(通讯员 涂晓晨 王成 彭锦弦)在大医院的口腔诊室里,经常会看到蛀牙患儿“哭天抢地”,几个大人五花大绑都按拧不住的场面。如今孩子受罪、大人垂泪、医生摇头的情形不再,近日,华中科技大学同济医学院附属协和医院(以下简称“协和医院”)金银湖院区口腔医学中心为一位“满口蛀牙”的孩子在全麻醉状态下进行了一次安全舒适的诊疗。
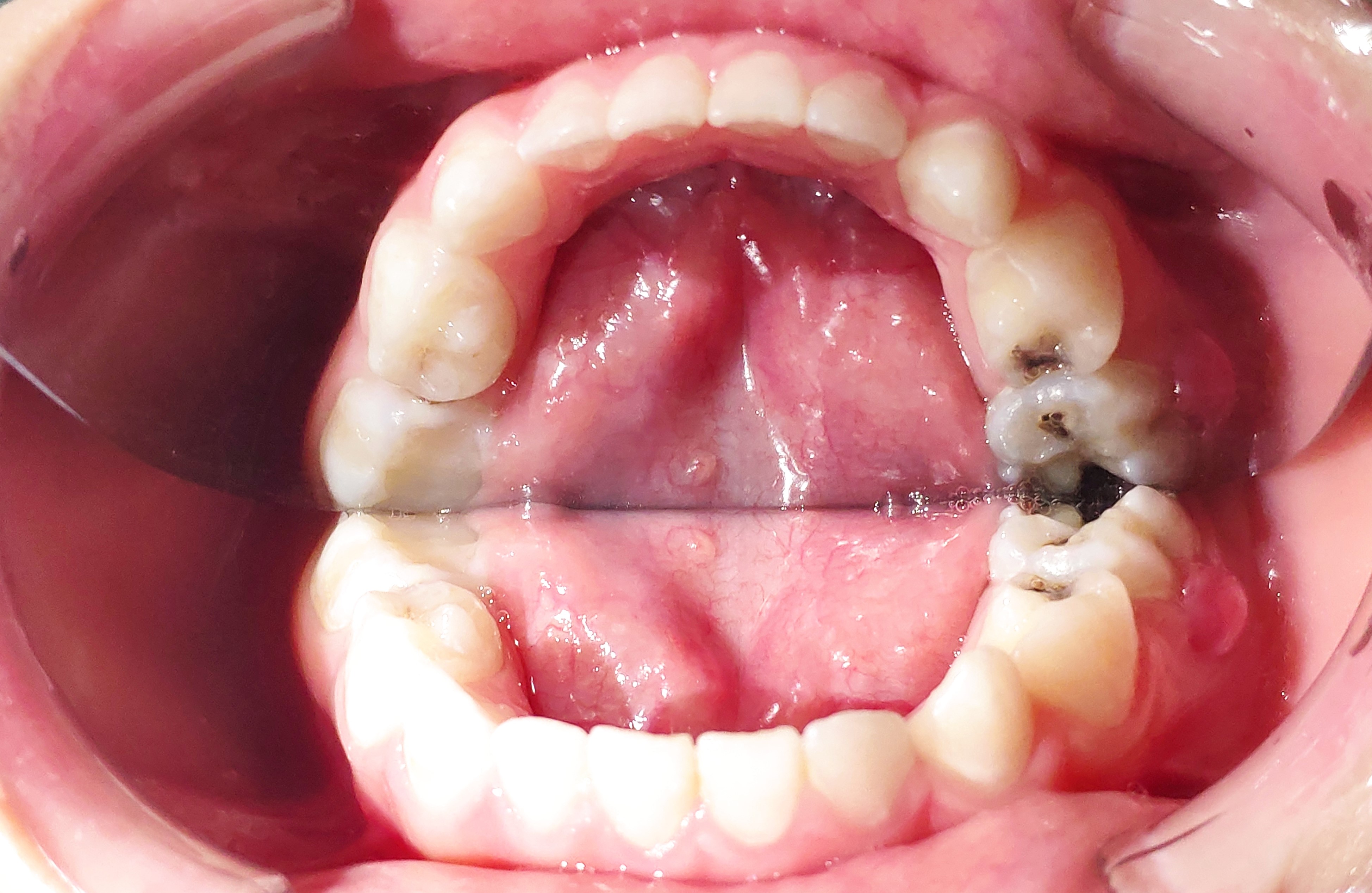
4岁9个月的患儿甜甜平时喜欢吃甜食,再加上口腔卫生护理不佳,她第一次于外院就诊,诊断口内有多颗龋齿。当时患儿还相对配合,医生对右下颌第一和第二乳磨牙进行了树脂充填治疗。但是这次治疗后,患儿就不再配合后续其他牙齿的治疗了。
大半年内,家长也尝试了带着患儿辗转了多家口腔医疗机构,但由于惧怕疼痛,甜甜均不能配合治疗。随着拖延和等待的时间增长,患儿牙齿的情况越来越糟糕,其中最严重的是左下第二乳磨牙,已经从原先的龋坏,发展成牙髓炎,最后在协和医院就诊时,已经进展成根尖脓肿,牙齿松动明显,牙根吸收,根尖炎症波及恒牙胚,右下原先补过的第二乳磨牙也出现了牙髓炎的症状。孩子的进食和睡眠因此收到了极大的影响。




协和医院口腔医学中心睡眠舒适化儿童口腔诊疗团队赵佳佳副教授、许莉莉博士及刘洋博士等了解这一情况后,第一时间对甜甜进行了口腔评估,并迅速地为患儿实施了全麻下全口患牙一次性治疗。
术前常规体检、麻醉风险评估与访视、核酸检测、以及全麻下口腔治疗均在金银湖院区一站式完成。
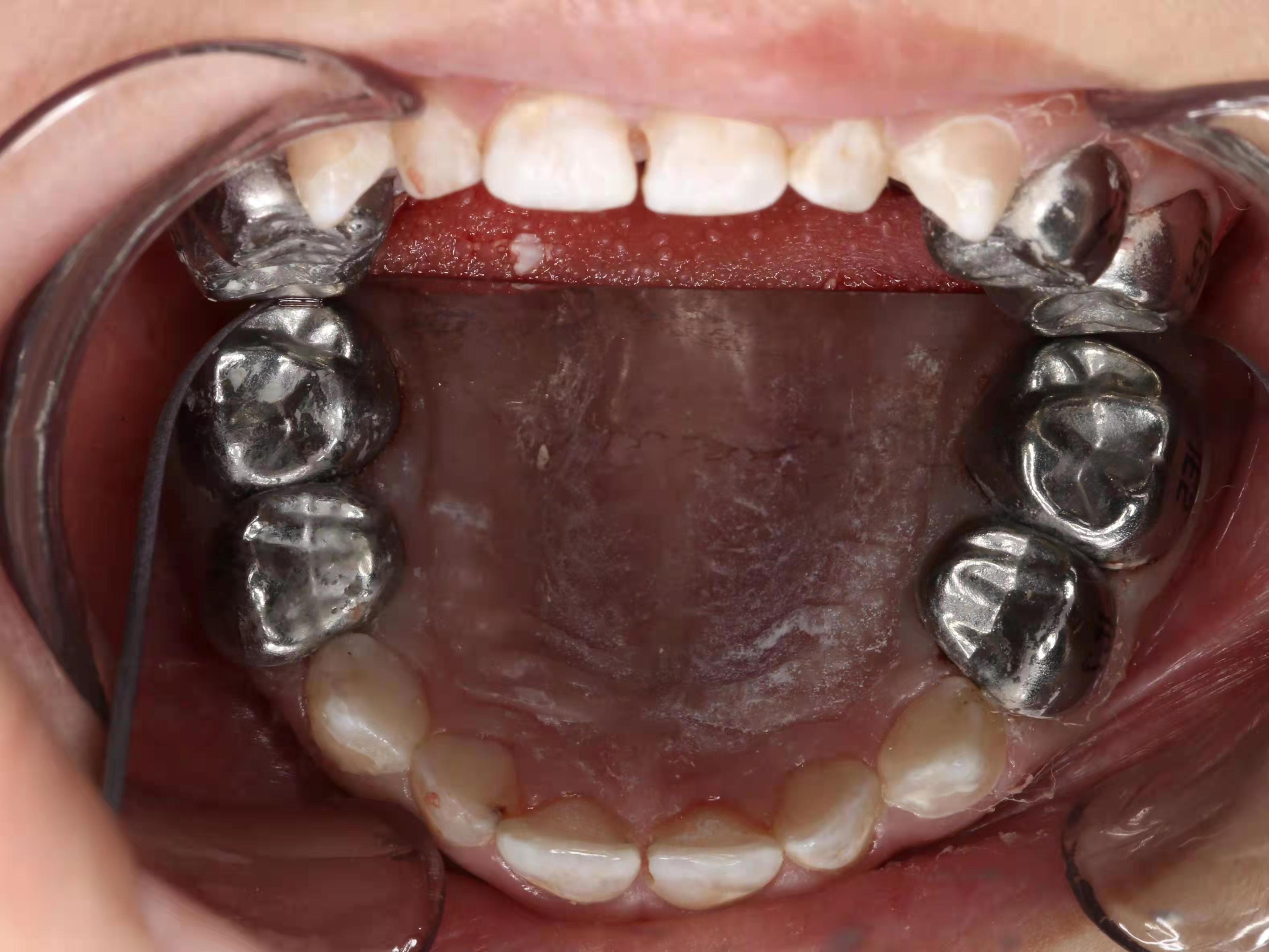
1月13日早上9点,开始进行麻醉,整个手术过程约为2小时,完成了10颗患牙的治疗,包括后牙的活髓切断、根管治疗及预成冠修复;前牙的树脂修复,以及不能保留牙齿的拔除。整个手术过程中,麻醉医生慎重地对*醉药麻**品进行选择,也对用量进行严格地调控。手术结束1小时后患儿就苏醒,顺利拔管;之后患儿被推至口腔科术后观察室,在家长的陪伴、睡眠舒适化儿童口腔诊疗团队的医护的监测下,继续观察2小时后顺利回家。患儿家长在一周回访的短信中表达,患儿目前恢复良好,可正常进食,睡眠也能得到充分保障。

对于不少家长对儿童麻醉的顾虑,协和医院麻醉科主任陈向东教授介绍,婴幼儿期短时间接受全身麻醉对儿童的智商和认知功能是没有影响的。为了保障麻醉镇痛的效果以及患儿的健康安全,麻醉科对整个手术治疗,包括术前术中术后也都进行了严格地监测和优化。
据了解,协和医院金银湖院区麻醉科和口腔医学中心等多学科联动,开展舒适化口腔治疗。患者可一两天内完成多项检查和治疗,诊疗过程优化,最大程度上便利患者就医。