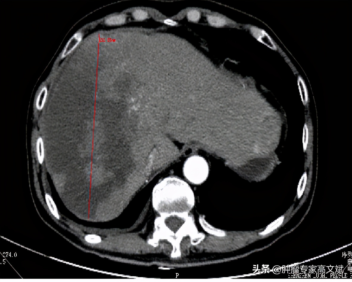
患者老陈今年58岁了,10个月以前在外院发现肝右叶占位,临床诊断为原发性肝癌,由于没有手术治疗的机会,患者在外院实施了一系列的非手术治疗,包括PVL、TACE治疗等,还口服了仑法替尼靶向治疗了2个多月。患者这边的治疗是一刻也没有停,肿瘤那边是生长也一直没有停,就这样患者来我们科的时候,肝右叶肿物较前已经是明显的增大、增多,肝右叶最大的肿瘤已经是16.2cm×10.7cm×9.5cm大小,静脉癌栓也增多,双肺出现了新发转移灶。由于持续性的治疗,患者对于治疗已经失去了信心,只是要求别让他太疼痛即可,茶不思饭不想的他已经不期待什么治疗的疗效了。



看着患者的一般情况还好,所谓的身体状况不佳主要还是前边治疗的不良反应所导致的。我们还是决定给患者实施一个单药的免疫治疗来控制肿瘤的生长,又不过分增加患者的不良反应。就这样患者也接受了我们的建议,我们为患者实施了国产的免疫制剂卡瑞利珠单抗(艾瑞卡)200mg,每2周一次使用。让我们没有想到的是,患者治疗2个周期以后,肿瘤标志物AFP出现了陡坡样的下降,肝脏疼痛也出现了缓解,每天躺在床上的老陈已经开始下床活动,饮食量等情况也明显的改善,对于治疗患者也有了明显的信心。就这样,治疗了8个周期以后,老陈的肝脏肿瘤明显缩小了,肺内转移灶也有消失,肿瘤标志物则是更早地恢复了正常,止痛药也完全的不再使用了。对于老陈来说,剩下的事情就是每月来罗湖医院肿瘤科输注两次卡瑞利珠单抗(艾瑞卡)就可以了。



说起老陈使用的药物卡瑞利珠单抗(艾瑞卡),其实就是这些年来在肿瘤界名气很大的免疫制剂,这个药物更加可贵之处在于他是一个完全由我国自主研发的创新药物。卡瑞利珠单抗(艾瑞卡)在其前期研究中,共计纳入190例晚期肝细胞癌患者,治疗组的有效率高达46%,75%的患者生存时间超过1年,中位的总生存时间也达到20.3个月,更为难能可贵之处在于,卡瑞利珠单抗联合阿帕替尼在晚期肝癌的二线治疗的相关数据也一点不差于一线治疗,这也就是说,对于以往实施过治疗失败的患者,采用卡瑞利珠单抗仍然可以获得很好的治疗效果,这样的情况也是既往任何治疗方案难以达到的结果。
