
随着医学技术的进步,检查手段也是五花八门,这让许多患者不知如何选择,那么,究竟如何选择合适的检查手段,既能避免漏诊又能避免过度检查呢?
影像检查手段
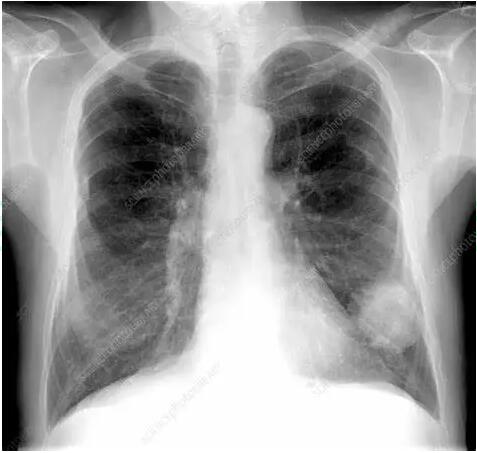
No.1 X线胸片

胸片体检和筛查的常规方法,其经济实惠,是筛查肺癌的重要基础手段。恶性肿瘤在胸片上可出现特殊的X 线征象,如分叶征、毛刺征、血管集束征等。而在肺癌早期还未长成肿块时,常不易与炎症相鉴别。医生会根据患者症状决定是否进行抗炎治疗后复查。若肿块不变小,反而增大,就应高度怀疑肺癌。
由于胸片是胸部器官、组织的叠加投影,胸片精细显示不足,对于一些1cm左右的早期肺癌常不能显示。
No.2 计算机体层摄影(CT)

CT是体层摄影,也就是说可以像切片将每一层组织进行摄影,因此显示比胸片清晰很多,在肺癌诊断筛查中有不可替代的地位,由于扫描层数多,因此辐射比胸片也高很多,常规CT检查的辐射量为胸片的60~100 倍,不宜作为肺癌的常规筛查方法。但是,低剂量螺旋CT的辐射量仅约为常规CT的1/4。美国国家肺癌筛查试验(NLST)证实:一年一次的低剂量螺旋CT筛查不会对筛查者的健康造成危害。
低剂量螺旋CT是最有效且安全的肺癌早期筛查手段,可以检出直径<1 cm的微小肺癌,其对早期肺癌的检出率高达80%。CT 筛查出来的早期肺癌患者中有80%~90%可以通过微创手术切除获得治愈,无须接受进一步放化疗。
对于筛查发现肺内有可疑小结节的人群,应结合其具体病情,进行客观的危险性评估,再进一步处理。一般情况下,最大径<5 mm的肺结节应每6 个月复查一次CT,5~10 mm的肺结节应每3个月复查一次CT,>10 mm 的肺结节应每1~2 个月复查一次CT。
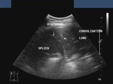
No.3 超声

无电离辐射,适用于实性器官,如肝胆脾胰,子宫及附件,肾输尿管等的检查,因为气体会影响超声的穿透,因此对肺脏这种含气器官原发灶的诊断不敏感,在肺癌患者中主要用来评价腹部脏器、淋巴结等是否发生转移,也用来进行胸水定量及定位。
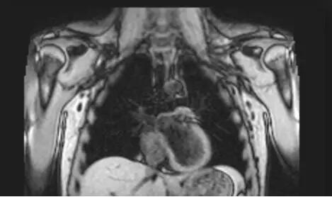
No.4 磁共振成像(MRI)

无电离辐射,适用于软组织滑膜、血管、神经、肌肉、肌腱等检查,对于肺脏这种含气组织并不敏感,因此在肺部原发灶诊断方面的作用不如CT。在肺癌患者中主要用于评价和发现是否存在脑转移和骨转移。
No.5 核医学断层显像(ECT)
常被称作骨扫描,是将对人体无害的放射性同位素注入血液中,该同位素在骨的破坏处会发生浓聚,主要用于筛查是否有骨转移及其转移的范围,对于肺癌患者建议每0.5-1年进行一次评估。
需要注意的是,这种放射性核素大约需要2天左右才能完全代谢,因此骨扫描检查后两天内,尽量避免到人员密集的公共场所停留,以及与婴幼儿或孕妇等敏感人群密切接触,医务人员也常常将骨扫描预约在其他检查完成后进行。
No.6 正电子发射体层摄影(PET)

PET-CT是将影像学和放射性核素融为一体的新型检查方法,可以发现普通CT不能发现的微小病灶,但价格昂贵,一般是自费,不能医保报销的,如果有条件可以考虑。需要注意的是,由于脑组织是高代器官,PET-CT对脑部转移显示不清,判断有无脑转移还是考虑行脑CT或脑部磁共振检查。
另外,实验室血液化验在肺癌的诊断和疗效评价中也起到辅助参考作用,包括常见的肿瘤标志物如癌胚抗原(CEA)、神经元特异性烯醇化酶(NSE)等的检测。
以上检查均属于辅助性诊断,如果高度怀疑肺癌,医生还会建议患者进行病理检查,以明确病理类型,也就是我们说的确诊。这时候,经常有患者及家属开始发火了。
“为什么我做了那么多检查,花了那么多钱,你告诉我还没有确诊?!
这是因为上述检查都类似于“摸皮猜瓜”,只能从形态、表现上进行倾向性诊断,不能作为肺癌的最终诊断,明确性质要靠病理诊断。
这是因为肺癌也分鳞癌、腺癌、小细胞癌等多种类型,不同类型的肿瘤对应的治疗方法也各有千秋,因此还需要明确病理类型。取病变组织做病理诊断是确诊肺癌的“金标准”。对于靶向药物来说,对肿瘤组织分子靶点的检测也需要病理组织。
“那我之前做那么多检查是为了什么?
影像学检查不但能够提供良恶性倾向性判断,对于判断肿瘤的分期也有很大作用。简单来说就是区分肺癌早期还是晚期,这直接影响下一步诊疗方案的制定。另外,由于检查需要预约、等待报告等一系列时间,为了使患者得到及早完善的治疗,一旦医生高度怀疑肺癌,常会在取病理前开具淋巴结超声、腹部超声、脑部磁共振、骨扫描等一系列检查,以明确转移情况,确定临床分期。
那么如何进行病理学检查呢?
病理及细胞学检查手段
痰细胞学检查
这是一种简便无创的方法,具体方法为连续三天留取清晨深咳后的痰液,进行痰脱落细胞学涂片检查,以获得诊断。就像池塘里捞鱼一样,虽然水里有鱼,但是不一定每网都能捞到,因此检出率不高,而且由于细胞数量少,很难明确组织学类型。
支气管镜检查
气管镜检查是发现气管内肿物最重要的确诊方法,可直观肿物形态并获得组织病理诊断。如果说支气管是树干的话,肺上的肿物就相当于树上的苹果,气管镜检查就像沿着正确的树枝取摘苹果。它诊断肺癌最常用的方法,可以实现直视下毛刷刷检、支气管灌洗等获取细胞学检查,还可以抓检、穿刺直接取活组织获取病理学诊断。
肺穿刺活检及其它
对于“没有长在树干上的”,位于气管外胸壁边缘的肿物,常采取CT或磁共振引导下肺活检,是周围型肺癌确诊的主要方法。
对于一些生长部位特殊,用上述方法难取到的肿物,就要通过纵隔镜、胸腔镜、胸膜活检、淋巴结活检及胸腔积液细胞学检查等方法获取病变组织以明确诊断。
写在最后
如果不幸确诊了肺癌,请相信,医生不会无缘无故给你开具不需要的检查,而会你的病情和不同脏器的特点,选择最适合的检查手段。
引用一句话:“请相信医生,真要有哪一天,你在手术台上或者抢救时,请记住最不希望你出事的、最希望你能活下来的人,永远是你身旁的医务人员。”
综合《中国医学论坛报》、《肺癌患者教育手册》等