周周寄语:
这又是一个一波三折的病例,虽然最后病人顺利出院,不过当中确实非常曲折,手术策略也有很多值得商榷的地方,拿出来请大家批评指正。
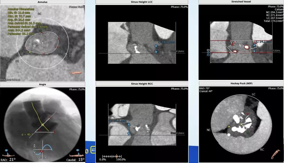
这个病人从超声看,是一个以反流为主的病例,狭窄只是中度,左室已经70。从CT分析看,瓣环-流出道呈开放性,左右冠瓣可疑融合,左冠高度虽然有14,但是左冠瓣叶很长,增厚,提示有冠脉风险。导丝刚跨瓣,病人就出现室颤,经药物调整后暂时稳定,25的球囊预扩后发现左冠完全不显影,而且患者再次反复室颤,此时为了稳定循环,第二因为冠脉风险,决定先从左侧股动静脉上ECMO保护。
因为25球囊预扩没有腰,所以当时选择32的瓣膜,同时导丝支架保护左冠。瓣膜释放完当时选择性造影提示左冠显影,故撤出保护导丝和支架。这时候再做非选择造影发现冠脉堵塞。还好有ECMO保护,循环稳定,尝试40分钟成功rewire左冠,完成开窗支架,然后撤除ECMO。
术后第三天发现患者腹胀明显,腰痛,血色素进行性下降,CT明确腹膜后巨大血肿。此时因为腹压高,CTA无法提示具体哪里出血,只能考虑左侧髂动脉可能性大。遂紧急介入,找到出血小分支后球囊堵塞30分钟无效,植入带膜支架。腹膜后血肿是经股动脉介入治疗的并发症之一,在经股动脉TAVR中尽量使用普通J头导丝,避免使用泥鳅导丝,全程透视跟进,可以很好的避免此并发症。
本例患者就是考虑泥鳅导丝刺穿分支小血管导致腹膜后血肿。腹膜后血肿CT很好诊断,但是很难明确出血血管,只能是介入下靠手术医生的经验去寻找犯罪血管,封堵的方法有球囊封堵,明胶海绵,弹簧圈,和带膜支架,可以根据犯罪血管的大小灵活选择。
现在看这个病人还有一点可以讨论的,就是29号瓣膜是否可行。既然冠脉风险高,当时循环不稳定的情况下,不上ECMO而直接放29,是否不会堵冠脉,因为ECMO导致后来的腹膜后血肿,差点威胁病人生命。

基本信息
男,64岁,反复活动后气促两年,加重一周,否认高血压史,否认糖尿病史,2017年于外院因心肌梗塞行PCI治疗,2019年6月起,反复活动后气促,当地医院考虑主动脉瓣狭窄伴关闭不全,予以扩管、利尿、改善心室重构、降低心肌氧耗量等治疗,好转后出院。出院后,患者再频发气促,休息时即可发作,于本院就诊,完善检查后拟行TAVR。

心脏彩超
根部解剖:




手术过程:




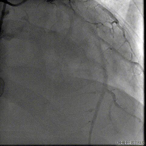
冠脉造影

瓣上造影
猪尾导管位于右窦
严重反流导致造影效果欠佳
左冠显示不清 结构显示不清

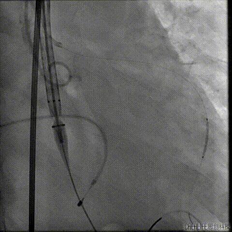
导丝跨瓣及测压
导丝跨瓣后测得跨瓣压差
升主动脉压104/36mmHg
左室压145/15mmHg
跨瓣压差41mmHg
此时患者出现室速 血气提示代谢性酸中毒、高钾血症,予电复率、补碱、补镁、碘氨酮等治疗后恢复窦性心律。

预扩主动脉瓣
NUMED 25mm*40球囊
180/分起搏下预扩主动脉瓣
左冠血流受到影响

予ECOM支持
扩瓣结束后,患者出现心跳骤停
予胸外按压,并予ECOM支持后
患者恢复自主心率


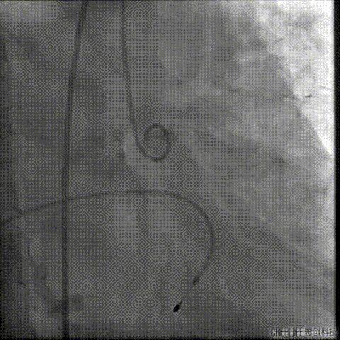
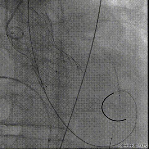
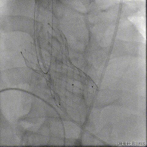
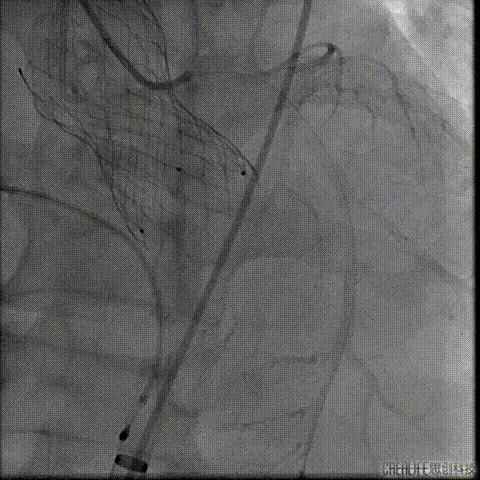
经桡冠脉保护


置入Venus-A32号瓣膜并释放


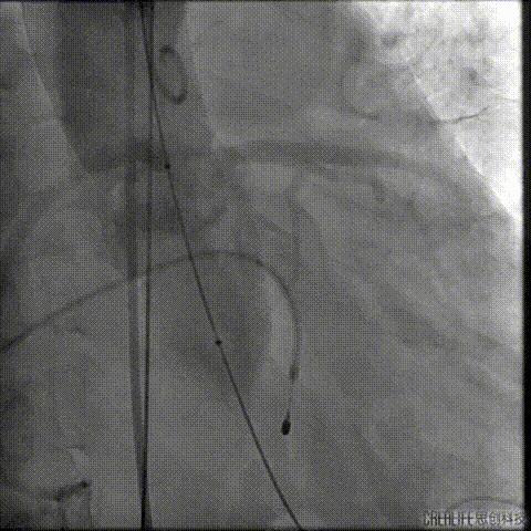
复查造影


撤出冠脉保护


再次复查造影


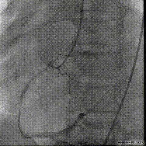
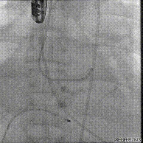
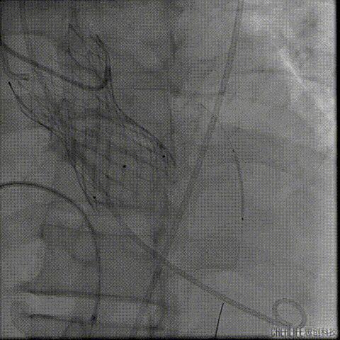
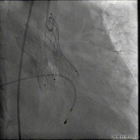
经瓣架网眼挂上指引管


反复确认指引管经瓣架网眼


指引管经瓣架网眼


经网眼置入导丝


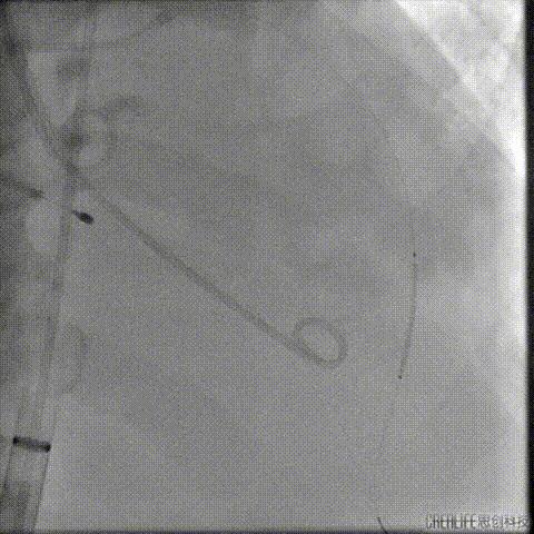
置入4.0mm*23mm微创冠脉支架


定位并释放支架


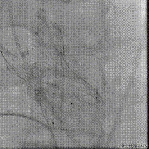
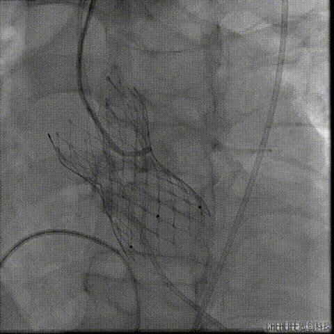
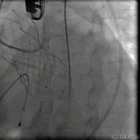
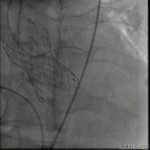
退出球囊扩张突入瓣架部位


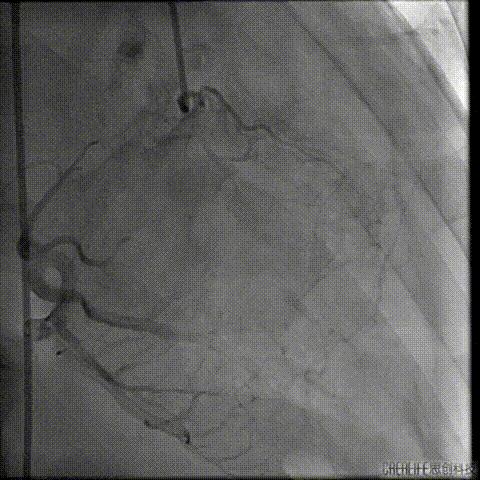
复查冠脉造影

多体位复查冠脉造影
术后即刻



术后行急诊CT检查
TAVR术后3日Hb较前下降 (63g/L)
CT提示左侧腹膜后、髂窝及腹股沟区巨大血肿


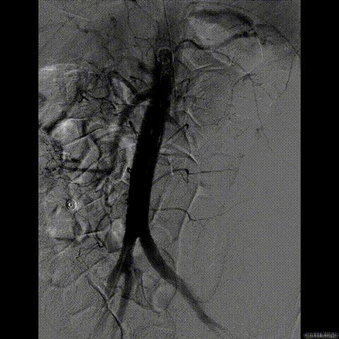
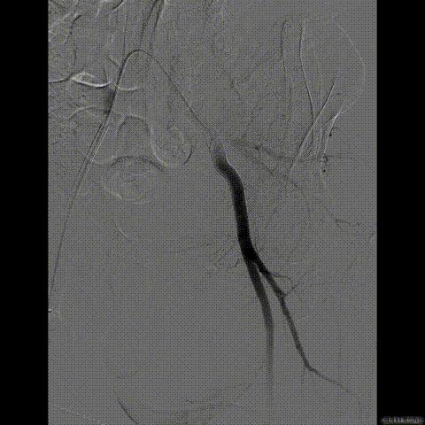
行急诊手术 腹主动脉及左侧股动脉造影


左侧股动脉见造影剂外渗


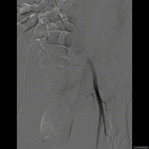
球囊压迫后植入覆膜支架


复查造影
术后随访:

专家介绍

罗建方 广东省人民医院
医学博士、主任医师、博士生导师。现任广东省人民医院心内科副主任,广东省人民医院南海医院院长、广东省人民医院血管病诊疗中心主任、广东省冠心病防治研究重点实验室副主任。
学术任职:
美国心脏病学院Fellow (FACC)、欧洲心脏病协会Fellow (FESC)、美国心血管造影与介入学会Fellow (FSCAI)、首批Global Hybrid Algorithm Community国际认证Hybrid CTO带教专家、卫生部心血管疾病介入诊疗培训基地(冠心病介入治疗)导师。
中华医学会心血管病学分会大血管学组副组长、中国研究型医院学会心血管影像专业委员会副主任委员、中国研究型医院学会血管医学专业委员会副主任委员、中国医疗保健国际交流促进会血管疾病分会副主任委员、中国医疗保健国际交流促进会难治性高血压与周围动脉病分会副主任委员、中国医药教育协会血管医学分会副主任委员、广东省介入性心脏病学会周围血管介入分会主任委员、广东省医师协会心血管介入医师分会副主任委员、广东省医师协会心血管内科医师分会常务委员、广东省医学会心血管病分会结构性心脏病学组副组长等。
血管疾病多学科协作论坛(VMDT)执行主席、冠心病与周围血管介入沙龙(CPIS)执行主席、亚太CTO俱乐部广州峰会共同执行主席、亚洲心脏病学会年会秘书长等。
技术特长:
擅长复杂冠脉病变、主动脉疾病、瓣膜疾病、周围血管病等的介入治疗。在国内率先开展脑保护装置下颈动脉介入治疗、经桡动脉行肾动脉介入治疗、快速起搏与经皮穿刺主动脉腔内修复术(TEVAR),2016年4月完成华南地区首例经导管主动脉瓣置换术(TAVR),2019年2月成功实施全球首例经股动脉途径TAVR联合TEVAR一站式手术,团队整体TAVR手术量已超过500台,已经帮助全国100家中心开展TAVR手术。
科研成果:
获中国医药教育协会科学技术奖二等奖1项、广东省科学技术奖二等奖2项、三等奖2项。参编学术专著6部,发明专利4项,发表学术论文100余篇。先后承担省市级课题数项,培养硕博士20余人,目前在研经费超过500万元。

李捷 广东省人民医院
医学博士,副主任医师,硕士导师。
学术任职:
中国医师协会心血管病分会结构组委员;广东省介入性心脏病协会结构分会常务委员;广东省医师协会心血管介入医师分会委员;广东省医师协会高血压分会青年委员;广东省医院协会心血管质控管理分会结构性心脏病学组委员;中国大湾区心脏协会精准诊疗分会委员;中国结构周秘书长;血管疾病多学科协作论坛(VMDT)秘书。
技术特长:
擅长经导管主动脉瓣置换术,手术量超600台,帮助全国70多家中心开展TAVR手术。擅长复杂冠脉病变、主动脉疾病、瓣膜疾病、周围血管病等的介入治疗。