膀胱癌是较为常见的恶性肿瘤之一,近年来发病有明显上升趋势。 传统的手术切除仍是治疗早期膀胱癌最有效的手段。但中晚期患者,或有严重的心肺并发症而不宜或不愿手术治疗可行介入治疗,介入治疗采用髂内动脉造影后超选肿瘤供血动脉进行化疗栓塞,相对比传统化疗,介入治疗创伤小,并发症少,疗效显著。

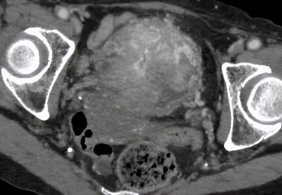
87岁的老太太,突然无诱因的下腹痛,伴血尿、血凝块,来我院治疗。经过CT增强检查发现膀胱巨大肿瘤。

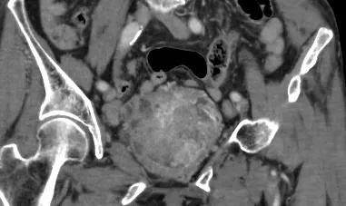
CT结果见膀胱旁一巨大肿瘤

DSA下造影,找到肿瘤供血血管、可见肿瘤形态、大小。

手术方案:将化疗药直接通过导管注入到肿瘤内,之后用栓塞颗粒栓塞血管,遏制肿瘤供血血管。
结语
虽然膀胱癌发展较慢,但长期的慢性失血可以使患者的体质明显减弱,部分患者贫血严重,影响患者的生活质量。控制肿瘤生长,缓解出血,改善生存质量是治疗原则。许多患者就诊时对长期尿血恐惧不安,迫切要求解决问题,甚至超过了对肿瘤本身的关注,因此控制出血是膀胱癌术后复发患者治疗的首要解决的问题。由于新生的肿瘤血管对血管活*药性**物不产生反应,故保守的药物止血治疗效果往往不佳。
髂内动脉化疗治疗浸润性膀胱癌。经导管膀胱供血动脉给药,可使膀胱肿瘤及盆腔区域组织有较长时间浓度较高的抗癌药,有利于*伤杀**局部及周围的癌细胞,使肿瘤体积缩小,治疗效果明显优于静脉化疗,其疗效是静脉给药的2—10倍。同时,经导管栓塞可将出血动脉的末梢分支及其近侧供血动脉主干同时栓塞,可以达到立即和永久止血的效果。
髂内动脉化疗栓塞术治疗膀胱癌及术后复发患者能够有效改善症状,抑制肿瘤生长,提高生活质量,是一种安全、可靠、有效的治疗方法,可重复使用,应作为膀胱癌及术后复发的首选治疗方法。