房屋前,娟娟(化名)抱着宝宝和丈夫拍下全家照,一家人言笑晏晏,我们很难将她们与“癫痫病”这样的字眼联系在一起——但,娟娟的确是一名癫痫病患者,而且是只有一侧大脑半球的癫痫患者!

15岁那年,娟娟不幸患上癫痫,在与癫痫抗争的长达6年之久的时间里她承受了无尽的痛苦,不但承受疾病折磨,同时还要面对巨大心理压力,因旁人对癫痫的不理解和恐惧而被排挤,生活被打乱,学业停摆...本是青春飞扬的花样年华、本该对人生充满各种期待的她,从那时起,却被病魔纠缠。
癫痫还不是最可怕的,最严重的是娟娟是因右侧大脑半球萎缩导致的癫痫发作,右侧大脑半球基本无功能。幸运的是,2018年,21岁的她癫痫发作终于得到了控制,而且只有一侧大脑半球的她语言表达、运动、感觉等功能均没有受损。

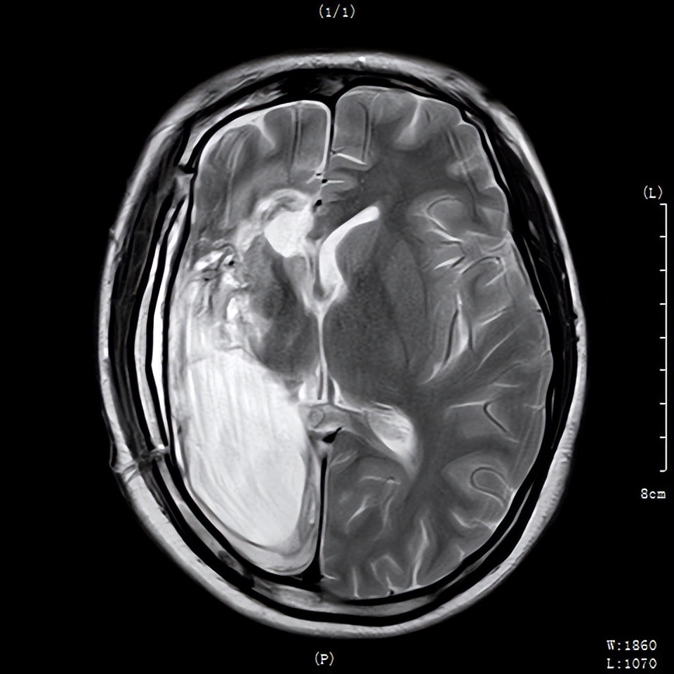
2020年,术后2年复查时核磁共振检查
2022年国庆节,我们从她给她的主刀医生昆明三博脑科医院副院长、功能神经外科主任任杰的祝福信息中了解到,而今她不仅与相爱的男孩组建了幸福的家庭,拥有了属于自己的感情、生活和工作,还解锁了“新身份”,成功诞下自己与丈夫爱情的结晶,拥有更加独特的生命体验——成为一个母亲!

图中内容为娟娟发给任副院长的信息,你能想象出一个只有一侧大脑半球的女孩儿能够有这么好的语言表达能力吗?
娟娟的经历,就足以说明癫痫其实并不可怕,只要科学、正规的治疗,也可以很好的回归社会!
那么, 她从失控的人生里慢慢重获生命的美好,逆袭成功,究竟经历了些什么? 我们今天就来说说她的故事,也希望你能在她的故事里找到希望!
01
花季少女因癫痫病受歧视,人生一度黯淡无光!
据娟娟讲述,2013年,上初中的她,在学校时,没有明显诱因,突然癫痫发作,出现发作性呆愣,随后出现左侧手臂发麻的症状,而且每次发作时均伴有犯困、出现视物重影的现象,每次持续时间约3-4分钟,每次发作被人呼唤名字后方可清醒,起初约半个月发作一次,大家都不以为意,完全没有想到会是癫痫,以为就是疲劳所致,也就没有就医。
随着发作频率的增加,老师发现了娟娟的异常,告诉了她的父母,就医才被确诊为癫痫,让她从此走上了一条与癫痫顽强抗击的不平凡人生之路。
为了控制癫痫发作,她不得不辗转于大理、昆明的各大医院,也尝试了各种“土药方”,然而病情却时好是坏,很难控制住发作,学校也因知道她得了癫痫这么个“怪病”,怕影响到学校及其他同学,将娟娟劝退了。学业的中止、周围人的歧视、疾病的折磨、治疗花费也让原本幸福的家渐渐的债台垒筑,只能用“绝望、黑暗”来形容那一刻的感受。


难能可贵的是,娟娟的父母从没放弃过治疗的欲望,最终也是父母的坚持让她能够正视自己的病,变得越来越坚强,想办法治疗。
02
专家对症治疗巧除病魔,助其恢复健康,最终顺利婚育!
或许与癫痫的抗争是漫长无期的,然而,谁说癫痫患者的天空就只有阴霾?
就在娟娟21岁那年,偶然得知一个癫痫患者在昆明三博脑科医院治疗后没再发作,于是,多年求医无果的一家人抱着有希望就要去试一试的心态来到了医院。
入院后,昆明三博脑科医院副院长、功能神经外科主任任杰对娟娟既往病史、治疗情况、症状学、影像学及检查结果等进行了详细地了解和认真地分析,初步诊断为症状性癫痫,肢体活动已经受到影响,左侧上肢精细动作差。

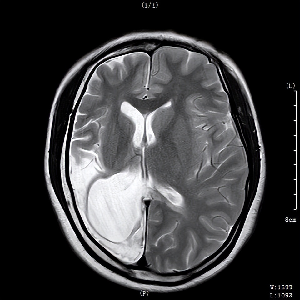
术前检查
完善脑电图检测、头颅核磁共振(MRI)、wada实验等全面检查后,脑电图结果提示:脑内存在癫痫样放电,且右侧大脑半球放电明显;MRI结果提示:右海马硬化,右侧大脑半球萎缩,考虑为致痫灶可能;wada试验结果提示:双侧肢体运动、语言、感觉等功能为左侧半球支配,考虑右侧大脑半球基本无功能,被左侧大脑带代偿。


结合检查结果,任副院长联合多学科专家会诊评估,认为娟娟符合大脑半球离断指征,最终为其制定了“右侧额颞开颅岛周大脑半球离断术”的治疗方案。
任副院长介绍:“患者右侧大脑半球萎缩,病灶是明确的,但是这种情况下引起的癫痫发作靠药物治疗效果不明显,基本控制不住发作,只能寻求外科手术。好在我们做了wada实验后,发现患者右侧大脑半球基本无运动、语言、感觉等功能,已经被左侧大脑半球代偿支配,这种情况下选择离断手术是再适合不过的。离断手术与以往的半球切除术相比较已经有了质的发展,不需将脑组织切除,只需要将传导的各种纤维与右侧致痫灶彻底离断,使大脑异常放电不能扩散,就能达到控制癫痫发作的目的,而且从长远看,离断手术尽可能的保证了大脑完整性,规避了半球切除将会带来的远期并发症。”
2018年8月3日,手术由任副院长主刀,一病区、电生理监测等多学科的配合下,共用4小时55分钟顺利完成手术。

术后出院时核磁共振检查
术后至今,癫痫没有再发作,2022年国庆节,娟娟给任院长发来感谢信息,短短四年的时间,她的生活发生了天翻地覆的改变,不但摆脱了癫痫的困扰,还收获了幸福。
任副院长感慨道:"在他治愈过的众多癫痫患者中,娟娟算是很特别的一个,柔弱的女孩子,面对病魔却异常的坚强,她能有今天的幸福跟她有一个颗敢于和病魔抗争的心,积极配合医生治疗离不开关系,作为一名癫痫医生,由衷的佩服这个小姑娘。在这里也提醒大家,在当今的社会中,癫痫患者并不在少数,甚至是各行各业的精英中也都有癫痫患者,即使得了癫痫,患者依然有机会通过正规科学的治疗获得治愈,但这需要患者及其家属共同坚强乐观的面对,只要不自暴自弃,一样可以创造奇迹!"
免责声明:
本文部分资料来源于网络,如有侵权,请联系编辑删除。
文章目的是提供一般的健康科普信息,仅供参考,不能代替个人医学诊断和治疗,个人的医学问题请到院咨询医生。