(文中含手术标本展示,点击阅读请注意)
手术病例分享:


前言: 查出肺结节,最关键的是是否要手术,以及手术时机的选择。而若已经如果考虑要手术,到哪里开、手术怎么做、方案如何设计?楔形切除、肺段切除或肺叶切除怎么权衡利弊?这些都是非常重要的。近日有位其他医院影像同道的阿姨查安徽当地查出肺结节,同道将片子发给我看后,我认为基本上认定至少是微浸润性腺癌,应该要手术了。同道建议他阿姨来杭州找我手术。这份信任异常令人动容,因为同道自己也是在三级医院上班的医务人员,没有叫他阿姨到他所在医院手术,却来杭州找我主刀。心中暗下决心,定要十二分努力,给结友最好的方案、尽最大努力做最好来回报同道的信任。今天分享这个病例,除了感动以外,也有其他的感悟。
病史信息:

结友于3个月前在安徽当地某医院A查出肺结节,口服抗炎治疗1周后又到B医院静脉抗炎治疗,并复查CT发现病灶没有好转。来杭州前2天又到当地C医院复查。
影像展示与分析:
当地影像:
这是当时同道从微信发给我看的影像资料。

右上病灶出现,轮廓显糊,此层面是磨玻璃密度的。

边上有血管,边缘似乎有见到少许实性成分。

与血管关系较为密切,磨玻璃病灶的边界较清。

血管有进入病灶,并感觉有异常增粗。

病灶边缘似见少许毛刺样征。

显示血管穿行。

边缘部分密度较淡。
影像初判断:
这个病灶持续3个月了,消炎没有好转,有些层面瘤肺边界清,有血管征以及灶内血管异常增粗,部分边缘有毛刺样征,也有少许偏实性密度,虽然整体轮廓在有的层面欠清,仍基本上要考虑是早期肺癌,这种混合磨玻璃密度并伴血管征的,基本上至少是微浸润性腺癌,浸润性也可能,当然即使浸润性腺癌,因有磨玻璃成分(病理上约等于贴壁亚型),预后仍一般是非常好的。从发来的影像上看,病灶在尖段,但是应该是尖段非常靠前俩与后段的地方。当时的考虑是可以争取扩大的尖段切除,或者在病灶同一层面定位,然后大楔形切除加淋巴结采样。
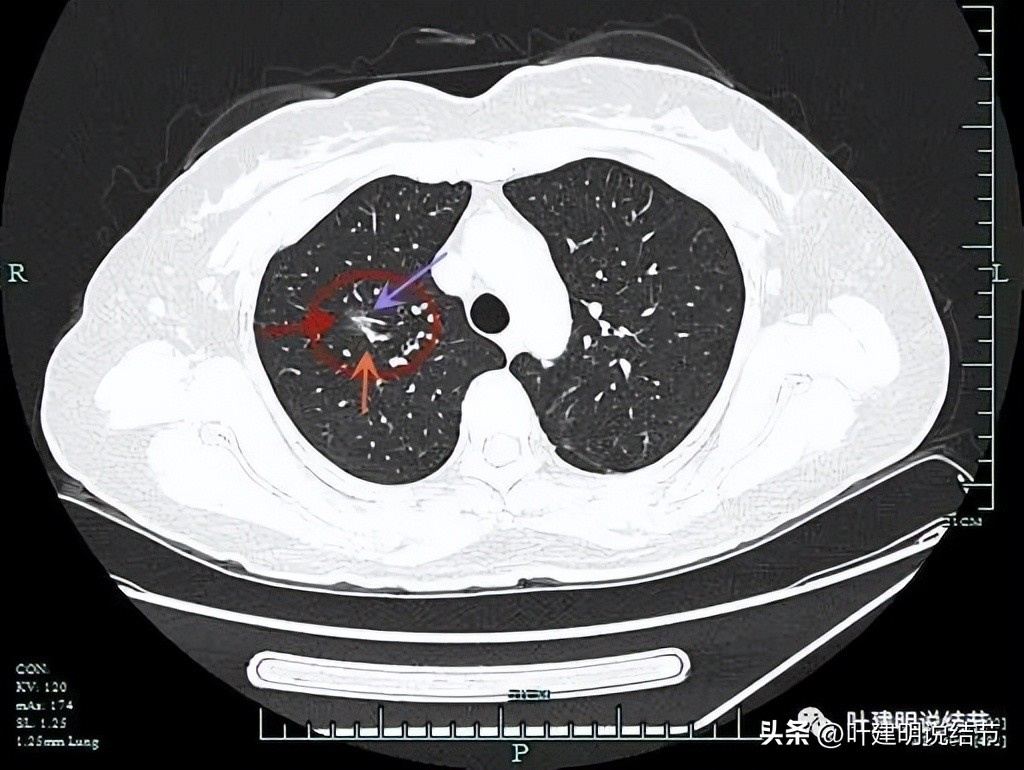
我们医院的影像复查:
5毫米层厚:

病灶淡薄片状,轮廓较清,边缘略模糊。

病灶是磨玻璃密度,有血管穿行可见。
1.25毫米层厚:

病灶出现,磨玻璃密度,瘤肺边界清,靠纵隔侧有少许实性成分。

实性成分明显,血管异常增粗,磨玻璃部分轮廓与界限清。

紫色箭头示细毛刺征,灶内血管穿行并有异常增粗。

明显的血管穿行与灶内血管增粗。

轮廓较清。
看了以上影像,仍与当地的差不多,但再来看下面靶扫描重建的之后,印象就有了改变。
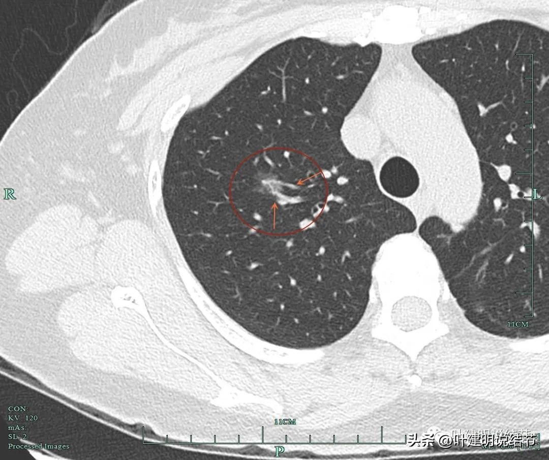
靶扫描重建:

血管贴着病灶进入,并在灶内增粗比灶外还大,而且血管边缘毛糙。灶内有偏实性成分,边缘有毛刺,瘤肺边界清。是典型的混合磨玻璃结节,并有血管征与灶内血管异常增粗。

灶内血管蜘蛛网似的,而且僵硬增粗,病灶有分叶征,周围血管改变走行进入,病灶轮廓与边界清。这个样子更符合浸润性腺癌。

病灶毛刺明显,密度不均,灶内多处血管增粗,病灶表面分叶,整体轮廓与边界清。

显示微血管进入以及灶内血管异常增粗,成分病灶内的实性成分。表面不平有毛刺。黄色箭头所示还有支气管截断的样子。

显示血管弯征,

显示明显毛刺。

显示典型的混合磨玻璃密度以及表面不平毛刺。

细支气管扩张导致的空泡征。

显示典型的血管穿行以及灶内血管壁散开来,管壁受到破坏或影响,成为虫蚀样。
影像再考虑:
右上这个病灶从靶扫描重建来看,几乎必已经是浸润性腺癌,不大会微浸润性腺癌,只有仍有磨玻璃成分,应该不至于有转移,预后也会比较好。但此灶做亚肺叶不是特别踏实,再加上位置本来就尴尬,虽在尖段,但紧邻后段与前段,是在三交界附近的,切缘若过近,则不安全。最后我们经过与患方的充分细致沟通,改变之前微信联系时的意见,拟行右上叶切除并清扫淋巴结。
最后结果:
杭州市肿瘤医院胸外科团队为其进行了单孔胸腔镜下右上叶切除加淋巴结清扫术。手术顺利,术后4天时已经恢复得非常好,达到出院标准。但适适周末,便又多住了2天院才出院。

上图示大体标本情况。

术中病理示浸润性腺癌,腺泡及贴壁型。

术后常规病理示:长径1.7厘米的浸润性腺癌,贴壁型占80%、腺泡型占20%。未见气腔播散、脉管侵犯或胸膜累及,切缘阴性。N1淋巴结共15枚均阴性。N2淋巴结共6枚也均阴性。

另送淋巴结情况。

出院当天,结友送给我来杭州工作后的第一面锦旗。
感悟:
肺结节手术前影像的诊断直接关系到手术方案的决策,而如此例,非薄层胸部CT扫描与薄层CT提供的信息明显不同,薄层显示更多细节信息。但相较于靶扫描重建,因可以从不同角度全方位观察病灶的形态以及与周围结构的关系,则会提供较薄层CT更为多的影像信息,从而为更为正确合理的手术方案决策提供依据。所以在非纯磨玻璃结节中,特别有含血管征与实性成分的肺结节中,当病灶较小时,靶扫描或许是应该更多予以选择的检查手段。

(此处已添加医疗卡片,请到*今条头日**客户端查看)