专家简介

韩利军,长春市传染病医院结脑中心主任,主任医师,长春市有突出贡献专家,神经感染学院教师。
中华医学会结核性脑膜炎专委会副主任委员,中国医师协会神经感染专业委员会委员,中国防痨协会临床专业分会常委,吉林省神经免疫与感染学组副组长,结核病与肺部健康杂志编委,中国结核病年鉴编委,中国防痨杂志审稿专家。荣获省市科技进步奖5项,在核心期刊发表论文30余篇,作为副主编参编专著一部,作为编委参编专著4部。

秦桂香,主治医师,脑(膜)炎一站式快速诊断平台学术课题项目负责人
吉林省预防医学会免疫规划专业委员会委员。曾于第四军医大学附属西京医院脑脊液细胞学研究室进修。曾获长春市科技进步奖一项,在核心期刊发表论文数篇,作为副主编参编专著一部,作为编委参编专著2部。
引言
重症脑膜炎患者24小时内可出现死亡危险,所以脑膜炎的早期诊断至关重要,长春市传染病医院结脑中心拥有从临床到检验的脑(膜)炎一站式快速诊断平台, 在诊断脑膜炎的技术上居于省内领先水平 。
此一站式快速诊断平台:
2小时内: 完成18项脑脊液化验项目,化验结果快速汇总。
3小时内:经过专家团队会诊,可做出临床诊断。

从一个病例说起
高热、头痛、意识模糊好几天:结核性脑膜炎还是脑脓肿?
患者基本情况:
男,28岁,因发热、头痛2周,意识模糊3天,双下肢无力2天入院。
入院前诊疗情况
2021.3
3月12日:因左手拇指囊肿于当地医院手术
3月19日:开始出现高热,体温最高达39.5℃,每日发热2-3次,无寒战,伴头痛,呈胀痛,性质剧烈,恶心,呕吐,呕吐物为胃内容物,非喷射状,于当地医院抗炎治疗未见好转。
2021.4.2
3月31日:发热加重,达40.5℃,并出现意识模糊,问话回答不准确。
4月1日:出现双下肢乏力,行走困难,无抽搐,无尿便障碍,就诊于吉大二院,行腰椎穿刺及头部核磁检查,考虑“结核脑膜脑炎可能性大”,转入我院进一步治疗。

来我院之前的检查结果:
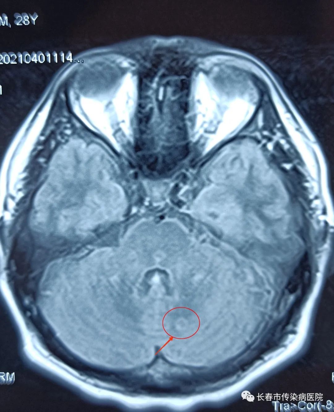
头部MRI(吉大二院,2021-04-1):右侧颞叶,右侧枕叶,双侧小脑半球见类圆形等T1、长T2、Flair呈高信号的异常信号影。

胸部CT(2021-03-26):未见异常。
腰穿(吉大二院2021-4-2):颅压200mmH20,脑脊液常规生化:蛋白2.42g/L,糖3.03 mmol/L,氯化物107.8 mmol/L,细胞数174*106/L,多核15.5%,单核84.5%。
血常规(吉大二院,2021-4-2):白细胞计数6.1×109/L、中性粒细胞百分比80%。

结脑中心收治后
结脑的诊断优化与提升
2021年4月3日
患者入院后韩利军主任及全科会诊,结合患者症状、头部MRI平扫及近期左手拇指手术史,考虑可能存在脑脓肿,但患者自带血常规白细胞正常,脑脊液细胞数174X106/L,细胞分类以单核细胞为主,化验不符合脑脓肿改变,考虑可能为结核性脑膜炎。
但患者青年男性,无糖尿病病史,自带脑脊液常规生化中糖正常,此项不符合结核性脑膜炎特点。从自带化验结果来看,该患者诊断棘手,会诊后立即行腰穿检查。
脑脊液化验结果
1、脑脊液常规生化:蛋白定量2.1g/L,糖2.3mmol/L,氯化物109.0mmol/L,蛋白定性++++,细胞数226*106/L,细胞分类淋巴大于分叶。
2、脑脊液结核分枝杆菌rpoB基因利福平耐药快速检测(Gene-Xpert):MTB极低,利福平耐药未检出。

3、脑脊液细胞学(见上图)
该患者通过脑(膜)炎一站式快速诊断平台确诊为:
结核性脑膜脑炎,后期头部核磁增强扫描亦证实颅内病灶符合结核性脑膜脑炎改变。
腰穿留取脑脊液标本
2021年4月14日
患者经抗结核、激素、保肝等治疗,现患者意识清楚,无发热,无头痛,近期复查腰穿颅压正常。脑脊液常规生化:蛋白定量1.4g/L,葡萄糖测定2.3mmol/L,氯114.0mmol/L,蛋白定性++++,细胞数62*106/L,与入院时脑脊液化验相比明显好转。
持续观察治疗,症状明显改善
该患者入我院后,因诊断棘手,会诊后立即行腰穿检查,2小时后将脑脊液18项脑脊液化验结果汇总,经专家会诊明确诊断为结核性脑膜脑炎,从患者入院到确诊不超过3个小时,此脑(膜)炎一站式诊断平台早期诊断、早期治疗的优势得到了充分体现。

脑(膜)炎一站式快速诊断平台流程图


1小时之内出结果的检验项目有:
脑脊液革兰氏染色、抗酸杆菌涂片、脑脊液常规生化、腺苷脱氨酶、人免疫缺陷病毒(HIV)抗体测定、隐球菌墨汁染色、结核抗体、巨细胞病毒抗体IgM、IgG、单纯疱疹病毒I型抗体IgM、IgG、单纯疱疹病毒II型抗体IgM、IgG、EB病毒抗体IgM、IgG、柯萨奇病毒抗体IgM、IgG、弓形体抗体IgM、IgG、隐球菌免疫学测定、人布鲁氏病IgM、IgG抗体检测、乙型脑炎病毒IgM、IgG抗体检测、脑脊液梅毒螺旋抗体检测、脑脊液乳酸测定。

2小时内出结果的检验项目有:
改良抗酸染色、阿利新蓝染色、脑脊液细胞学、结核分枝杆菌rpoB基因及利福平耐药快速检测(Gene-Xpert)。

临床优势
目前脑(膜)炎一站式快速诊断平台已在我院运行4年,现吉林省多家医院均已将脑脊液标本送至我院进行化验,而且2020年我们已将脑(膜)炎一站式快速诊断平台申请 吉林省卫生与健康适宜技术推广项目课题 。
发展方向
我们将通过不定期举办学术讲座、学习班及网络微信群等方式来推广及帮助县级以上具备神经内科及检验科的医院建设脑(膜)炎一站式快速诊断平台,进而帮助更多的脑膜炎患者,避免患者四处奔波就医贻误最佳诊治时机。
