,呼吸困难,青紫,昏迷,应用呼吸机后意识恢复。
》12.14自动出院,12.15死亡
Case7 肥厚型心肌病、心源性猝死
》71岁,男,既往肥厚型心肌病
》15:50突发言语不清、右侧肢体无力
》16:09完成头CT检查
》NIHSS 10分
》17:20行股动脉穿刺
》18:50结束手术
》术后即刻 NIHSS 5分
》术后6小时突发心跳骤停,抢救无效死亡

LAA:抗血小板、他汀药物,控制危险因素
CE:抗凝,外科手术
其他原因所致的缺血性卒中(SOE)
不明原因的缺血性卒中(SUE)
Case8 风心病、心脏瓣膜病脑栓塞
》58岁,女性,既往风心病、房颤、心脏瓣膜病
》因“活动后心慌胸闷5年”于心外科住院,拟行心脏瓣膜置换术
》12:30出现言语不清、左侧肢体无力,NIHSS 18分
》13:00完成头CT检查
》请神经内科会诊,转科 Ø14:00行股动脉穿刺
》15:15结束手术
》16天后出院,NIHSS 2分


再发脑栓塞
》6月份行二尖瓣、主动脉瓣置换术
》7:50出现言语不清、左侧肢体无力,NIHSS 25分
》9:10完成头CT检查
》9:35行股动脉穿刺
》10:05结束手术
》10天后出院,NIHSS 3分
》原因:服用华法林不达标,INR 1.31

Case9 房间隔缺损脑栓塞
》女,29岁,既往健康
》8:10突发言语不清、右侧肢体无力
》9:05分到达急诊科,NIHSS 10分
》9:26完成头MRA检查
》10:35行股动脉穿刺
》10:58血流重建 11天后出院,NIHSS 0分
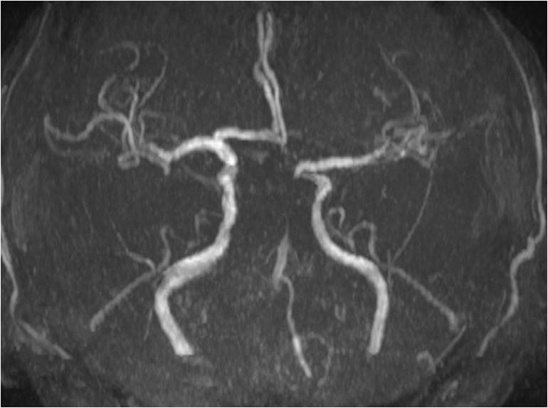
▼术前头MRA



▼术后24小时CT

》查找病因
》TCD发泡试验提示右向左固有型大分流
》经食道超声提示房间隔缺损大小约8mm
》转心外科行微创房间隔缺损封堵术

Case10 不明原因脑栓塞
》女,43岁。既往健康。
》15:30突发言语不清、右侧肢体无力
》16:30分到达急诊科,NIHSS 22分
》16:44完成头CT检查
》16:55阿替普酶静脉溶栓
》18:17行股动脉穿刺
》18:53血流重建
》12天后出院,NIHSS 0分


▼术后24小时头MRA

》查找病因
》肥胖,长期坐位工作
》颈动脉超声、心脏超声未见异常
》胸部CT未见异常
》血糖、血脂、同型半胱氨酸正常
》TCD发泡试验提示右向左潜在型小分流

春天来了,前途光明
谨慎前行,避免一哄而上
减少院前延误,全社会参与
减少院内延误,完善绿色通道
围手术期管理,诸多环节需要明确
神经介入中心展示
135编辑器
135编辑器提供非常好用的微信图文编辑器。可以随心所欲的变换颜色调整格式,更有神奇的自动配色方案。

