前阵子,王先生不慎从高处坠落。在家人的陪同下,他来到北京友谊医院(通州院区)就诊。骨科中心主任医师唐海、单建林带领团队成功为王先生完成了高难度、复杂的枢椎齿状突骨折内固定手术。术后王先生恢复良好,他与家人向手术团队表达了最真挚的感谢。
近日,45岁的王先生因高处坠落伤致颈部疼痛、活动受限,于是到北京友谊医院就诊。结合CT结果,医生诊断王先生为枢椎齿状突II型骨折,需手术治疗,王先生被收入骨科病房。

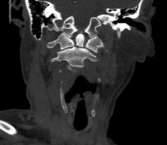
辅助检查显示:颈椎前部可及多发血肿,枢椎齿状突骨折部位向后方移位。
骨科主任医师唐海、单建林两位专家分析患者病情认为,王先生为枢椎齿状突的血运呈双侧雨刷状分布,保守治疗骨折不愈合的风险极大。行内固定手术无疑是最佳的选择,但是手术部位高位颈髓是生命中枢,手术难度极大,对术者的操作要求较高,如有不慎,会给患者带来灾难性后果。经过仔细地考虑,唐海与单建林为患者制定了详细的手术计划,决定实施枢椎齿状突骨折内固定手术。

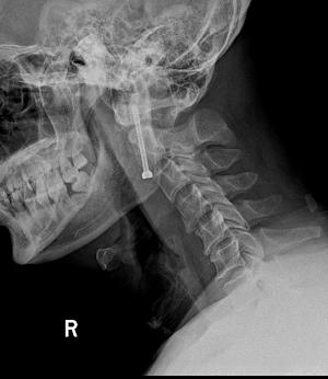
术中,手术团队对王先生颈部重要的组织结构均进行了较好的保护,而且一次性成功的置入空心钉固定骨折断端。手术持续了近5个小时,术后王先生症状明显缓解,无神经损伤。术后复查X线显示齿状突复位,螺钉位置良好。目前王先生已顺利出院,并对北京友谊医院骨科中心的服务进行了高度的评价。

术后显示齿状突复位,螺钉位置良好
北京友谊医院骨科中心通过不断提升医疗技术和创新医疗服务,切实为广大颈椎病患者提供优质、全方位的医疗,摆脱骨科疾病困扰。

作者:北京友谊医院骨科中心主治医师 孙海波

长按下方二维码 竭诚邀请您的关注
北京友谊医院
订阅号
北京友谊医院
服务号
为您提供预约挂号、门诊缴费、就诊指引、报告查询等移动服务。

北京友谊医院
快手号
北京友谊医院
抖音号