四环素牙,这个专业的名次一抬上来。
很多人都要一脸问号。
说到底,四环素牙是什么呀?

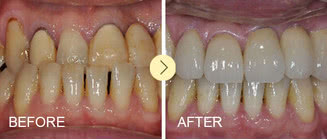
四环素牙就是因四环素药物造成的四环素沉积于牙,造成牙釉质发育不良,造成牙齿成黄色牙。
多是孕妇在怀孕期间或者婴儿误食含有四环素药物,致使婴儿长大牙齿成四环素牙。如下图所示。

那要如何治疗四环素牙呢?
四环素牙的轻重影响四环素牙的治疗。

1、轻度四环素牙:四环素牙着色比较轻,可以通过冷光美白来对牙齿进行美白,
但冷光美白效果保持效果不能永久性,四环素牙会出现反弹的情况。

2、中、重度四环素牙:可以通过烤瓷牙冠或者牙齿贴面来治疗四环素牙,
比较建议牙齿贴面来修复,因烤瓷牙冠需要磨牙,如果使用烤瓷牙来治疗四环素牙,那就需要磨牙太多了,造成不可逆。