近日,百色市人民医院肝胆外科在科主任钟腾猛带领下,成功为一名胰腺肿物患者进行了全腹腔镜下胰腺中段切除术。以往这类手术都是采用传统开腹手术,创伤大,切口长,恢复慢。全腹腔镜下胰腺中段切除术可有效保留胰腺内、外分泌功能及脾功能,手术创伤更小,有利于患者康复。术后,患者在医护人员精心护理下顺利恢复,现已康复出院。
患者为一名34岁女性,2个多月前体检时发现胰腺有肿物。发现肿瘤后,患者曾到多家医院就诊,得到的答复均为“肿瘤紧邻脾动脉和脾静脉,手术风险较大,需采用传统开腹手术”。最后患者选择到百色市人民医院肝胆外科住院诊治。钟腾猛主任带领手术团队经仔细分析患者病情、影像学资料后,对患者情况进行研判,认为患者符合行全腔镜下胰腺中段切除术。经患者同意,肝胆外科团队随即进行了术前准备。

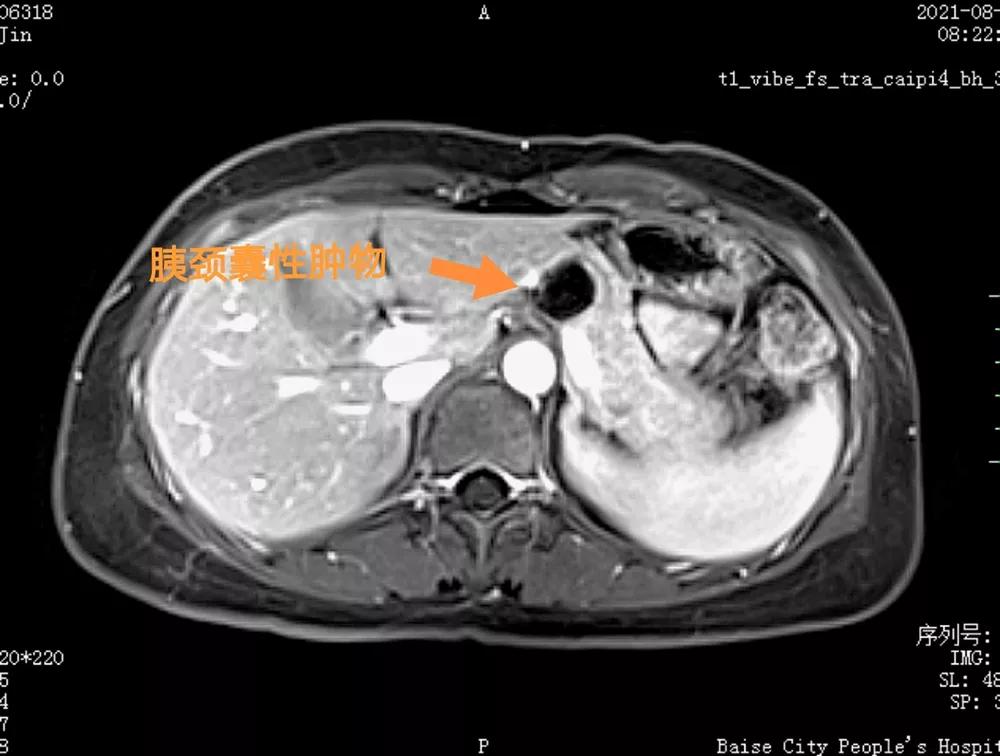
患者术前MRI检查
术中,钟腾猛主任带领科室手术团队在腔镜下切开胃结肠韧带及小网膜,充分游离胰颈胰体并建立胰后隧道,充分显露并保护肠系膜上静脉、门静脉、脾脏动静脉,利用直线切割闭合器离断胰颈部,逐支结扎脾动静脉分支血管,距肿块两侧1cm完整切除肿瘤及胰腺中段,在腔镜下完成了胰腺空肠端侧ROUX-Y吻合,手术历时4个小时,出血仅100毫升。

利用直线切割闭合器离断胰颈部

游离胰腺肿物及脾动静脉

距离肿物1cm离断胰腺中段

切除胰腺中断后手术创面


胰腺空肠端侧ROUX-Y吻合
术中快速病理检查结果显示肿瘤为良性病变。术后7天患者就顺利康复出院了。
据钟腾猛主任介绍,胰腺中段切除是胰腺外科难度较大的手术,肿瘤常常紧邻脾动、静脉,游离时易损伤脾血管,导致术中大出血,且切除后远端胰腺与空肠吻合,由于胰腺质地软,胰管细,术后容易发生胰漏。以往这类手术都是采用传统开腹手术,创伤大,切口长,恢复慢。全腹腔镜下胰腺中段切除术对术者技术要求高,为此多适用于局限在胰颈体部的良性胰腺肿瘤,单纯胰腺中段切除术可有效保留胰腺内、外分泌功能及脾功能,手术创伤更小。
百色市人民医院肝胆外科近些年陆续开展了各类腔镜胰腺手术,为全腹腔镜下胰腺中段切除和重建奠定了技术基础。此次手术的完成,标志着百色市人民医院肝胆外科胰腺微创手术上了一个新的台阶,填补了桂西该领域的空白。