
“医生,请你一定要帮帮我!”
浙江大学医学院附属第二医院口腔内科主任陈莉丽主任医师的诊室里来了一位准妈妈小方。带着口罩的她,神色显得有些焦虑。
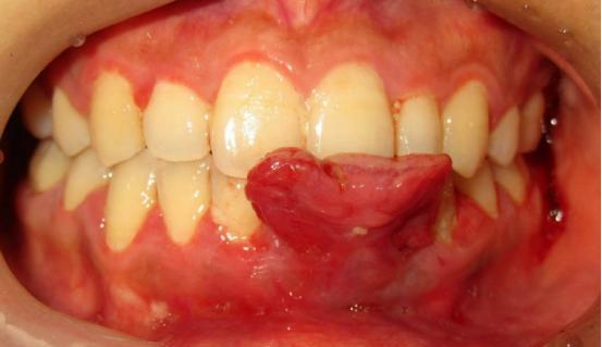
而当小方摘下了口罩,陈莉丽才发现,原来,这位准妈妈的下前牙长了一个核桃般大小的“瘤子”。

“这是妊娠期龈瘤和妊娠期龈炎。”一番检查问询之下,凭着多年的从医经验,陈莉丽很快做出了自己的判断。
孕期牙龈长瘤子 原来是孕期激素和口腔卫生在作怪
事情还要从3个月前说起:3个月前,小方发现自己怀孕了!就在全家人开开心心准备迎接新生命的时候,小方觉得自己吃东西和刷牙时牙龈总是出血。她以为是 “上火”,并没有放在心上。
又过了2个多月,小方注意到,不仅牙龈出血一直没有好转,连下前牙牙龈也不知道什么时候肿了起来,吃饭时常常会咬到,一碰就出血。小方不敢刷牙,甚至不敢吃东西了,她这才意识到问题的严重性。
等小方和家人一起到医院就诊时,她已经怀孕5个月。医生看到她嘴里的“瘤子”后都建议她生完宝宝后再治疗。
“离宝宝出生至少还有4个多月,可是我现在连吃饭都成了问题!怎么办呢?”一番焦虑之下,怀孕5个月的小方来到浙医二院口腔内科就诊。
陈莉丽在检查中发现,这位准妈妈口腔卫生欠佳,有大量软垢(牙面上黏黏的黄白色脏物)和较多的牙结石,除了下前牙的牙龈瘤以外,其余部位的牙龈也有不同程度的充血红肿。
陈医生告诉小方,她需要先进行牙周基础治疗,再切除牙龈瘤,最重要的是,必须重视自己的口腔卫生,做好口腔健康护理。
【浙江新闻+】什么是妊娠期龈瘤呢?
准妈妈们从怀孕起,血液中的雌性激素,尤其是黄体酮水平上升,这会使牙龈中血管增生,血管的通透性增强,容易诱发牙龈炎----妊娠期龈炎,妊娠期龈炎严重者,会在牙齿之间的龈乳头处形成一个或多个“小瘤子”,这就是妊娠期龈瘤。
如孕妇在怀孕前患有刷牙时牙龈出血、牙龈肿胀等牙周疾病,在妊娠2-3个月后,这些情况就会加重。妊娠期龈瘤并不一定要等到生完宝宝才可以进行治疗,恰恰相反,越早治疗效果越好。先进行牙周基础治疗--也就是“大扫除”,去除引起牙龈炎症的‘罪魁祸首’——牙菌斑,使龈瘤体积缩小,再看情况进行手术切除。”
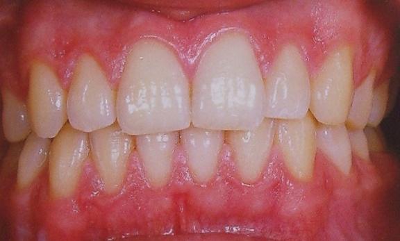
最终,小方接受了陈医生的治疗方案。经过牙周基础治疗后牙龈瘤体积缩小,陈医生通过牙周手术切除了困扰小方几个月的龈瘤。
哪些准妈妈容易得妊娠期龈瘤?
像小方这样的准妈妈还有很多,妊娠期龈瘤最容易发生在孕前已经出现牙龈炎症的准妈妈。
其实,小方在怀孕前就已经有牙龈炎症,但当时并未引起注意,更没有到医院进行治疗。
因此,最初的牙龈炎症便为后来的牙龈瘤埋下了“祸根”。
准妈妈们可以自己对着镜子简单判断一下牙龈是否有炎症:健康的牙龈颜色呈淡粉色,菲薄而紧贴牙面。刷牙、吃东西都不会出血。

口腔卫生不佳,牙龈发生炎症病变时,牙龈颜色会呈现不健康的深红或暗红,牙龈形状会从“扇贝样”变成圆滚滚的“球状”,牙齿表面堆积黄白色的软垢和牙结石,常常伴有口腔异味,牙龈充血红肿,刷牙、吃东西就会出血。如准妈妈们发生上述症状又不敢刷牙,导致软垢越积越多,牙龈出血肿胀症状更加严重。
妊娠期龈瘤要怎么治呢?
牙菌斑是妊娠期龈炎和妊娠期龈瘤发生的主要病因,治疗重点就是控制牙菌斑(牙周基础治疗)。经过完善的牙周基础治疗后,可获得理想的治疗效果,如剩下的妊娠瘤体积不大,可以在生完宝宝后进行手术治疗;而龈瘤体积较大,影响进食,可考虑在孕期进行手术切除。
除了医生的帮助,准妈妈们还有三*法大**宝:牙刷、牙线、牙缝刷。浙医二院口腔内科主任医师孙伟莲说,准妈妈们如果能规律性地刷牙和使用牙线,是可以减小牙龈瘤的;坚持几个月,牙龈的健康程度也能得到较为明显的改善。
那么,对于二胎妈妈来说,一胎顺利度过,二胎之前是否还要再进行口腔检查呢?
答案是肯定的,每次怀孕之前进行全面的口腔检查是很有必要的。

专家提醒,近2年来,因为妊娠期龈瘤来浙二牙周病专科就诊的患者越来越多,这可能和“二胎”放开有关。二胎妈妈们大多年龄在30周岁以上,而牙龈充血肿胀的牙周疾病发病率和严重程度随着年龄的增大而增高,尤其是35岁以后,发病率明显提高。妊娠期妇女如果患了牙周疾病,还可能会引起早产、低体重出生儿、胎儿畸形,甚至流产。为了您和宝宝的健康,必须要做孕前的口腔健康检查!
下面这份“口腔健康宝典”送给准备生宝宝的你!
1、准妈妈们务必做好口腔卫生清洁工作,以减少牙龈炎症,防止妊娠期龈炎和妊娠期龈瘤的发生。常用的工具有:牙刷、牙线、牙缝刷。
2、孕前必须要做口腔健康检查,及时处理已有的口腔问题。如果发现有牙龈出血红肿等牙周疾病,需要进行必要的牙周治疗后再怀孕。
3、孕期出现牙龈出血、牙龈增生等情况,应尽早到医院检查并且接受牙周治疗。