不得不说国人对牙齿保护的意识真的是有很大的提升空间,不过现在政府也在做这方面的努力,比如在幼儿园小学推广免费的窝沟封闭等,可以说00后这代牙齿健康会提升到一个新的高度。
今天来说说最基本的洗牙

洗牙的费用
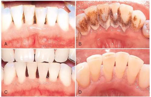
洗牙的费用根据地方消费不同以及洗牙的方式不同,价格也不等,从几十到几百都有,目前我国洗牙方式主要以手动器械洗牙、超声波洗牙和喷沙洗牙为主。

手动器械洗牙就是医务人员用洁牙工具将你牙齿中的软垢结石等一点点刮掉;超声波洗牙主要是通过超声波振动来清除顽固牙石;而喷沙洗牙是利用快速喷出的细盐微粒来清洗牙齿。
对于牙结石特别多的人有的医院会加收费用,因为结石多的人需要花更多的时间,有些一个半小时都洗不干净;而经常洁牙,牙周比较干净的一般四十分钟甚至更少时间可以搞定。
做龈下深层洁治一般是要比只做龈上洁治贵的、无痛要比普通贵。
有些诊所是不做龈下洁治的,但是龈下其实更藏污纳垢一点,特别是没有洁过牙的,建议做一下龈下洁治。有些小诊所是因为不会所以不做龈下,只做龈上洁治的话,时间会更快,一般半小时左右就可以做完。

无痛更贵是因为无痛的洁牙设备是不同的,针尖更容易坏,而且针尖很贵。
洁牙完了一般会上一些消炎药,上碘甘油的话一般是免费的,上牙周宁之类的会加收费,牙周炎症比较严重的用牙周宁之类的药效果更好。
洗牙的时间
时间上没有具体规定,一般抽烟频繁的人建议一年两到三次,有些不抽烟不喝酒刷牙也比较认真的人一年一次也可以,这个主要靠自己观察,看看色素,结石和刷牙出血的情况,一般刷牙有出血,就说明该洗牙了。

洗牙年龄
一般13,14岁就可以开始洗牙,培养孩子保护牙齿的意识很重要。
关于婴儿洁牙
关于婴儿的牙齿清洁,乳制品一般都有较强的致龋性,所以几个月的宝妈一旦发现宝宝开始长牙了,就要有帮助他清洁的意识,一般不用牙膏,用一些表面比较粗糙的纱布,或者婴儿专用的清洁指套(淘宝上有),睡前清洁一次。
乳牙之后虽然会被换掉,但是乳牙如果过早掉了的话,可能会导致恒牙萌出不齐,也就是长乱了。所以乳牙健康也需重视。有些比较注意这方面的家长在乳牙期就会给宝宝做窝沟封闭。

即使是洗牙这种最基本的操作,也需要找比较专业的口腔门诊或者医院,不当的操作有可能导致牙隐裂,而且洗牙后的抛光是必须的,抛光是将洁牙机在牙表面留下的划痕去掉,因为粗糙的平面比光滑的平面更容易堆积细菌。
所以,综上所述,洗牙不但是必要的,而且至少一年一次,抽烟量大的四个月到半年一次。口腔卫生方面宣教方面中国已经落后不知几十年了,所以大家快去给自己的牙齿洗个澡吧。
文章来源网络整理,转载仅作科普分享,
如有侵权,联系我们会在第一时间删除
往期推荐:
在牙科医院呆久了,觉得最可怕的还是牙周病!
作为一个牙科医生,我必须要告诉所有人一个牙齿真相!
牙冠怎么选?不纠结,直接告诉你答案!
四个成年人里,就有三个牙龈出血!
一位良心牙医的14条牙齿忠告!
良心科普 | 种植牙为什么会有不同的价格?该如何选择?
根管治疗后,牙齿到底还能用多久?