虽然牙齿是人体最坚硬的一部分,它承担了人们的咀嚼、发音、美观等功能,但是面对外力的重大冲击,依然难以承受;
另外牙齿一旦受到牙菌斑、牙结石的腐蚀,也会对坚硬的牙齿产生巨大的伤害,到最后可能只剩牙根部分了!

1、蛀牙不及时治疗,最后剩残根
众所周知,口内的环境非常复杂,日常中人们对口腔清洁的意识欠佳,就给了牙菌斑繁殖的机会。
久而久之,牙菌斑对牙齿进行侵蚀,则会出现蛀牙,但在初期都不会得到大家的重视,最后逐渐发展至深龋,甚至于只剩下残根部分。

2、受到外伤冲击,只剩残根
生活中牙齿不小心被磕到,或者撞击,这种情况更容易导致把牙冠撞断只剩下牙根部分。如果不及时做修复,牙釉质或者牙体失去保护,使牙髓腔等暴露在空气中,更容易受到菌斑的感染,引发一系列口腔疾病。

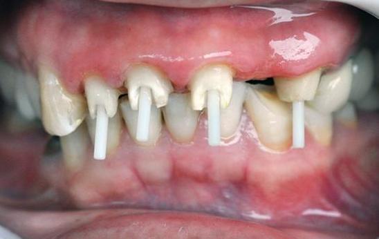
由于一些口腔疾病、不可抗拒的外力因素致使牙冠缺失只剩残根,但不要轻易拔掉!很多情况下,残根是可以通过修复治疗的!
因为,牙根是被牙槽骨包围着,一旦牙根被拔除则失去了咀嚼功能,那么牙槽骨失去了支撑和刺激会逐渐萎缩,最后脸部也会随之塌陷,面容显老!

牙齿残根在什么情况下能保留?什么情况下要拔除?
1、如果是儿童在乳牙期,应该要及时拔除,以防影响恒牙的萌出;
2、恒牙牙根尖病损较大、牙周病变情况严重,对口腔粘膜长期产生慢性刺激的残根也要考虑拔除;
3、但如果残根没有牙周状况良好,可先做根管治疗后,再判断是否可以进行桩冠修复;
4、残根邻牙也有轻微受损的情况下,可利用治疗后的残根做冠状固定体后用活动假牙覆盖,可以减缓牙槽骨萎缩,还有利于牙齿咬合力传导,防止义齿下沉,起到稳固的作用。

总而言之,天然牙能保留尽量保留,残根的作用也不小的,不要轻易拔除!祝大家拥有一副健康、漂亮的牙齿。
当然了如果能防患于未然,就会避免很多口腔问题的发生,所以日常口腔清洁非常重要,有任何不适不要拖延,要及时就医!