*声明:本文仅用于科普用途,不能作为治疗依据,为了保护患者隐私,以下内容里的相关信息已进行处理

病友*交群**流邀请
现诚邀您加入【小荷健康肺友交流群】,这里有资深病友们的真实经验分享、交流互助相互鼓励,希望帮助各位肺友在抗病路上少走弯路,温暖互助!
[握手]入群通道:添加微信 xhjkapp2022 申请进群(请务必备注:头条)
以下转自小荷健康App真实经验
【基本信息】男性,70岁
【疾病类型】非小细胞肺癌
【就诊时间】2021年11月
【治疗方案】前期使用“培美曲塞+卡铂”化疗,病情进展、患者身体条件差换“替吉奥”口服化疗,后期使用“安罗替尼”单药治疗
【治疗周期】已治疗7个月,继续维持治疗,每3周回医院复查
【治疗效果】患者目前无特殊不适,未见明显不良反应,肺部肿块较前明显缩小,甚至基本消失。
初识患者
那天门诊让我记忆深刻,印象最深的是一位步履蹒跚的老年人,瘦得仿佛一阵风就可以吹走他。
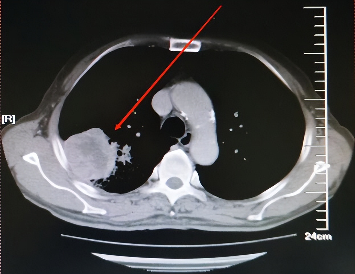
问了病史才知道,这是一位地地道道的农民,主因“胸痛、咳嗽、咳痰、痰中带血”来医院就诊,既往体健,有吸烟史20年,平均每天抽15支。我建议患者先拍个胸部CT,因为从他的症状和体征来看可能不是很乐观。
胸部CT提示右上肺叶肺癌待排,双肾上腺多发转移可能(见图1)。他儿子拿着结果来找我的时候情绪很是激动,说不管用什么办法,花多少钱都要治好他父亲,年轻时就顾着挣钱了,10几年都没有回去看看老父亲,好不容易能让他享享福了,却查出来了这个病。

图片来源 :讲述者提供
儿子懊悔不已,我拍拍他,告诉他我会尽全力的,我们现在要做的是不要给病人太大的心理负担,先做个病理明确一下性质,完善一下相关检查,再进一步确定治疗方案,一般来说,越早期肺癌预后越好,越晚期肺癌预后越差。
所以作为家属,要做好心理准备,这是一个漫长的治疗过程,我们要共同努力,为了方便检查,我建议患者住院。
治疗过程
入院后我安排患者完善了相关检查,穿刺病理: 肺恶性肿瘤 。
免疫组化结果:CK7灶+、CK5/6-、P40-、SCLC-、SyN-、Ki-67约80%、TTF-1-,基因检测提示EGFR基因21外显子检测范围内发现突变,突变为低丰度,EML4-ALK融合基因检测为阴性。
免疫组化和基因检测是检查肿瘤内部与肿瘤密切相关的基因和蛋白分子的变化,用来分析肿瘤的恶性程度以及筛选靶向药物,明确诊断后就是治疗了,根据病人的检查结果“ 右肺腺癌的大小,双侧肾上腺有转移 ”分期为T3N0M1c,属于晚期,再考虑患者高龄,身体状况差,手术切除已经不考虑了。
接下来就是化疗和口服靶向药物治疗了。
由于该例病人为难治性非小细胞肺癌,治疗方面难度比较大,而患者家属期望比较高,我们也希望能有一个比较理想的治疗结果,所以我们将该病人作为疑难病例进行了全科讨论。
最终决定,先进性两个周期的化疗,化疗方案采取经典的“培美曲塞+卡铂”,同时还要重视复发的可能。这个过程还是挺顺利的,患者状态也还不错,没有太大的毒副反应。
两个周期后,患者当时精神体力状态较差,我安排患者复查了CT:右上肺肿块较前增大,右肺多发结节较前增多,考虑转移,提示病情进展,经过讨论,结合患者当时体质较差,耐受不了标准的二线方案,考虑更换化疗方案为替吉奥单药口服治疗,此药物毒副作用相对较小,且适应症包含无法手术切除术的非小细胞肺癌。
2个月后患者咳嗽加剧、精神状态越来越差,遂再次入院评估,但入院后行CT检查提示右肺肿物较前明显增大。考虑到疾病继续进展,我们再次更换治疗方案,家属表示非常担心。
我告知拟使用的药物叫“安罗替尼”,是一种口服新型小分子多靶点酪氨酸激酶*制剂抑**药物,能有效抑制血管内皮生长因子受体和血小板衍生生长因子受体以及成纤维细胞生长因子受体,还包括c-Kit等激酶,通过这些作用,可以抗肿瘤血管生成,抑制肿瘤细胞生长,在我耐心地分析后,家属和患者最终决定一试。
使用安罗替尼单药治疗后,患者无特殊不适,未见明显不良反应。在应用安罗替尼的过程中,患者依从性良好,能够遵医嘱定期复查,最终结果也令人惊喜:四个周期后复查,肺癌病灶明显缩小(见图2)。

图片来源 :讲述者提供
治疗效果
该病人在发现肺癌时已是晚期,已经有双肾上腺多发转移。
第一步治疗我们先给的是“培美曲塞+卡铂”,根据复查情况肿瘤有进展调整用药,给予替吉奥单药口服治疗,但是右肺肿物仍然在增大,并有了新的转移的迹象,提示进展迅速。
经过仔细斟酌,和家属沟通后决定换三线方案安罗替尼,在患者的配合下,肺部肿块较之前明显缩小,最终病情得到控制,患者状态良好。
患者生活中的注意事项
1、戒烟限酒是必须的,不只是自己不抽烟,也要避免二手烟的吸入。
2、多吃新鲜的蔬菜水果,保持良好的生活习惯,不熬夜。
3、适度锻炼,保持愉悦的心情,可以做一些自己喜欢的事情。
5、遵医嘱按时按量服药,每三周复查。
医生感悟
该例患者为老年男性,前期化疗后效果差,尽管未出现严重不良反应,但多次复查CT均提示肿块明显增大,提示疾病进展迅速,给予安罗替尼治疗至今,患者耐受性良好,未见明显不良反应,而且肿块明显缩小,甚至接近消失,真的使人惊喜。
另一方面,该患者家庭条件优越,最初患者家属说“花多少钱都要治疗”。但如果不是三线治疗有效,如果不是患者和家属一直坚持治疗不放弃,后续找不到敏感的药物的话,即使再有钱也不能救命,所以,良好的心态以及积极配合治疗,才有重生的真正希望。
肺腺癌出现了远处转移,这种情况在几十年前,基本上是不能治愈的,预后相对也比较差,近年来肺癌的诊疗技术发展非常迅速,随着新的治疗方法的出现,肺癌的五年存活率也越来越高。
目前的治疗方案有化疗、靶向治疗、免疫治疗等方法,靶向治疗和免疫治疗能明显提高患者的生存率,所以,即使得了肺癌,也不要过于灰心,要保持良好的心态,积极治疗。
在这里,我还想提醒大家一点,作为子女还是要抽空多关心关心老人,工作是干不完的,孔子说“树欲静而风不止,子欲养而亲不待”,不要等到岁月流逝,物是人非,空悲切。
著作权归作者何振所有
*声明:本文仅用于科普用途,不能作为治疗依据,为保护患者隐私,文章里的相关信息已进行处理。真实经验是作者本人或家人的真实治疗经验,版权归作者所有,禁止转载。如您发现内容有误,欢迎在留言区或后台进行反馈。
小荷健康诚邀您进入病友*交群**流
【小荷健康肺友交流群】入群通道:添加微信 xhjkapp2022(请务必备注:头条)
小荷健康肺友群是一个交流分享型社群,鼓励大家围绕肺CA疾病的治疗、预后、生活等各类话题进行讨论交流,群内有疾病治疗科普、真实经验分享、不定期医生直播答疑等分享,帮助肺友们抗病路上少走弯路,共抗疾病!
*此为小荷健康官方社群,群内只有病友及家属/亲友们的交流分享,以互相鼓励、交流抗病经验为主!其它打广告、推销等人员禁止入群。