近日,我院呼吸与危重症医学科主任、肺癌亚专业组长覃寿明教授团队与心胸外科郭建极教授、阳诺博士团队开展多学科诊疗,应用免疫新辅助治疗成功实现肿瘤降期,让肺癌晚期患者重获手术机会,随后实施根治性手术,患者术后恢复良好。
新辅助免疫治疗 让肿瘤降期 晚期患者“绝处逢生”
李女士(化名)年近50岁,因为咳嗽、咳痰两个多月到我院就诊。一经检查,发现她患有肺癌(右肺鳞癌并右侧肺门淋巴结转移),已经属于晚期(T3N1M0 IIIA)。
肺癌主要的组织类型是非小细胞肺癌(NSCLC),手术是治疗非小细胞肺癌的重要手段。然而,经过多学科会诊,李女士的病灶靠近心脏,加上手术对患者的身体状况要求也高,无法进行手术治疗。多学科专家反复讨论治疗方案,在和家属多次沟通下,最终选择由呼吸与危重症医学科采用免疫新辅助治疗,实现降期缩瘤再手术治疗。
覃寿明教授团队为李女士进行了4个周期的化疗联合免疫新辅助治疗。覃寿明介绍,肿瘤的免疫治疗是通过激活人体免疫系统,依靠自身免疫机能实现杀灭肿瘤细胞和肿瘤组织。免疫治疗的作用更持久,副作用也相对更低。
经过4个周期的治疗后复查发现:李女士的病灶明显缩小,实现了降低肺癌分期。

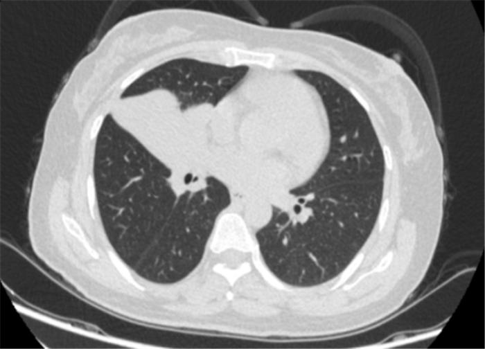
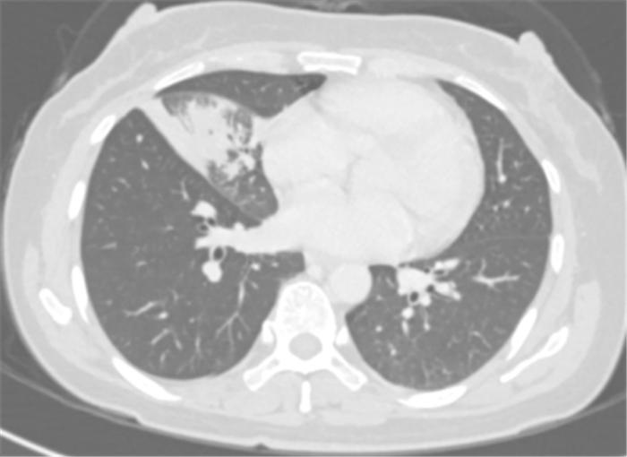
患者治疗前基线胸部CT

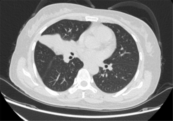
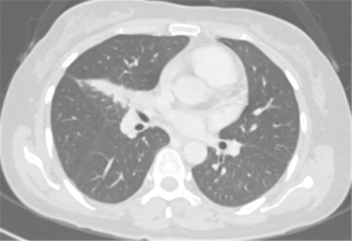
免疫联合化疗新辅助治疗4周期后胸部CT
打开新的“生命之门” 患者送上锦旗致谢
肿瘤缩小降期,无疑为李女士打开了新的“生命之门”。经过评估后,心胸外科郭建极教授、阳诺博士团队为她行胸腔镜下右肺下叶切除术+纵膈淋巴结清扫术。
令人欣慰的是,术后病理提示送检肺组织为伴多量淋巴细胞浸润的大片坏死组织,未发现肿瘤残存,且淋巴结同样未见癌转移,术后病理分期达到了完全缓解。术后,李女士继续接受辅助免疫单药维持治疗,不仅安全而且耐受性良好。
李女士和家属高兴地为呼吸与危重症医学科、心胸外科专家团队送去锦旗表示感谢。

覃寿明教授介绍,肺癌是中国乃至全世界范围内发病率和病死率最高的恶性肿瘤之一,手术治疗依然是肺癌治疗最有效的方式。然而,部分患者确诊时已是中晚期肺癌,无法再行手术切除,从而导致治疗效果不理想。
随着我院肺癌综合诊疗理念的建立及多学科协作的迅速发展,对于一些晚期肺癌不能手术的患者,术前先行免疫治疗联合化疗的新辅助治疗,能有效降低肺癌分期,从而将不能手术的患者变为可行手术治疗的患者,极大提高了肺癌患者的治疗效果。
专家介绍
覃寿明

广西医科大学第一附属医院呼吸与危重症医学科主任
主任医师、硕士研究生导师、肺癌亚专业组长
呼吸疾病研究所副所长、呼吸内镜室主任
• 中国医师协会呼吸内镜专业委员会全国委员
• 中国老年医学会呼吸分会全国委员
• 中国医药教育协会肺部肿瘤专委会常委
• 国家临床医学研究中心-中国呼吸肿瘤协作组青年委员
• 广西医学会呼吸内镜分会主任委员
• 广西抗癌协会肿瘤相关内科诊疗专业委员会副主任委员
• 广西抗癌协会肺癌专业委员会副主任委员
• 广西抗癌协会常务理事
• 广西医学会呼吸分会常务委员
门诊时间:周四早上

郭建极
广西医科大学第一附属医院胸外科 病区 副主任
• 主任医师、硕士研究生导师
• 中国医疗保健国际交流促进会胸外科分会委员
• 吴阶平医学基金会模拟医学部胸外科专委会委员
• 广西抗癌协会肺癌专业委员会副主任委员
• 广西医师协会胸心血管外科医师分会常委
• 广西医学会胸心血管外科分会委员
• 主持多项省厅级科研项目,发表专业学术论文30多篇,其中第一作者或通讯作者20篇、EI 1篇、SCI 2篇。有2项科研成果获省级奖励。
门诊时间:周二早上

阳诺 副主任医师
广西医科大学第一附属医院心胸外科
• 副主任医师 外科学博士 硕士研究生导师
• 中国研究型医院学会ERAS专委会胸外科学组青年委员
• 广西医学会胸心血管外科学分会委员
• 广西医师协会胸心血管外科医师分会委员
• 广西医师协会生命支持专业委员会委员
• 广西抗癌协会青年委员
• 广西免疫学会理事会理事
擅长胸部肿瘤、胸廓畸形、手汗症等胸外科疾病的微创手术治疗,主持及参与国家级、省部级等课题10余项,以第一/共同第一、通讯/共同通讯作者发表学术论文30余篇,其中SCI收录11篇,最高影响因子IF=8.537。
门诊时间:周二下午