来源:超声 作者:梅泉
导语:临床中诊断和处理盆腔积液时,应结合疾病及患者的年龄、病史以及体重指数等进行综合评价,切忌盲目抗炎治疗
常常有女性朋友拿着B超单主动要求医生给予抗炎治疗,原因竟是——盆腔积液,有时候让医生左右为难,类似情况临床上屡见不鲜。更有甚者质问医生:“医生,我输液一周为何盆腔积液没有减少,是不是用的药物没有效果?”。
Why?其实正确诊断及处理盆腔积液一直是医患双方的困惑,临床上因对疾病不了解可能造成无谓的恐惧和医疗资源的浪费。

生理性盆腔积液
超声显示子宫和两侧附件声像图正常,盆腔积液深度<20mm,其原因可有以下几个方面:
①腹膜分泌少量浆液,可保护脏器表面和减少脏器之间的磨擦;
②排卵期,即卵泡破裂,子宫直肠陷窝或卵巢周围少量积液无回声区,可能系卵泡破裂后卵泡液的积储所致,亦有认为系腹膜对排卵的反应;
③月经和药物流产后,月经血倒流致少量盆腔积液。
对于无妇科疾病、无症状的女性来说,超声检查发现盆腔游离液体可属于正常现象,但并不是说,所有的盆腔积液都属于生理现象。研究结果提示,年龄越大, 盆腔积液量越多;体重指数越大, 盆腔积液量越少;子宫腺肌病患者盆腔积液量增加;输卵管积水患者盆腔积液量减少。

病理性盆腔积液
①异位妊娠流产或者破裂:
是妇产科常见的急腹症,病人突感下腹一侧剧烈疼痛, 超声于子宫直肠窝内见边界不规则的液性暗区,如出血量较多者,积液不仅局限于盆腔深处,并可波及腹腔,在腹部显示暗区,其间有肠管漂浮、后穹隆或腹腔穿刺液均为不凝血、两者需注意鉴别 异位妊娠多有停经史和不规则阴道流血,β-hCG检测升高,子宫可轻度增大,附件区可见边界模糊 且不整齐的杂乱回声团块。
②滤泡或者黄体破裂:
患者无停经史,无不孕史,腹痛多发生在月经中期或者下次月经之前,血β-hCG检测正常,超声检查子宫大小正常,宫内无妊娠囊,盆腔多数亦不能探及肿块。
③盆腔炎性疾病:
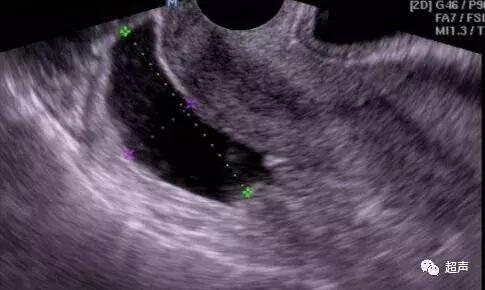
是妇科的常见病,盆腔炎大多发生在性活跃期,有月经的妇女。炎症可局限于一个部位, 也可几个部位同时发病,最常见的是输卵管炎和输卵管卵巢炎, 单纯的子宫内膜炎或卵巢炎少见。盆腔炎有急性和慢性两类,盆腔炎时随着病程的进展可以形成炎性浸润、水肿、粘连、包裹性积液、坏死积脓等病理表现。
急性盆腔炎可表现为急性输卵管炎、输卵管积脓、输卵管卵巢囊肿、急性盆腔腹膜炎、盆腔内可因发炎腹膜的充血水肿致少量浆液纤维渗出,往往局限于子宫直肠陷窝处形成脓肿,附件区可有包块。盆腔脓肿往往有发热、腹痛、肛门坠痛等,白细胞计数增高。一侧附件区见规整或不规整的无回声或混合回声包块,与子宫盆腔脏器粘连。严重者子宫轮廓显示不清,甚至受压移位。当输卵管脓肿与陷窝脓肿并发时,整个盆腔见形态不规则的低回声区或低回声区间相通,边界模糊,内回声杂乱,穿刺为脓汁。
慢性盆腔炎表现为输卵管积水,炎性囊肿和肠腔与网膜粘连等混合性肿块图像,盆腔积液较多时可连成一片包围在子宫的周围,附件区可有囊性或混合性囊性肿块、穿刺液为淡红、微混、稀薄甚至脓液。炎性渗出积液表现于月经前后或月经中,或发生于流产术后引起腹痛。伴随子宫增大,子宫及附件回声减低,结构紊乱。尤以子宫旁结缔组织炎时积液量显著,可包围子宫, 使子宫漂浮其中似“吊床征”。抽液为淡黄色,性质为渗出液。
④卵巢肿瘤:
⑴ 恶性肿瘤病程短, 生长迅速, 向盆腔浸润,常伴有腹水,多为血性,可能查到癌细胞,液性暗区内有杂乱光团、光点,肿块界限不清。恶性肿瘤腹膜转移性腹水,常可使肠壁粘连,固定于腹后壁;
⑵ 常见于卵巢纤维瘤(fibroma),患者常常伴有腹水或者胸水,称梅格斯综合征(Meigs syndrome),腹水经淋巴或横膈至胸腔,右侧横膈淋巴丰富,古多见右侧胸水。手术切除肿瘤后,胸水、腹水自行消失。
⑤多囊卵巢综合征:
常见症状有多毛、肥胖、不孕、月经失调等。声像图显示子宫小于正常,两侧卵巢均匀性增大,比正常大1~3倍,呈蜂窝状改变,内见多个大小不等圆形无回声区,多数直径 <5mm, 数目多>10个,子宫直肠陷窝和结肠旁沟可有少量积液。

⑥卵巢过度刺激综合征:
主要是由于促超排卵行卵巢刺激后诱发多个卵泡发育和成熟引起的一种严重医源性并发症,其病理基础是卵泡发育异常增大,过剩的雌激素使毛细血管通透性增高,出现胸水腹水等,重者可出现大量胸水、腹水,超声可见卵巢呈多房性改变,囊内透声好。
⑦结核性包裹积液:
有结核性腹膜炎病史,伴有不孕、闭经。盆腔见囊性或低回声肿块, 形态多不规则,边界较模糊, 壁厚不光整,其最大前后径不在中央。积液内( 包裹性腹腔积液) 可有增粗之光带或光点回声颤动。周围以粘连的肠管为壁,抽液为黄色, 性质为渗出液。
⑧巧克力囊肿:
宜即子宫内膜异位囊肿。有较规律的周期性痛经、不孕史,病史较长。积液可位于一侧附件区, 位置偏低, 壁较厚、毛糙固定。其内见弱光点回声,悬浮( +)。抽液为咖啡色。
⑨肝脏疾病合并腹水:
常见于肝硬化及肝癌。
⑩无临床症状的积液:
经随访1~3个月,未找出积液发生的原因。
盆腔积液的处理
临床中诊断和处理盆腔积液时,应结合疾病及患者的年龄、病史以及体重指数等进行综合评价,切忌盲目抗炎治疗。