“牙齿好黄,尤其涂了口红,都不好意思笑了。”
多少人会有这样的困扰呢:牙黄!

牙黄
印象中邻居小姐姐一直是个高冷的人,倒也不是成天板着个脸,只是不太喜欢笑,更不会大笑:嘴唇一抿,嘴角一勾,多少有点皮笑肉不笑的感觉。
结果“高冷”的小姐姐无奈的说:成天绷着,脸都僵了,但是牙齿太黄,不好意思笑,想去洗个牙看能不能变白。

贴面
洗牙似乎是万能的:牙黄怎么办?洗牙!牙疼怎么办?洗牙!长虫牙怎么办?还是洗牙!
但是洗牙真的这么神奇吗?
洗牙只是对牙齿表面进行清洁,比如牙结石,软垢,色素等问题可以通过洗牙解决。至于牙齿的其他问题,比如虫牙(龋齿),简单的洗牙是没有治疗作用的!

色素沉着
说回今天的主题:牙齿发黄,可以通过洗牙解决吗?
首先我们要清楚牙齿不白,是哪些因素造成的。
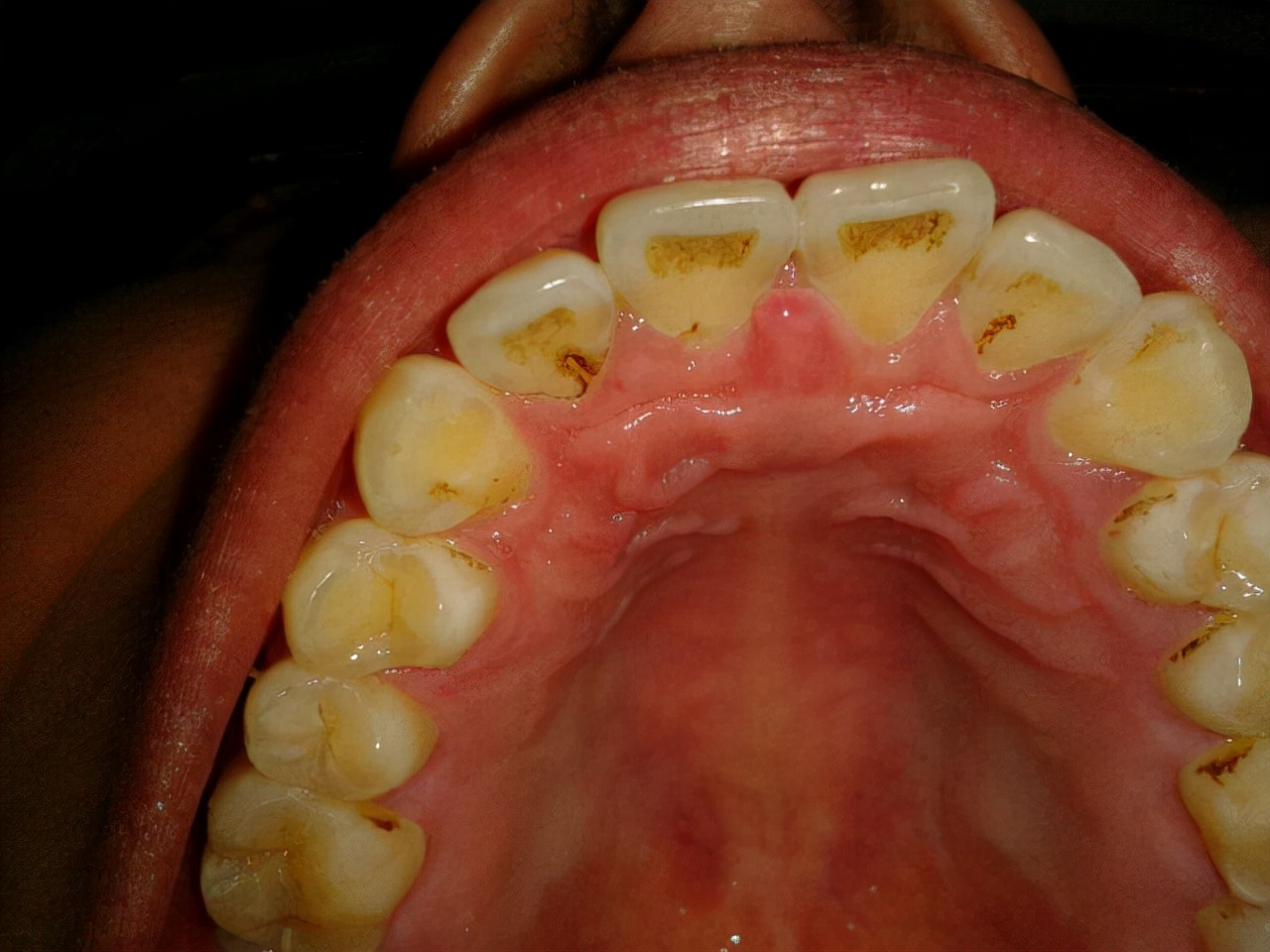
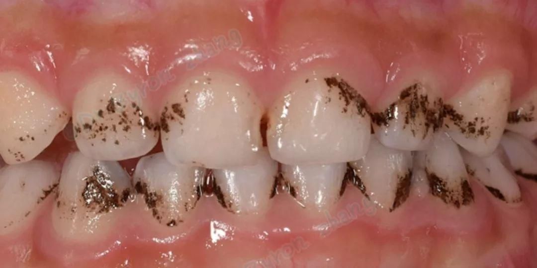
第一个,色素沉着。
色素沉着常见于抽烟、喝茶、喝咖啡、喝中药等人群,色素沉着堆积在牙齿上,看起来牙齿就是黑黑的,一般色素会附着在舌侧或者唇颊侧,牙刷不能刷下来,可以通过洗牙进行清洁。
小朋友也会出现色素沉着的情况,也是可以洗牙的。

黑色素

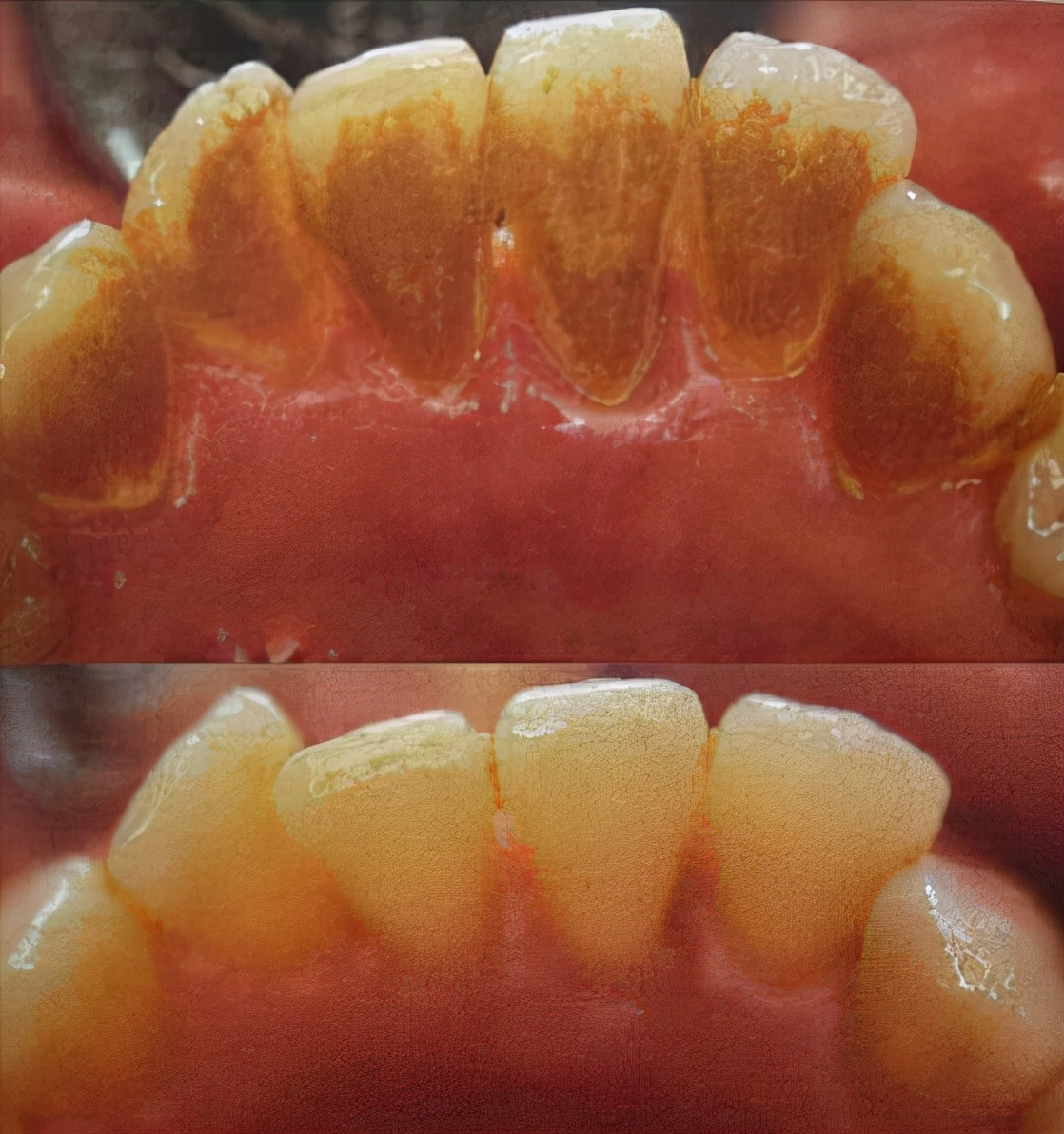
色素-洁牙前后对比
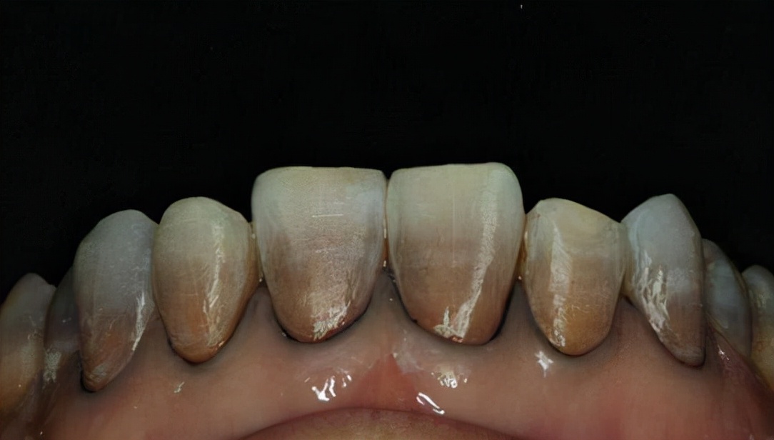
第二个,氟斑牙和四环素牙。
氟斑牙多发于高氟地区,主要是饮用水中含氟量过高导致的,在牙釉质发育期摄入过多的氟,就会导致氟斑牙。氟斑牙轻度表现有点类似脱矿,牙齿表面出现白色斑块,影响美观;到了中度,白色斑块有色素沉淀,变成棕褐色;重度情况下,牙齿上的斑点面积变大,出现缺损,牙齿失去光泽。
所以小朋友并不适用含氟牙膏,家长可以通过带小朋友定期涂氟,给小朋友使用不含氟的护牙素来预防虫牙(龋坏)。

氟斑牙
四环素牙也是因为长时间摄入过量四环素导致的一只口腔健康疾病,呈棕褐色或深灰色。
这两种牙齿不白或者是太白的情况,属于牙齿内部的问题,单纯的洁牙无法改善。

四环素牙
如果觉得对美观性的影响太大,建议可以通过牙齿贴面的形式来解决。
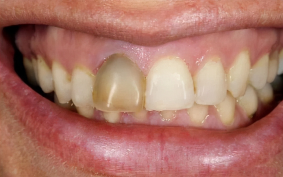
第三个,牙源性发黄。
在我们生长发育的时候,每颗牙齿都有自己的脾气,大部分人群的牙本质就是偏黄,所以即使牙齿健康,认真刷牙,颜色看上去也发黄。随着年龄增长,牙齿发黄会更加明显,想要牙齿变白,就只能选择美白,单纯洗牙是没有效果的。

黄牙
洗牙可以使牙齿变干净,让牙龈更健康,但是不能让牙齿变白喔!
一般情况下,健康的牙齿颜色是稳定的:整体是淡黄色,像通透的玉石,隐约透露出一点牙本质的质地,小*牙虎**会比其他牙齿偏黄一些。
但是如果出现个别牙齿颜色不对劲,甚至隐约透出黑色,那就可能是出现了牙髓疾病,一定要尽快拍片检查!

死髓牙
我们一般建议每半年做一次口腔检查,见一次牙医,让牙医为你的口腔健康保驾护航,把所有的牙齿问题扼杀在摇篮里。