“上周我们单位组织体检,我查出来有一个肺小结节,我这几天老是想着这个事,弄得我都焦虑了。”
“那你问问医生能不能做微创手术切除呢?不过切除了有没有复发的可能性啊?”
1.发现肺部磨玻璃结节必须“一刀切”吗?
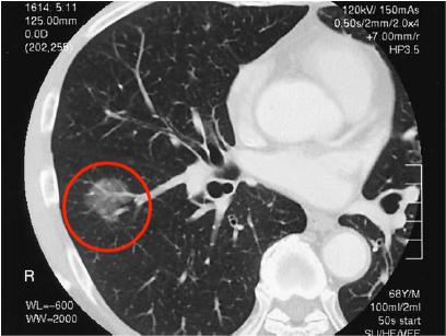
磨玻璃结节是指在胸部薄层CT扫描时发现密度增高的、云雾状的箔片影或者类圆形的结节,因为看上去像磨玻璃样,所以称为磨玻璃结节。
下图就是一个典型磨玻璃结节

现在磨玻璃结节的检出率也在逐年增加,也提高了临床治疗的需求。很多患者在发现磨玻璃结节时都会很着急,第一时间寻求医治,因为他们大概知道磨玻璃结节是不太好的东西,都希望医生能做手术将其切掉,但是却忽略了长期随访这个重要选择。
每个患者的状况不一样,医生可根据病灶大小、密度,是否侵犯血管或胸膜,是否有纵膈淋巴结或支气管转移来判断其恶性程度。对于绝大部分磨玻璃结节患者来说,第一时间的手术其实并不合适,它往往需要随访的过程。对于密度高、形态不规则、中央实性成分>0.5cm等恶性程度明确的磨玻璃结节,应该选择第一时间手术或其他微创治疗。
总之,在医生的判断下,没有明显恶性病变征象的磨玻璃结节,一般建议进行随访,随访时间根据病灶性质来决定,随访过程也有助于医生去判断患者到底需不需要手术。
2.磨玻璃结节的三大治疗方案
如果确定了磨玻璃结节达到了手术的指征,或者是患者内心十分焦虑,影响到日常生活,强烈要求治疗,那么可以考虑以下三种方案:
1、手术
外科手术是最传统的治疗方案,随着医学技术的发展,外科治疗已经从既往的肺大叶切除发展成现在的单孔胸腔镜手术,有效减少肺切除体积,更好地保留肺部功能。
但是,随着磨玻璃结节的患者越来越年轻化,发病率趋势也越来越明显,许多患者在切除手术后又会复发多个磨玻璃结节。
这类患者的治疗非常麻烦,若反复进行手术,肺部功能是会明显下降的。由于每个患者肺功能储备有限,因此无法反复进行多次切除,这也是外科切除术最大的弊端。
2、放疗
对于恶性磨玻璃结节患者来说,另一个治疗方式就是立体定向放疗(SBRT)从疗效来看,放疗的局部控制率和5年生存率与消融手术非常接近。但是,放疗必须要事先穿刺取样,经过病理诊断之后判断磨玻璃结节的性质,确定恶性才能进行治疗。
3、热消融
最近几年,随着热消融技术的发展和广泛应用,特别是微波消融术已经成为越来越多无条件手术者的选择,其治疗效果也非常不错。
对于肺结节的微波消融术,可分为以下两种治疗方式:
一、经CT/MRI引导下的经皮微波消融术
在 CT 或 MR 的引导下,把微波消融细针直接穿刺到结节部分,发射出来的微波能量在结节内迅速升温,当温度升到 60℃左右时结节组织就会被“烤死”,同时对其他组织的影响非常小,从而达到治疗的目的。

二、经纤支镜/磁导航引导下的微波消融术
以无创的手段(经人体自然腔道,即气管、支气管)进入肺内,在纤支镜或电磁导航的引导下达到肺内病变部位,并将微波消融软针插入目标病变进行局部消融治疗。

目前,微波消融术在肺结节的治疗中基本都能取得跟外科手术类似的局部控制效果,国内临床以微波消融的使用率和普及情况更佳。下面来看一组病例:


女性,72岁,多发磨玻璃结节,有行外科手术切除史穿刺活检同步微波消融。
写到最后:发现磨玻璃结节不要慌,不是所有磨玻璃结节都必须手术的,就算不幸中招,也有相应的治疗方案,不要焦虑,保持良好的心态和规律的生活习惯。
文章图片来源于网络,版权归原作者所有,如有侵权,请及时联系我们以作处理