
本栏目由北京友谊医院心血管中心李虹伟教授团队与中国医学论坛报合作推出,聚焦心血管临床热点,每月一期,欢迎关注。
本期话题:心电图中的高危预警信号
本期特邀撰稿专家:邱惠 李虹伟

2019年5月安静的门诊候诊区突然人声攒动,有人晕倒了!随着呼救声响起的同时,附近的医护人员迅速到场,初步判断心脏呼吸骤停、室颤,立即心肺复苏、除颤、给药、转运,一场生死时速争分夺秒的进行着。由于抢救及时,患者恢复了自主心跳,转入CCU进一步诊治。


这种场面对于一个心内科的工作人员来说并不陌生。心血管疾病已经成为我国居民死亡的首要原因,心脏性猝死的发生率也明显增加。据不完全统计我国每年死于猝死的人员达55万人,而恶性心律失常是导致猝死的首要原因,70%-80%的患者猝死发生于院外,导致复苏的成功率极低。
回到开篇的这位患者,患者近2-3年就因心悸于多家医院就诊,并多次完善动态心电图检查,在复习病史中,我们看到了这样的动态心电图记录(图1):
(点击可查看大图,下同)

图1:窦性心律,频发室性早搏、R on T 型室早、短阵室速
动态心电图中提示“频发室性早搏、R on T 型室早、短阵室速”这些心电图的预警信号,如果早期给予适当的治疗,也许患者的这次恶性心律失常是可以避免的。
心电图中的哪些高危预警,我们应该特别关注呢?
近年来,国内学者提出了“心电图危急值”的概念。心电图危机值是指危及生命的心电图表现,可导致严重的血液动力学异常甚至威胁患者生命。如果能及时识别诊断,迅速给予患者有效的干预措施或治疗,就可能挽救患者生命,否则就有可能出现严重后果,失去最佳抢救机会。
常见的心电图危急值包括:
考虑急性心肌梗死或各种急性心肌缺血的心电图改变;
严重快速性心律失常,如心室扑动、心室颤动、心室率≥150bpm的室性心动过速、尖端扭转型室性心动过速、多形性室性心动过速、双向性室性心动过速、心室率≥200bpm的各种类型室上性心动过速、心房颤动伴心室预激最短RR间期≤250ms;
严重缓慢性心律失常,如平均心室率≤35 bpm的严重心动过缓、高度及三度房室传导阻滞、伴有症状的长RR 间期≥3.0 s或无症状≥5.0 s;
其它还包括, QT 间期明显延长QTc≥550 ms、显性T波电交替、R on T 型室性早搏。
以下就急性冠状动脉供血不足及宽QRS波心动过速心电图的高危预警信号和大家分享讨论。
一、 急性冠状动脉供血不足
冠脉管腔的狭窄程度(固定狭窄)、粥样斑块的不稳定性(易损斑块)和局部血管痉挛(动力性狭窄)是心肌缺血严重程度的重要影响因素。
急性冠状动脉供血不足多有心肌缺血的症状和持续时间较短的动态心电图表现,ST段的动态改变是急性冠状动脉供血不足的特征性表现。
当发生急性冠状动脉供血不足,冠状动脉分支之间没有侧枝循环形成,多引起透壁性心肌缺血,表现为ST段弓背向上型抬高,部分伴有QRS波增宽和T波高尖。
此种类型的心电图,往往会引起医师的高度重视,及时处理。而当心肌急性缺血,心电图却没有发生典型ST段的动态演变时,反而是我们更容易忽略的紧急情况。
1、LBBB(左束支传导阻滞)合并急性心肌梗死

当基础心电图存在LBBB,判断患者是否合并急性心肌梗死时,诊断的困难较多。
由于左束支阻滞时,心室起始除极向量即已发生变化,左心室各部如有心肌坏死,也不会在相应导联上出现典型Q波。
而右侧胸前导联在左束支阻滞时也可出现QS波,并有ST段上升、T波直立,酷似急性前间壁心肌梗死表现,给诊断造成很多的困扰。
LBBB合并急性心肌梗死时,特征性ST段抬高出现在与梗死部位有关的导联,而与QRS主波方向无关;
如发生在LBBB引起继发性ST段抬高的导联(V1、V2)则ST抬高程度更明显,形态变为凸向上或弓背型;1996年Sgarbossa等通过在GUSTO-I试验中对131例急性心肌梗死合并左束支阻滞患者的研究,提出了3个独立的心电图诊断标准:
-
ST段抬高≥0.1mv与QRS主波方向一致(5分);
-
V1-V3导联中任一个导联ST段压低≥0.1mv(3分);
-
ST段抬高≥0.5mv,且与QRS波主波方向相反(2分)。
-
总分≥3分诊断LBBB合并AMI特异性达90%,敏感性低(30%〜42%)。
-
2009年美国的专家共识提出了AMI合并LBBB心电图诊断新标准:ST段同向性改变即在以R波为主导联ST段抬高为0.1 mv,或在以S波为主导联ST段压低为0.1 mv;非同向性改变,即在以S波为主导联,ST段抬高为0.5 mv。
-
同向性改变诊断急性心肌梗死的特异性高,敏感性低;而非同向性改变诊断急性心肌梗死的特异性和敏感性都较差。
应用非同向性ST段抬高≥0.5mv诊断LBBB合并STEMI的特异性低于同向性ST段抬高或ST段压低的诊断标准。因此,新出现的LBBB或LBBB合并同向性ST段位移强烈提示合并急性心肌梗死。
2、De Winter综合征

首先我们来看一个病例,58岁,男性,胸闷10余小时来诊,急诊心电图如图2:

图2:窦性心律,aVR导联ST段轻度上抬,胸前V3-V6导联J点压低,ST段下移,T波对称高尖
看到这样的心电图,我们应该怎样处理?动态观察,药物治疗?积极评估冠脉,进一步干预?
我们选择了后者。
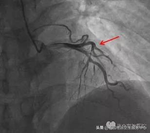
患者症状持续不缓解,行急诊冠脉造影检查,结果如图3:左前降支中段弥漫性狭窄100%完全闭塞,TIMI 0级,行PCI治疗后,LAD前向血流恢复至TIMI 3级,如图4;术后复查心电图,相应导联ST-T改变恢复正常,如图5。

图3:左前降支中段弥漫性狭窄100%完全闭塞,TIMI 0级

图4:LAD-PCI术后,LAD前向血流恢复至TIMI 3级

图5:PCI术后心电图,窦性心律
De Winter综合征近年来受到越来越多的关注,提示可能是STEMI的早期改变,也可能是一种特殊类型的急性冠脉综合征心电图表现。
不能归为非ST段抬高型急性冠脉综合征,但应视为STEMI等危心电图。
De Winter综合征诊断左前降支急性阻塞的阳性预测值为100%;多见于中年男性,大多数为单支血管病变,均无左主干病变;50%患者的犯罪血管包绕下壁心肌;极易误诊为可逆性心肌缺血。应早期识别,及时进入冠脉介入绿色通道。
De Winter综合征相关心电图特点如下:
1、胸前V1-V6导联J点压低0.1-0.3mv,ST段呈上斜型下移,随后T波对称高尖;
2、QRS波通常不宽或轻度增宽;
3、部分患者胸前导联R波上升不良;
4、多数患者avR导联ST段轻度上抬。
3、Wellens综合征

Wellens综合征是近年来受到关注的又一种急性冠脉缺血的心电图改变。特殊之处在于,患者心绞痛症状与心电图改变呈非同步性,类似于“假性正常化”,大部分患者心肌坏死标志物正常。
多数患者冠脉造影提示重度狭窄,多伴侧支供应前降支供血区心肌,但其中也存在轻度狭窄者,而心电图出现典型Wellens综合征样T波改变,提示冠脉痉挛可能参与其中。
诊断标准如下:
1、既往有胸痛病史;
2、胸痛发作时心电图正常;
3、心肌酶正常或轻度升高;
4、无病理性Q波或R波振幅下降或消失;
5、V2-V3导联ST段在等电位线或轻度抬高(˃0.1mv),呈凹面型或水平型;
6、在胸痛消失期间,心电图V2-V6导联T波呈对称性倒置或双向;
7、冠脉造影提示左前降支近端严重狭窄。
Wellens综合征的出现多提示左前降支冠脉近端有严重狭窄,此类患者属高危心绞痛,不积极治疗很可能进展为急性广泛前壁心肌梗死。Wellens综合征是早期进行血运重建的强适应症(包括冠脉成形术或冠脉搭桥术),也是心电图的又一个高危预警信号。
二、宽QRS波心动过速
宽QRS波心动过速是急诊经常遇到的又一心电图危急值。当患者合并急性心衰、血压下降或休克、急性心肌缺血、一过性意识丧失或抽搐、反复出现心室颤动或停搏,均为不稳定宽QRS波心动过速,不论室性还是室上性,尽快首选电复律,维持血流动力学稳定。如果为相对稳定型宽QRS波心动过速,应该进一步评估,考虑室性或者室上性,选择适宜的诊治方案。
宽QRS波心动过速是指QRS波时限≥120ms,心率˃100次/分的心动过速。其包括:
1、起源于心室不同部位的室速,约占总病例的80%;
2、室上性心动过速伴功能性或固定性束支、分支阻滞,而室上性激动包括房性心动过速、窦性心动过速、房室结折返性和顺向型房室折返性心动过速,因药物或电解质紊乱引起的QRS波增宽,约占15%;
3、预激性心动过速即逆向型房室折返性心动过速。其激动折返环路中,旁路为前传支,房室结为逆传支,预激性心动过速约占5%。
心电图鉴别宽QRS波心动过速常用的方法:
1、心律特征,主要指室速存在房室分离。房室分离诊断室速的特异性可达100%,但敏感性差,仅有50%的室速存在房室分离。此外,室速存在的房室分离能否在心电图上显示,还需看心动过速时室率与房率的快慢和比率,房波与室波的幅度、时限及两者的比例。
2、QRS波的图形特征,室上速伴发的室内差传主要发生在束支或分支,因此伴功能性阻滞的宽QRS波的图形总与阻滞部位相对应,使QRS波显示较强的图形特征,当QRS波不具备这些特征值,则考虑起源于心室。
3、无人区电轴,指心室除极的额面电轴落入第3象限,即I和aVF导联QRS波的主波均为负向,使额面电轴位于−90°至±180°之间。此时考虑宽QRS波起源于心室而不是室上激动合并束支传导阻滞。
4、胸前导联QRS波同向性,指心动过速发生时,12导联心电图V1-V6导联的QRS主波均直立或均为负向。负向同向性的特异性和敏感性高于正向同向性,后者需要和A型预激综合征及心梗合并室上速进行鉴别。
近年来发现aVR导联在肺栓塞、心包炎、心肌缺血、心律失常的诊断中有着其他导联不可替代的重要作用,aVR单导联诊断宽QRS波心动过速的4步新流程简单、易记:

1、宽QRS波起始为R波时诊断为室速,否则进入流程的第二步(图6);
2、当QRS波起始为r或q波形成rS、qr或qR型时,起始r或q波的时限>40ms时诊断为室速,否则进入第三步流程;
3、当aVR导联的QRS波主波为QS型时,其起始部分(QRS波起始到QS波最低点之间)存在顿挫时为室速(图7),否则进入第四步流程;
4、第四步流程需先计算Vi和Vt值后再进行两者结果的比较。当Vi值(QRS波起始40ms的激动速率)≤Vt值(QRS波终末40ms的激动速率)时为阳性,即Vi/Vt值≤1诊断为室速,Vi/Vt值>1诊断为室上速(图8)。


图6:aVR导联起始R波型室性心动过速

图7:室性心动过速时aVR导联QS型QRS波的前支有顿挫

图8:室速与室上速鉴别:aVR导联四步法
以上为部分我们临床当中遇到的心电图高危预警信号,只有敏锐的识别,才能做到及时准确的诊治。